Abstract
Keywords
Primary Objective
Competency 2: Organ System Pathology; Topic RS: Respiratory System; Learning Goal 2: Pulmonary Infection.
Patient Presentation
A 79-year-old female presented to her primary care doctor with the complaint of persistent cough and fatigue. This persisted for approximately 3 months and was accompanied by shortness of breath with exertional activities such as brisk walking and stair climbing. She was given a prescription for antibiotics for presumed infection 4 weeks prior at an urgent care center while on vacation, with only slight improvement. Her husband, who accompanies her, states that she coughs more while eating meals. Her past medical history is remarkable for a stroke 2 years earlier. She also had 20 pack-years of cigarette smoking but quit over 25 years ago. On physical examination, she has a low-grade fever with decreased lung sounds bilaterally to auscultation (right side slightly more than left side).
Diagnostic Findings, Part 1
A chest radiograph (CXR) is ordered. It is shown in Figure 1A. A follow-up computed tomography (CT) scan is ordered to better define the CXR findings, and a coronal view of the lung tissue is shown in Figure 1B.

A, Chest radiograph, showing arrows pointing to bilateral bronchocentric opacification of basal lower lobes. B, Coronal view of computed tomography scan shows thickening of bilateral basal lower lobes. Arrows are pointing to low-density tubular opacities consistent with aspirated material in bronchi.
Questions/Discussion Points, Part 1
Please Interpret the Radiographs and Discuss a Differential for Your Findings
The CXR shows multiple areas of peribronchial shadowing with thickening of airways in the basal lower lobes bilaterally (Figure 1A). This finding is not specific. The differential diagnosis includes infectious pneumonia, especially given her symptoms of fatigue, dyspnea, cough, and fever. Because the antibiotics did not clear her symptoms, it is possible that this is not infection; however, it is also possible that the antibiotic prescribed was ineffective for the causative infectious agent. Given her history of smoking, the differential also includes lung cancer. Lung cancer can present with fatigue, cough, and dyspnea. Some lung cancers, especially small-cell neuroendocrine carcinoma, are classically located in the hilar/peribronchial location of the lung. A CT scan would help to define the character and location of the infiltrate better than a CXR. Because this CXR does not show a single mass lesion, the consideration of a cancer from a non-lung primary that is metastatic
A CT scan was ordered, and the coronal CT scan shows low-density tubular opacities associated with the airways (Figure 1B). A tissue biopsy directed at the airway-associated opacity was ordered to confirm the diagnosis.
Diagnostic Findings, Part 2
The histologic findings of the lung biopsy tissue are shown in Figures 2, 3, and 4.

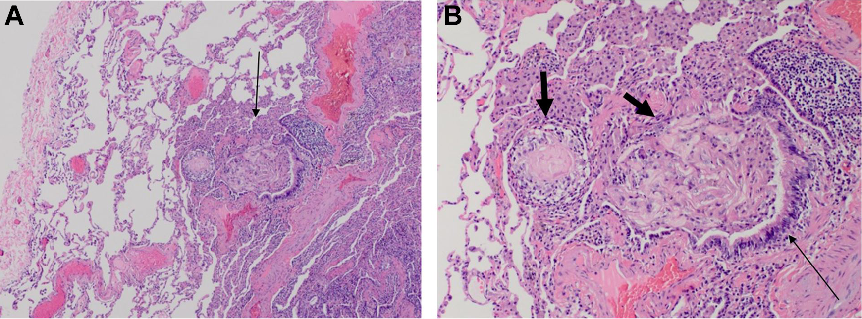
A, Lung photomicrograph showing the inflammatory process centered on an airway (arrow). Note the normal lung tissue on the left side (H&E stain, ×4 magnification). B, A higher magnification with residual bronchial epithelium on the right center (single thin arrow). The airway is filled with luminal foreign debris and cuffing inflammation (short thick arrows). The debris is pink colored and acellular (H&E stain, ×10 magnification).

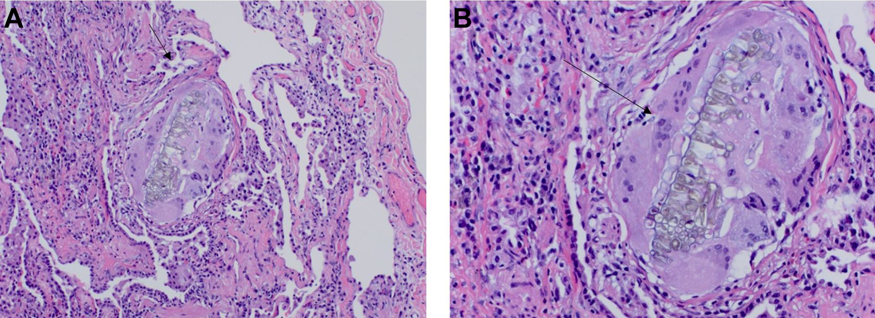
A, This airway shows foreign material embedded into the lung tissue (arrow; H&E stain, ×10 magnification). B, A higher magnification with the foreign particle surrounded by multinucleated giant cells (arrow; H&E stain, ×20 magnification).

The foreign material is somewhat amorphous and pink, similar to the material in Figure 2 (long arrow); however, there is an acute neutrophil infiltrate mixed with the material (short arrow) in addition to the chronic inflammation and giant cells (H&E stain, ×10 magnification).
Questions/Discussion Points, Part 2
Please Interpret the Histologic Findings (Figure 2)
On lower magnification in Figure 2A, normal lung tissue and alveolar spaces are seen on the left side of the image, while the right side appears to be consolidated lung tissue. Central in the image is a bronchus that appears disrupted and full of pink material (arrow). This area is enlarged in Figure 2B, showing a strip of residual normal bronchial airway epithelium (long thin arrow). There is an inflammatory infiltrate composed of chronic-type inflammatory cells, lymphocytes, and plasma cells, surrounding the airway. Acellular pink luminal content (Figure 2B, short arrows) is seen, which likely represents aspirated material.
A Different Airway Is Shown in Figure 3. What Is the Arrow Pointing to in These Photos?
In Figure 3A, foreign material is seen embedded in lung tissue. The pleural surface can be seen on the right edge of the photo. On higher magnification of this material (Figure 3B), the foreign material is seen surrounded by multinucleated giant cells. The foreign material in this photo is likely food and shows fine cellular detail suggestive of a more recent aspiration event. The multinucleated giant cells will degrade the foreign material by phagocytosis over time. 2
The Airway in Figure 4 Shows Luminal Content. What Inflammatory Cells Are Seen in Figure 4?
In Figure 4, the long arrow is pointing to the luminal content. The short arrow is pointing to a strip of the residual normal airway epithelial lining. This helps us to recognize the location of the material in an airway. The cellular infiltrate in this airway is composed mainly of the acute inflammatory cell, the neutrophil. A collection of neutrophils is called an abscess. Giant cells and lymphocytes are also found in lesser numbers. The foreign material in this airway is more degraded, similar in appearance to the luminal content in Figure 2, and may represent material that has been in the lung for a longer time than the material in Figure 3. 2
What Is the Diagnosis?
The patient is suffering from chronic aspiration pneumonia or a chronic inhalation of foreign particles into her lungs. The inhalations of foreign particles is ongoing, meaning that she is likely aspirating or inhaling small food particles while she is eating. Her clinical history is positive for coughing, especially while eating, which is a common finding in patients who aspirate small particles of food, but is sometimes noticed by others, and not by the patient themselves. She has also suffered a stroke 2 years prior, which is a risk factor for aspiration, as it could impair her swallow ability and put her at risk for aspiration events.
Which Patient Populations Are at Risk for Aspiration Pneumonia?
Although aspiration is most common in children, aspiration affects adults, especially the elderly population. Often the aspiration event is clinically “silent,” meaning that the patient does not realize that a small amount of food was inhaled into the lung, rather than swallowed. Because coughing becomes chronic, a patient may not be able to realize the connection of aspiration to coughing. Difficulty swallowing (dysphasia) and impaired neurological status (causing secondary dysphasia) are two of the most important clinical conditions that predispose patients to aspiration. 3 Dysphagia is a symptom that is shared by many neurological diseases. In patients with stroke, it may improve over time, while in patients with dementia, it tends to progress with the disease. Clinically, patients with dysphagia do not always complain of difficulty swallowing, but advanced testing such as videofluoroscopic swallow evaluation demonstrates aspiration. 4 Mechanical devices that interfere with swallowing, such as nasogastric tubes or tracheostomies, also increase risk. In the community setting, impairment of consciousness by alcohol or drug use is most commonly associated with aspiration pneumonia, followed by dysphagia. 3 In addition, poor oral hygiene has been reported as a risk factor. Aggressive oral care in elderly patients has been associated with a lower incidence of aspiration pneumonia. 5 Gastroesophageal reflux disease has also been implicated in aspiration, although it is present in a variety of pulmonary diseases; therefore, its role as a causative agent of aspiration pneumonia likely depends on other factors as well. 6
Describe the Etiology and Natural History of Aspiration Pneumonia
The lung’s reaction to the aspiration event depends on the composition and size of the aspirated content. Solid materials and fluids can both be aspirated. They can cause obstruction, infection, or tissue injury. Fluids are not apparent in tissue biopsies, but the reaction of the lung tissue to the fluid (inflammation, injury) may be present. In children, aspiration commonly involves larger particles and can lead to airway obstruction or ball-valve type obstructions. In debilitated patients, small particulate matter aspiration is more common. When toxic material such as gastric acid is aspirated, it can hurt the delicate lung tissue. This is called chemical aspiration. The lung tissue reacts to the damage with varying degrees of necrosis, edema, and inflammation. This reaction is called chemical pneumonitis. Pneumonitis results from an inflammatory reaction to the aspirated material, whereas pneumonia is an infection of the lung by microbiota within the aspirate.
7
In an acute inflammatory reaction, the main inflammatory cell present is the neutrophil. This is the common and predominant reaction to bacterial infection. With infection, oral bacteria are aspirated along with the foreign material, causing the infection. Common oral flora include anaerobic organisms such as Bacteroides, Prevotella, Fusobacterium, Peptostreptococcus, and aerobic flora including
What Are the Clinical Presentations of Aspiration Pneumonia?
Presenting symptoms include cough, dyspnea, and hypoxemia. Infectious aspiration pneumonia is more likely to present with a productive cough and persistent fever, whereas in pure chemical pneumonitis, the cough is generally nonproductive and fever is either transient or may not be present at all. Again, many aspirations have features of both.
What Are the Typical Radiographic Findings for Aspiration?
Aspiration commonly involves the posterior segment of the upper lobes and the superior segment of the lower lobes. Because of the more obtuse angle of the right-sided bronchi, the right lower lobe is frequently involved with aspiration, but the position of the patient during the episode of aspiration leads to bilateral involvement in half of cases. Foreign body aspiration typically manifests as obstructive lobar or segmental over inflation or atelectasis. An extensive, patchy bronchopneumonic pattern may be observed in patients following massive aspiration of gastric acid or liquid. Aspiration of infectious material manifests as necrotizing consolidation and abscess formation. The low specificity of diagnostic CXR in aspiration diseases can be improved with CT and by being familiar with the clinical settings in which aspiration is likely to occur. 9,10 The radiographic differential depends on the pattern of lung involvement but includes acute infection, chronic infection such as fungal infection, nodular fibrosing lung disease, and cancer metastasis, especially if the patient had a history of a prior cancer.
What Are the Potential Complications of Aspiration Pneumonia?
In addition to an infectious pneumonia involving a lobe of lung, or a segment of lung, lobar or segmental pneumonia, tissue abscess, empyema, and necrosis can occur. In a tissue abscess, a collection of purulent neutrophils and cellular debris aggregates and is difficult to treat with antibiotics due to the poor vascularization from the microscopic tissue destruction. The abscess often needs surgical intervention in the form of drainage or surgical excision. The drained fluid is rich in neutrophils and cellular debris and appears pus-like or purulent. If infection extends to the pleural surface of the lung, the space between the lung and inner chest wall can become infected. Involvement of the pleura and pleural space is called empyema. The purulent material may collect in this “potential space” and impede lung inflation or cause adhesions between the lung and the chest wall, which can make breathing difficult. This also requires surgical intervention in the form of drainage and debridement. In complex cases, it may lead to sepsis and death.
Teaching Points
Aspiration pneumonia causes a bronchocentric pattern involvement, mainly in the posterior segment of the upper lobes and the superior segment of the lower lobes.
Aspiration pneumonia is common in elderly patients and patients who are debilitated, such as those with neurologic or swallowing deficiencies.
Aspiration pneumonia can lead to chemical pneumonitis, infectious pneumonia, or a combination of both.
Degrading foreign material can be visualized microscopically in many cases of particular aspiration.
Infections in aspiration pneumonia are caused mainly by oral contaminant.
The most common infectious organisms in aspiration pneumonia are oral flora.
Aspiration of a material that damages the lung tissue and causes a tissue reaction, but not infection, is called chemical aspiration.
Complications of aspiration include pneumonia, abscess, tissue necrosis, and death.
Footnotes
Declaration of Conflicting Interests
The author(s) declared no potential conflicts of interest with respect to the research, authorship, and/or publication of this article.
Funding
The author(s) received no financial support for the research, authorship, and/or publication of this article.
