Abstract
Keywords
Primary Objective
Competency 2: Organ System Pathology; Topic RS: Respiratory System; Learning Goal 2: Pulmonary Infection
Secondary Objective
Competency 3: Diagnostic medicine and Therapeutic Pathology; Topic M: Microbiology; Learning Goal 5: Mycology
Patient Presentation
A 45-year-old female smoker with a past medical history significant for pulmonary bronchiectasis and systemic lupus erythematosus treated with hydroxychloroquine presented with progressive shortness of breath, cough, and pleuritic chest pain. Physical examination was notable for decreased breath sounds over the left posterior lobe of the lung, and rhonchi and crackles bilaterally. Extremities showed no signs of cyanosis, clubbing, or edema.
Diagnostic Findings, Part 1
Computed tomography of the chest showed a 4.4 × 2.6 cm cavitary lesion in the left lower lobe of the lung.
Questions/Discussion Points, Part 1
What Is the Clinical Differential Diagnosis Based on the Imaging Findings?
A cavity is defined as “a gas-filled space, seen as a lucency or low attenuation area, within pulmonary consolidation, a mass, or a nodule.”
2,3
The differential diagnosis for cavitary lung lesions includes infection, systemic disease, and malignancy. The infectious etiologies to consider include bacteria
Diagnostic Finings, Part 2
The culture of the BAL specimen was positive for
Question/Discussion Points, Part 2
What Additional Investigations Can Be Performed if Suspecting Fungal Infection?
While a positive fungal culture plays an important role in definitive diagnosis of invasive fungal infections, the sensitivity of culture is low. 5 Additionally, the isolation of fungi from nonsterile site such as sputum or BAL should be interpreted with caution as they can represent colonization rather than infection. In addition, identification of species (which is often based on macroscopic and microscopic morphology of growth in culture) can require days to weeks. Therefore, histopathology often provides a rapid, presumptive diagnosis of invasive fungal infections. Although fungal culture has low sensitivity, 6 when positive, fungal culture plays an important and complementary role in the definitive diagnosis of invasive disease.
Diagnostic Findings, Part 3
Her condition remained refractory to antifungal treatment and she underwent a robotic-assisted left lower lobectomy. The lobectomy specimen is shown in Figure 1, and the histology is shown in Figures 2, 3, and 4.

Gross image of the lobectomy specimen. There is ink on the external surface (pleural surface) of the specimen. There is no normal spongy lung tissue to be seen; however, there are multiple cystic spaces lined by thickened fibrotic tissue, ranging in size, containing yellow to green friable necrotic tissue.

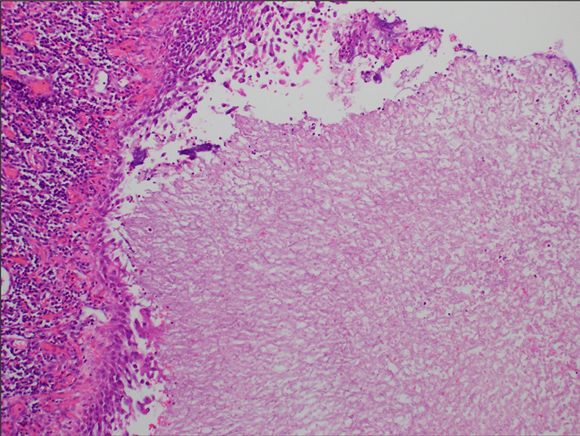
H&E stain of lung airspace, ×20. The fungal organisms are on the right side and the cystic wall with inflammatory cells is on the left. There is extensive necrosis and cavitation of the lung, with aggregates of septate fungal hyphae present within the cavitated space as well as within the larger airways. No angioinvasion is identified.

H&E stain, ×100. Higher magnification from the necrotic center of the fungus ball (aspergilloma) showing numerous slender and septate hyphae that branch at acute angles.

Grocott-Gomori Methenamine Silver (GMS) stain, ×100. The mass of hyphal structures in the center of an aspergilloma, GMS stain highlights nonpigmented (hyaline) septated narrow hyphae with acute angle branching (red arrow).
Questions/Discussion Points, Part 3
Describe the Gross Findings Seen in Figure 1
Figure 1 shows the lobectomy specimen. There is ink on the external surface (pleural surface) of the specimen. There is no normal spongy lung tissue to be seen; however, there are multiple cystic spaces lined by thickened fibrotic tissue, ranging in size from 3.5 to 1.2 cm in greatest dimension, containing yellow to green friable necrotic tissue.
Describe the Histologic Features Seen in Figures 2 and 3
Figure 2 shows extensive necrosis and cavitation of the lung with aggregates of septate fungal hyphae present within the cavitated space as well as within the larger airways. The fungal organisms are on the right side and the cystic wall with inflammatory cells is on the left. No angioinvasion is identified. Figure 3 shows higher magnification from the necrotic center of the fungus ball (aspergilloma) showing numerous slender and septate hyphae that branch at acute angles.
Grocott-Gomori Methenamine Silver Stain Is Performed. How Do You Interpret the Findings (Figure 4)?
The Grocott-Gomori Methenamine Silver (GMS) stain is useful for demonstrating fungal organisms in formalin-fixed tissue. In the appropriate clinical and pathologic context, the morphologic features seen in the GMS stain and in conventional light microscopy can strongly suggest the causative organism. In this image, we see nonpigmented (hyaline) septated hyphae with acute angle branching. While this morphology is highly suggestive of
What Is the Clinical Spectrum of Aspergillus Lung Disease?
Members of the

Diagram of a spectrum of pulmonary disorders caused by
Chronic pulmonary aspergillosis is a long-term infection that usually affects immunocompetent individuals. It is noninvasive colonization of preexisting lung cavities by
Acute invasive aspergillosis may be seen in the setting of modest immunosuppression accompanying disorders such as diabetes mellitus or aerosolized steroid use in asthmatic patients. Fungal hyphae may be seen filling the lumens of airways without evidence of chronic commensal growth (microorganisms that are present on body surfaces covered by epithelial cells and are exposed to the external environment). Microscopically, foci of necrosis and hemorrhage associated with the invasion of vascular lumina by hyphae are seen. Wedge-shaped infarcts can also occur when large arteries are involved. In some cases, these infarcts may lead to progressive cavitation in which future fungus balls may develop.
9
There is high morbidity and mortality associated with invasive aspergillosis, and timely initiation of treatment is imperative. The treatment options include single-agent or combination antifungal therapy, immunotherapy, and surgery for refractory disease. It is to be noted that globally resistance to azole antifungals has been reported in
Patients who have been chronically immunosuppressed and/or are neutropenic (ie, bone marrow or solid organ transplant recipients) are at an increased risk of angioinvasive aspergillosis, a serious and potentially life-threatening manifestation of this disease spectrum. Remarkably, angioinvasive aspergillosis is rather uncommon in patients with HIV. 7 In this condition, fungal hyphae invade blood vessels and disseminate to other organs. The presence of sunburst vasculocentric hyphal growth is diagnostic of disseminated foci of infection. Identification of angioinvasion is augmented with utilizing silver and elastic stains. Microscopically, it appears as dilated spaces filled with necrotic debris and fibrin filled with organisms. Furthermore, destruction of vessel walls by a necrotizing process with central areas of necrosis admixed with abundant polymorphonuclear leukocytic infiltrates is seen. 9,11
Teaching Points
When diagnosing
Correlating H&E, GMS, and culture is important in developing an accurate diagnosis.
It is imperative to keep in mind potential morphological mimickers of
Allergic bronchopulmonary aspergillosis is an allergic response and is seen in patients with asthma and cystic fibrosis.
Chronic pulmonary aspergillosis is a chronic colonization of preexisting cavities by
It is important to identify areas of invasive growth in chronic pulmonary aspergillosis.
Allergic bronchopulmonary aspergillosis, chronic pulmonary aspergillosis, and necrotizing pulmonary aspergillosis are commonly found in immunocompetent individuals. Conversely, acute invasive aspergillosis is seen in modestly immunosuppressed patients and angioinvasive aspergillosis is often diagnosed in chronically immunocompromised individuals.
Footnotes
Declaration of Conflicting Interests
The author(s) declared no potential conflicts of interest with respect to the research, authorship, and/or publication of this article.
Funding
The author(s) received no financial support for the research, authorship, and/or publication of this article.
