Abstract
Hypoxia may lead to inflammatory responses by numerous signaling pathways. This investigation intended to inspect the defensive role of Quercetin (Quer) and/ or Melatonin (Mel) against reno toxicity induced by Sodium nitrite (Sod ntr). Sod ntr injection significantly decreased blood hemoglobin concentration (Hb) with a concurrent increase in serum tumor necrosis factor- α, interleukin-6, C-reactive protein, creatinine, and urea levels. Over protein-expression of vascular endothelial growth factor and heat shock, protein-70 and mRNA of HIF-1α were also observed. Pretreatment of the Sod ntr- injected rats with the aforementioned antioxidants; either alone or together significantly improved such parameters. Histopathological examination reinforced the previous results. It was concluded that the combined administration of Quer and Mel may be useful as a potential therapy against renal injury induced by Sod ntr. HIF-1α and HSP-70 are implicated in the induction of hypoxia and its treatment.
Introduction
Sod ntr is widely used as color fixative and preservative. 1 Sod ntr is highly reactive with hemoglobin, causing disturbance of hematopoiesis leading to methemoglobinemia accompanied by hypoxia. 2 The amplification of reactive oxygen species (ROS) and the alteration in the antioxidant enzymes after exposure to hypoxia lead to renal injury, as well as enhancing an inflammatory progression 1 Hypoxia in the kidney induced imbalance of the redox state that was suggested as a participant in the alterations found in renal injury. 1
It was well known that Sod ntr may lead to inflammatory responses by increasing inflammatory markers CRP, TNF-α, IL-6 expression in rat’s kidney. 1
Oxygen balance is maintained via a group of hypoxia-inducible transcription factors (HIFs), that is firmly modulated by oxygen concentration in the tissues.
3
HIF-1
Liver cells produce C-reactive protein as a response to acute-phases. Its level is used as a pointer of chronic inflammatory disorders. 5 At high places, it was observed an increase in interleukin-6 and CRP beside all markers of inflammatory levels in serum of healthy volunteers. 6 Hypoxia has an imperative function in triggering VEGF, which amplifies vasculogenesis and angiogenesis to reinstate oxygen in the organs throughout low oxygen tension. 7 Though, VEGF has an injurious role by increasing vascular permeability during anoxia leading to renal angiogenesis. 8 Heat shock proteins (HSP-70) are a cluster of stress markers, their expression are elevated in response to hypoxic stress that acts as cytoprotectants by suppressing a variety of inflammatory intermediaries. 9
Yet, cell injure may induce the liberation of these proteins out of the cell in an early stage. 10 Extracellular HSP-70 represent a warning sign to innate-immunity to produce the pro-inflammatory cytokines. 11
Hypoxia induces kidney failure as confirmed by the increase of some markers, like creatinine and urea. 12 Thus, substances that can down-regulated cytokines may help to plummet the hazard of organ’s injury throughout anoxia.
Mel has antioxidant and anti-inflammatory properties. 13 -15 Likewise, Quer possesses anti-inflammatory, anti-proliferative and anti-oxidative actions. 16 -18
The evaluation of the effectiveness of Quer and Mel alone or together against hypoxia-induced renal impairment was done biochemically through measuring, kidney function (urea and creatinine), also TNF-α, IL-6, C-reactive protein and gene expression of HSP- 70 and the angiogenesis factor VEGF as well as gene expression of HIF-1α. Histopathological examination was also done to confirm the preceding biochemical parameters.
Material and Methods
Chemicals
Analytically pure Quer, Mel, and Sod ntr were brought from Sigma- Aldrich Chemical Co. (St. Louis- MO- United States).
Animals and Treatments
Thirty Wistar adult male(albino rats; 170-200 g) were got from the Experimental Animal house. All procedures relating to animal care and treatments strictly adhered to the ethical procedures and policies approved by the Ethics Committee at King Saud University, Faculty of Pharmacy(KSU, SE, 19-22). These animals were maintained at standard conditions (12-h light/dark cycle, temperature 20–22°C and 60% humidity) and fed with standard rat pellet chow with free access to tap water
Animals were distributed into 5 groups (6 rats/ group). G1, designed as control, while G 2: Sod ntr-injected animals. G3: Sod ntr-injected animals and pre-injected with Quer (200mg/kg; i.p.). 19
G4: Sod ntr-injected animals and injected with Mel (50mg/kg). 20
G5: Sod ntr-injected rats and injected with both of Quer (200mg/kg; i.p.) and Mel (50mg/Kg, i.p.) dissolved in 1% carboxymethyle cellulose.
Hypoxia was induced by Sod ntr-injection (60mg/kg). 21 Sod ntr was injected subcutaneously as a single dose. Quer and Mel were injected intraperitoneally, 2 h before Sod nitrite injection. After 1 hour of Sod ntr-injection, rats were exposed to Carbon dioxide in gradually increasing concentration, subsequently were sacrificed, blood samples were gathered and separated into 2 parts. Part 1; used for Hb assessment. Part 2 was centrifuged for serum separation. Sections of the right kidneys were collected and homogenized in the phosphate-buffered saline. Other sections were kept under liquid nitrogen for molecular investigation. Sections of 3 right kidneys were kept in formalin 10% for the histopathological study.
Determination of Hemoglobin (Hb)
Hb assessment was carried out using Drabkin’s reagent following Kjeldsberg (1993) 22 method.
Biochemical Serum Analysis
Serum urea and creatinine levels were determined by a commercial assay kit (Wako Pure Chemicals, Osaka, Japan).
eGermany). TNF-α was estimated using the ELISA assay kit DuoSet kits- R&D Systems-Minneapolis- MN, USA).
CRP was measured by immunome-phelometric (Dade Behring N Latex High Sensitivity; CRPTM mono-assay) on a Behring Nephelometer-II analyzer.
Detection of HIF-1α mRNA-Expression via Real-Time PCR
Total RNA extraction
Total RNA was isolated from kidney tissue using RNeasy Purification Reagent (Qiagen, Valencia, CA) according to manufacturer’s instruction. The purity (A260/A280 ratio) and the concentration of RNA were obtained using spectrophotometry (GeneQuant 1300, Uppsala, Sweden). RNA quality was confirmed by gel electrophoresis on a 1% agarose gel stained with ethidium bromide, then mRNA Expression was performed using
Livak and Schmittgen 23 method. Table 1 presents the sequences of the used primers.
Sequences of HIF-1α Primer Used for RT-PCR.
Western blot analysis of VEGF and HSP-70 protein-expression
Western blots of the extracts were performed to determine the protein expressions of VEGF and HSP-70. Proteins bands were visualized using the ECL-Plus detection system (Amersham Life Sciences, Little Chalfont, Buckinghamshire, UK) according to the manufacturer’s instructions. Positive immunoreactive bands were quantified densitometrically and compared with control Jackson et al., (2000). 24
Histopathological study
The fixed kidneys were excised into sections. These sections were stained with hematoxylin and eosin (H&E) to detect pathological changes due to hypoxia and the effect of certain drugs on these changes.
Statistical analysis
Data of the different treated groups were analyzed and compared with the data of controls. Results are presented as mean ± SD. Significant differences were analyzed using a 1-way analysis of variance (ANOVA) followed by Bonferroni’s test post-ANOVA.
Results
No mortility was observed within the treated animals.
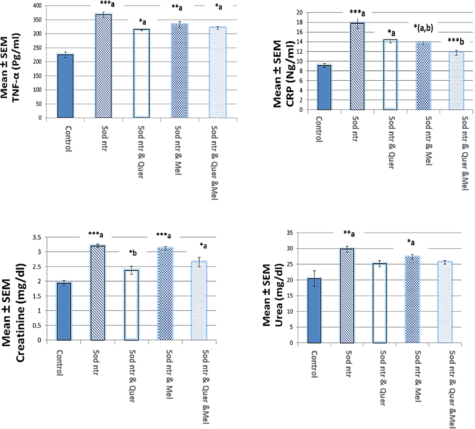
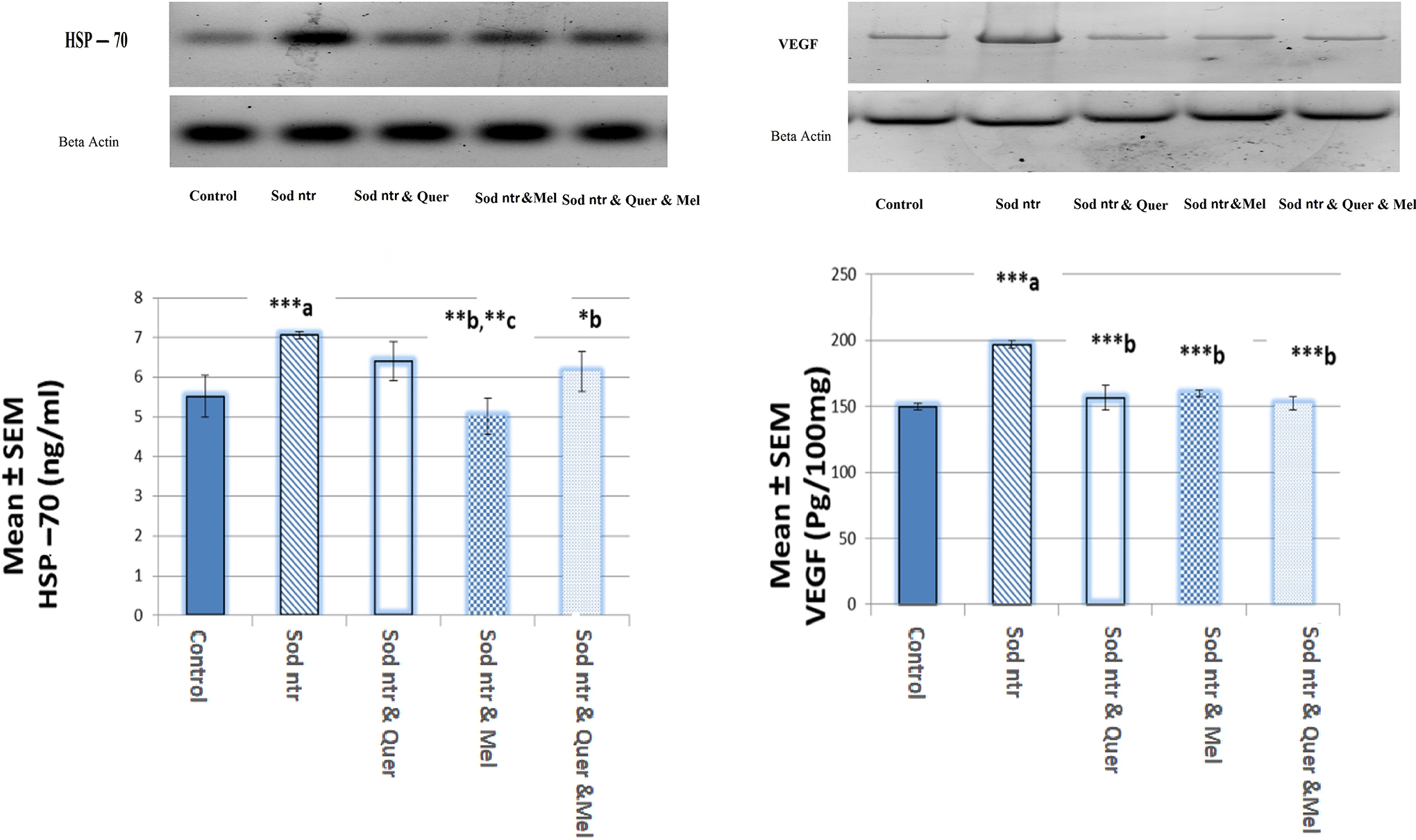
Table 2 revealed that injection with Sod ntr significantly decreased blood Hb concentration. Moreover, creatinine, urea, TNF-α, CRP and IL-6 levels were significantly elevated matched with normoxic rats (P ≤ 0.001), Pre-injection with Quer and /or Mel, significantly increased Hb concentration while reduced the previous parameters compared with Sod ntr-injected animals (Figure 1 and 2). The expression of VEGF and HSP- 70 were significantly up-regulated in Sod ntr injected group compared with the control animals. Pre-injection with Quer and / or Mel, markedly dawn-regulated the increase in HSP-70 and VEGF matched with Sod ntr-treated ones (P ≤ 0.001; Figure 3).
Effect of Quer and/ or Mel on Blood Hb in Control and Sod NTR Treated Groups.
Data are expressed as means ± S.D (n = 6). P ≤ 0.001 is considered significant. a: compared with the normal group, b: compared with Sod ntr treated group, c: compared with Quer and Mel combination-treated group.

Serum inflammatory markers (TNF-α, CRP) as well as Creatinine, and Urea in control, Sod ntr injected group as well as in Quer and/ or Mel treated groups. Data are expressed as means ± S.D (n = 6). P ≤ 0.001, P ≤ 0.05 are considered significant. a: compared with the normal group, b: compared with Sod ntr injected group, c: compared with Quer and Mel combination-group.

Inflammatory marker (Il-6)in control, Sod ntr injected group as well as in Quer and/ or Mel treated groups. Data are expressed as means ± S.D (n = 6). P ≤ 0.001, P ≤ 0.01, P ≤ 0.05 are considered significant. a: compared with the normal group, b: compared with Sod ntr injected group, c: compared with Quer and Mel combination-group.

VEGF and HSP-70 protein expression in control, Sod ntr injected group as well as in Quer and/ or Mel treated groups. Data are expressed as means ± S.D (n = 6). P ≤ 0.001, P ≤ 0.01, P ≤ 0.05 are considered significant. a: compared with the normal group, b: compared with Sod ntr injected group, c: compared with Quer and Mel combination-group.
Sod ntr injection caused a highly significant upregulation of HIF-1 α mRNA expression compared with its values of the control one (P ≤ 0.001), while pre-injection with Quer and Mel either alone or in combination produced a highly significant depletion of this expression matched with Sod ntr-injected rats (P ≤ 0.001) (Figure 4).

Renal HIF-1α mRNA expression in control and, Sod ntr injected group as well as in Quer and/ or Mel treated groups. Data are expressed as means ± S.D (n = 6). P ≤ 0.001. a: compared with the normal group, b: compared with Sod nitrite induced Sod nitrite treated group, c: compared with Quer and Mel combination-group.
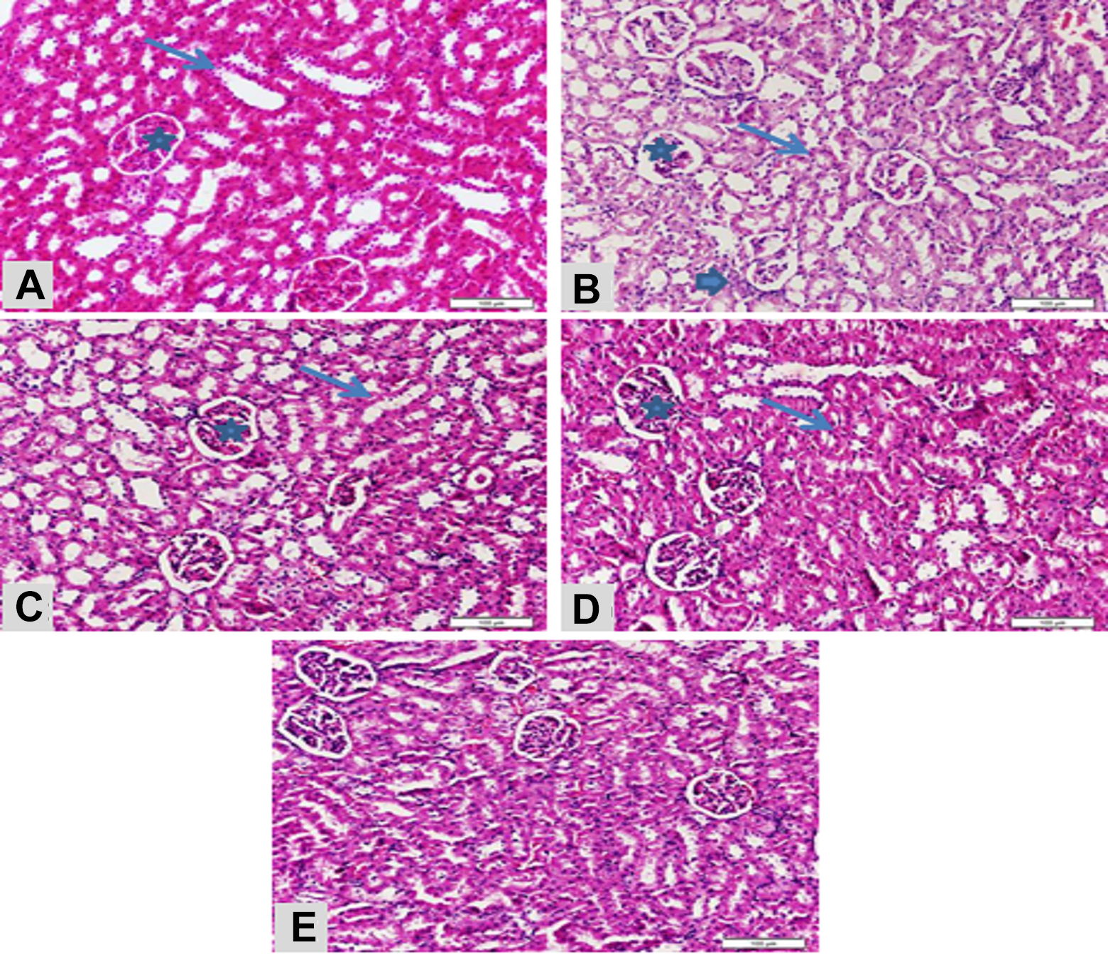
Figure 5 revealed that control kidney sections are recognized by normal appearance of renal corpuscles and tubular architecture, while rats exposed to Sod ntr their kidneys suffered from degeneration and nuclear pyknosis of the tubular epithelium in addition to inflammatory cellular infiltration. Rats injected with Mel alone or Quer alone displayed regression of the degeneration and cellular infiltration. More improvement of the pathological changes was noticeable in rats treated with a combination of both antioxidants (Figure 5). The combination protocol achieved the most pronounced improvement in all the biochemical, molecular as well as histopathological results.

Light photomicrographs from a kidney of rat stained with Hematoxylin and Eosin (Scale bar: 100 µm), in which (A), represent normal renal corpuscles (star) and renal tubules. (arrow) . (B) section of a kidney from a rat exposed to Sod ntr showing marked degeneration of renal corpuscles (star) and renal tubules (arrow). Also, there are foci of inflammatory cellular infiltration (arrowhead). (C, D and E) are sections of a kidney from a rat exposed to Sod ntr and received Mel, Quer and combination of both of them respectively, showing marked improvement of the corpuscle and tubular degeneration and a marked decrease of the cellular infiltration especially in rats received the combination of Mel and Quer (E).
Discussion
The current work confirmed that Sod ntr exhibited a reduction in blood Hb level compared to normix group .Reduction in red blood corpuscles number in rats exposed to Sod ntr was previously reported by many authors. 16,25,26 The interpretation of such result is attributed to excessive methemoglobin formation. 27 In the present study, the intake of Mel alone revealed a significant enhancement in Hblevels, this is in agreement with a previous work confirmed that Mel induced an increase in Hb concentration in normal persons. 28,29 Likewise, Quer may put off the increase in ROS and improved the activities of superoxide dismutase and glutathione peroxidase measured in gastric and ileac tissues in rats. 30
In the current study, Sod ntr induced an obvious rise in creatinine, urea, TNF-
Our data are similar to that of Al-Rasheed et al. (2016) 32 who reported that the liberation of the former biomarkers may participate in Sod ntr.-induced kidney dysfunction.
Klausen et al. (1997) 33 documented that the rise of CRP following the injection of Sod ntr is linked with the up-regulation of IL-6 and TNF-α expressions.
Herein pre-injection of Mel and/ or Quer to rats before hypoxia initiation, effectively down-regulated creatinine, urea, TNF-
In the period of anoxia, the transcription factor HIF-1α, activates many genes that encode proteins, target genes like HSPs, which occurs as proteins misfolded via cellular stress chaperones within the cell. 37,38
Herein, HIF-1α, HSP-70, and VEGF-expression were significantly elevated in the hypoxic rats matched with normoxic ones. These results were coincided with that of Tsuchida et al. (2014),
39
who documented that under hypoxia HIF-1
Mel and/or Quer in the present work were noticeably compact the rise in HIF-1α, HSP-70 and VEGF expressions. HSP-70 level in Mel- incubated skin samples is powerfully prohibited, this due to that Mel promotes the acidification of the cytosol.
15
Also, Mel down-regulated HIF-1
In the present study, Quer inhibited VEGF protein expression that was enhanced by hypoxia, which was in coincidence with the results of Ansó et al. (2010). 40 The Pre-injection of hypoxic-animals with the Mel and Quer combination has a positive impact on the modulation of most of the tested parameters.
Herein, Sod ntr revealed degeneration of the corpuscles and the tubules of the kidney accompanied by the infiltration of the cells. Kohn et al (2002) 25 profound that exposure to Sod ntr causes alterations in the efficiency of renal tubular re-absorption, blood flow and filtration rate of the glomeruli. Mel or Quer and the combination of both exhibited a notable enhancement of the corpuscle and tubular degeneration and decreased the cellular-infiltration especially in rats treated with the combination of the tested antioxidants. Mel and Quer beneficial effect was formerly documented in animals that underwent investigational renal-injury. 41,42
Mel has been reported to protect against acute kidney injury in severely burned rats via regulating stress responses, inflammation, and apoptosis. 42
The present outcomes have confirmed that Mel and/or Quer are likely to be responsible for the protection of the kidney from the hypoxic-kidney injury in rats via their down-regulation of immune-inflammatory mediators and HSP-70, HIF-1α, and VEGF-expressions.
The mixture of Mel and Quer was more efficient in restoring utmost of the examined parameters near to the normal values than each antioxidant alone. Consequently, current results may have significant suggestions for the development of a novel therapeutic regimen proposed at the use of Mel and Quer combination as a supplement for the recovery from hypoxia-induced renal injury.
Footnotes
Authors’ Note
All authors participated in all parts of the work.
Declaration of Conflicting Interests
The author(s) declared no potential conflicts of interest with respect to the research, authorship, and/or publication of this article.
Funding
The author(s) disclosed receipt of the following financial support for the research, authorship, and/or publication of this article: Authors extend their appreciation to the Deanship of Scientific Research, King Saud University for funding this work through the scientific group (Grant Number RG-1441-467).
