Abstract
The following fictional case is intended as a learning tool within the Pathology Competencies for Medical Education (PCME), a set of national standards for teaching pathology. These are divided into three basic competencies: Disease Mechanisms and Processes, Organ System Pathology, and Diagnostic Medicine and Therapeutic Pathology. For additional information, and a full list of learning objectives for all three competencies, see http://journals.sagepub.com/doi/10.1177/2374289517715040.
Keywords
Primary Objective
Competency 2: Organ System Pathology; Topic HWC: Hematopathology—White Cell Disorders, Lymph Nodes, Spleen, and Thymus; Learning Goal 3: Classification of Leukemia and Lymphomas.
Patient Presentation
A 65-year-old man pursued laboratory testing as part of health screening offered by his employer and was advised to visit his physician based on initial test results. He has not experienced any acute symptoms (fever, chills), nor weight loss, but does report feeling more tired the past few months. The patient did not have any personal or family history of cancer and is not currently taking any medications. Physical examination is unremarkable. There is no organomegaly or palpable lymphadenopathy on physical examination.
Diagnostic Findings
Complete blood count (CBC) is provided in Table 1. The automated differential count is provided in Table 2.
Complete Blood Count.
Abbreviation: WBC, white blood cell; MCV, mean corpuscular volume.
Automated Differential Count.
Questions/Discussion Points
What Is the Differential Diagnosis Based on Review of the Complete Blood Count Values? What Would Be the Next Step in the Diagnostic Evaluation?
Review of the CBC values reveals an elevated white blood cell (WBC) count (leukocytosis). The automated differential count provided by the automated hematology analyzer shows a predominance of lymphocytes among the white cells (lymphocytosis). The differential diagnosis for lymphocytosis is quite broad and would include chronic lymphoid neoplasms as well as reactive causes such as viral infections, hepatitis, pertussis (whooping cough), autoimmune disease, and polyclonal B lymphocytosis (usually in middle-aged women with a smoking history). The clinical history does not provide an obvious reactive explanation for the lymphocytosis, and therefore chronic lymphoid neoplasms should be strongly considered. Examples of chronic lymphoid leukemias or lymphomas which may present with leukocytosis would include chronic lymphocytic leukemia, T-cell large granular lymphocytic leukemia, hairy cell leukemia variant, prolymphocytic leukemia, adult T cell leukemia/lymphoma, Sezary syndrome, lymphoplasmacytic lymphoma, splenic marginal zone lymphoma, and mantle cell lymphoma.
An important next step would be to review the peripheral smear. Given that an automated WBC differential analysis may occasionally misclassify blasts, lymphocytes, and atypical lymphocytes, and the fact that some artifacts (platelet clumps, nucleated red blood cells [RBCs], incomplete lysis of RBCs, etc) may result in a falsely elevated WBC, review of the peripheral blood smear enables the confirmation of cell counts, as well as the assessment of the morphology of the abnormal population. 1
How Does Review of the Peripheral Blood Film Help Refine This Differential Diagnosis?
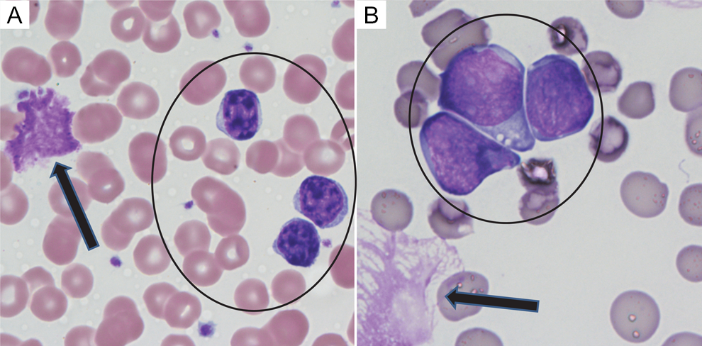
An image from the patient’s peripheral blood film is shown in Figure 1A. Review confirms the predominance of small, monotonous-appearing lymphocytes which show smooth nuclear contours and mature morphology. Maturity can be determined by assessing the nuclear features: in the current case, the lymphocytes show clumped chromatin (Figure 1A), in contrast to the finely dispersed, open chromatin that characterize immature blast cells of an acute leukemia (Figure 1B). The monotonous appearance and lack of morphologic heterogeneity of the small lymphocytes is another clue that the proliferation is neoplastic. In both examples, “smudge” cells, which represent disrupted lymphocytes, are present due to the lymphocytosis and fragility of the lymphocytes.

A, Chronic lymphocytic leukemia (CLL). Note the mature, clumped chromatin and smooth nuclear contours of the CLL cells (circle) and smudge cells in the background (arrows). B, Acute lymphoblastic leukemia (ALL). Note the finely dispersed chromatin in the leukemic blast cells (circle). Note that smudge cells are not specific for CLL and can also be seen in ALL (arrow).
What Diagnostic Study Would Be Most Helpful to Confirm Your Suspicions? What Result Would You Expect to See?
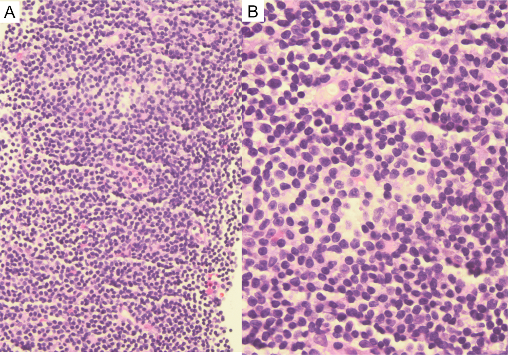
In order to confirm the morphologic suspicion of a chronic lymphoid neoplasm, flow cytometry would be the preferred ancillary study and could be performed on the peripheral blood sample. In this technique, the cells are incubated with fluorescently tagged antibodies specific for hematolymphoid markers and are subsequently interrogated by a laser beam in a single cell suspension. If the marker is present, the fluorescent signal is detected, enabling the rapid characterization of the antigen profile of cells. In this particular case, the neoplastic cells were positive for the CD19, CD20 (dim), CD5, and CD23, with monotypic expression of lambda immunoglobulin light chain (Figure 2). The expression of CD19 and CD20 would indicate B cell lineage, and the monotypic surface light chain expression can be used as a surrogate for clonality and aid in the establishment of a neoplastic B lymphoid process. The dim level of expression of CD20 and surface light chain, together with the coexpression of CD5 and CD23, are characteristic for chronic lymphocytic leukemia (CLL), which is the most common adult leukemia in the Western world. 2 By definition, there must be ≥5 × 109 monoclonal B CLL cells/L in the peripheral blood in order to distinguish CLL from monoclonal B lymphocytosis (MBL). This distinction is important because MBL is not considered a frank malignancy, and only a small fraction of MBL patients will develop overt CLL. When the same cells infiltrate soft tissues or lymph nodes, a diagnosis of small lymphocytic lymphoma (SLL) is rendered (Figure 3). Chronic lymphocytic leukemia and SLL are now considered to be different clinical manifestations of the same disease.

Flow cytometric phenotype of chronic lymphocytic leukemia (CLL). The neoplastic B cells (green) are positive for CD19, CD5, CD23, CD20 (dim intensity), and show restricted lambda immunoglobulin light chain expression.

Small lymphocytic lymphoma (SLL). A, The lymph node architecture is replaced by a proliferation of small, relatively monotonous-appearing lymphoid cells. B, Higher magnification shows round nuclear contours and mature, clumped chromatin.
What Organ Systems Are Involved in This Disorder? How Would You Stage This Patient?
CLL/SLL may involve many organ systems, although many patients with CLL are asymptomatic when initially diagnosed. Patients with SLL present with lymphadenopathy, hepatosplenomegaly, or other symptoms of organ infiltration and disruption. In about 10% to 15% of cases, CLL/SLL may also be associated with autoantibodies, resulting in an immune-mediated hemolytic anemia or thrombocytopenia. CLL/SLL may be associated with neutropenia and hypogammaglobulinemia, which leads to an increased susceptibility to infections. 2
The Rai and Binet staging systems have traditionally been used to stage patients with CLL/SLL. These staging systems take into account the degree of the cytopenias and the presence or absence of lymphadenopathy or organomegaly on physical examination (Tables 3 and 4). 3 This patient would be best staged as Rai stage 0 or Binet stage A due to asymptomatic lymphocytosis without anemia, thrombocytopenia, or any lymphadenopathy or organomegaly on physical examination. In patients with asymptomatic, early-stage CLL, routine surveillance with computed tomography (CT) scans is not recommended, as these studies do not improve survival and expose the patients unnecessarily to small doses of radiation. 4
Rai Staging of Chronic Lymphocytic Leukemia.
* Organomegaly = hepatomegaly and/or splenomegaly.
Binet Staging of Chronic Lymphocytic Leukemia.
* Areas considered are head and neck including the Waldeyer ring (counts as 1 area), axilla, groin/superficial femoral, palpable spleen, and palpable liver.
What Testing Could Be Performed to Help Predict the Clinical Course? What Would Be Your Treatment Recommendations?
Useful markers for risk stratification have included assessing for specific genetic abnormalities, which can be performed on the diagnostic peripheral blood sample. Prognostic markers that may be helpful include fluorescence in situ hybridization (FISH) studies to evaluate for deletion (del) 11q, del 17p, trisomy 12, and del 13q, and assessment of the mutation status of the
The clinical behavior of CLL/SLL is variable, and early treatment of asymptomatic patients does not result in improved survival. 3 Therefore, given the overall favorable prognostic profile and lack of symptoms in this patient, observation (or “watchful waiting”) may be the best course of action. Indications for treatment include progressive cytopenias, bulky or symptomatic lymphadenopathy or splenomegaly, B symptoms, or other signs or symptoms of disease progression. In a minority of cases (5%-10%), there is transformation to a more aggressive lymphoma (“Richter syndrome”), most commonly diffuse large B cell lymphoma, often presenting as a rapidly enlarging mass. 2
Current therapies for CLL/SLL emphasize a multimodality approach including monoclonal antibodies targeting the B cell marker CD20 (such as rituximab), combined with chemotherapeutic agents such as purine analogs (fludarabine) or alkylating agents (cyclophosphamide, bendamustine). Agents targeting B cell receptor signaling (ibrutinib, idelalisib) or expression of the anti-apoptotic protein BCL2 (venetoclax) are also increasingly being incorporated into therapeutic regimens for CLL/SLL. 5
Teaching Points
Chronic lymphocytic leukemia is the most common adult leukemia in the Western world and may be asymptomatic at diagnosis Chronic lymphocytic leukemia is characterized by an absolute lymphocytosis composed of monomorphic, small, mature-appearing lymphoid cells Flow cytometry can be used to assess the immunophenotype of leukemic cells and demonstrate the characteristic phenotype The clinical behavior is heterogeneous, with many patients not requiring initial therapeutic intervention
Footnotes
Declaration of Conflicting Interests
The author(s) declared no potential conflicts of interest with respect to the research, authorship, and/or publication of this article.
Funding
The author(s) received no financial support for the research, authorship, and/or publication of this article.
