Abstract
Keywords
Primary Objective
Competency 2: Organ System Pathology; Topic HWC: Hematopathology—White Cell Disorders, Lymph Nodes, Spleen, and Thymus; Learning Goal 6: Thymus.
Patient Presentation
A 42-year-old woman presents to her primary care physician with a history of a persistent nonproductive cough and intermittent chest pain for the past 2 months. She has been unable to identify anything that makes the cough better or worse, but she feels the cough has increased in frequency since the original onset. The chest pain is of moderate intensity, dull, nonradiating, and located in the midline. Initially, the pain was infrequent; but it is now occasionally present for several hours of the day. It is not worsened with activity and does not follow meals. She denies nasal discharge, wheezing, shortness of breath, hemoptysis, fevers, recent respiratory tract infections, and heartburn. The patient has no significant past medical history, including no asthma, allergies, or gastroesophageal reflux, and has never smoked cigarettes. She does not take any medications. Her family history is significant for hypertension in her father and rheumatoid arthritis in her mother; both are alive at age 66. Her vital signs are within normal limits. Physical examination shows that the patient’s nasopharynx and oropharynx appear normal and without increased secretions. Her extraocular motions are intact, and her pupils are equally reactive to light bilaterally with normal accommodation. Cranial nerves II through XII are intact, and both strength and sensation are normal in her upper and lower extremities. Her lungs are clear to auscultation bilaterally. Cardiac auscultation reveals a regular rate and rhythm with no murmurs, rubs, or gallops. Jugular venous distension is not identified. The remainder of the physical examination is normal.
Diagnostic Findings, Part 1
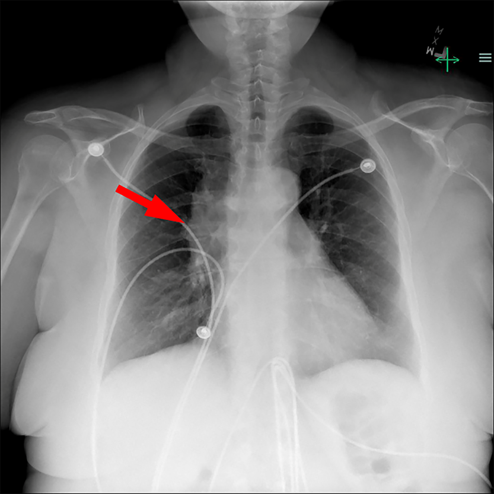
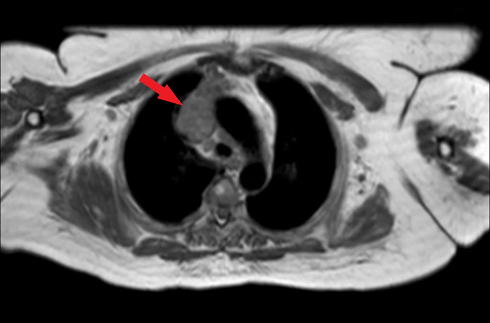
A chest radiograph is performed and shows an enlarged mediastinum suggestive of a mediastinal mass (Figure 1). Based on these findings, a magnetic resonance imaging scan of the chest is performed, which confirms an anterior mediastinal mass (Figure 2). The mass is well-defined without invasion of surrounding structures and does not show areas of hemorrhage, necrosis, calcification, or cystic change.

Chest radiography shows an enlarged mediastinal shadow on the right (arrow), suggesting a mediastinal mass.

T1-weighted magnetic resonance imaging confirms the presence of an anterior mediastinal mass (arrow).
Questions/Discussion Points, Part 1
Describe the 3 Compartments of the Mediastinum and Their Anatomic Boundaries
The mediastinum is defined by 4 boundaries: the thoracic inlet, the diaphragm, the paravertebral sulci, and the pleura. These form the superior, inferior, posterior, and lateral borders, respectively. The mediastinum can then be divided into the anterior, middle (visceral), and posterior compartments (Figure 3). The anterior compartment is found inferior to the innominate vessels and is the space between the pericardium and sternum. This primary components of this space are the thymus and lymph nodes. The middle (visceral) compartment is the space containing the “viscera” of the mediastinum and is made up of the heart, great vessels, pericardium, trachea, and esophagus. The posterior compartment includes the paravertebral sulci and the associated nerves of the sympathetic chain. It also includes the roots of the intercostal nerves. 2

The mediastinum is divided into 3 anatomic compartments, designated anterior, middle, and posterior.
Which Pathologic Lesions Most Commonly Present in Each of the 3 Mediastinal Compartments?
Different lesions typically arise in each of the 3 compartments of the mediastinum, and this allows one to use the location of a lesion to shape the differential diagnosis of a mediastinal mass (Figure 4). The popular memory tool for recalling lesions of the anterior mediastinum is the 4 T’s. This includes

Specific lesions tend to arise in each of the mediastinal compartments, mostly corresponding to the structures normally found in each area. LAD indicates lymphadenopathy.
What Additional Tests or Procedures May Assist in the Evaluation of an Anterior Mediastinal Mass?
The history, physical examination, and radiologic findings can guide further work-up and treatment of a patient with an anterior mediastinal mass. If clinical symptoms of hyper- or hypothyroidism or physical examination findings suggestive of thyroid abnormalities are identified, laboratory tests such as thyroid stimulating hormone, free T4 (thyroxine), and free T3 or total T3 may be useful. In some patients, thyroid antibodies or calcitonin may be indicated or fine needle aspiration (FNA) of the thyroid or mass. If a teratoma is suspected, laboratory studies such as β-human chorionic gonadotropin and α-fetoprotein may be of use. If lymphoma is suspected, positron emission tomography-computed tomography (PET-CT) with fluorodeoxyglucose can help evaluate extent of disease; and lab tests such as lactate dehydrogenase and uric acid may be warranted. Depending on the type of lymphoma, abnormalities may also be detected in a complete blood count. Specific symptoms such as those of a paraneoplastic syndrome may also prompt evaluation with various other laboratory tests. If a thymic tumor is the primary diagnostic concern, further testing prior to resection may not be indicated unless evidence of systemic findings or radiologic evidence of invasion is detected. In contrast, a biopsy should be performed for a suspected invasive malignancy or lymphoma, with FNA, core biopsy, and surgical biopsy all possible approaches depending on the suspected diagnosis and location of the lesion. 2
Diagnostic Findings, Part 2
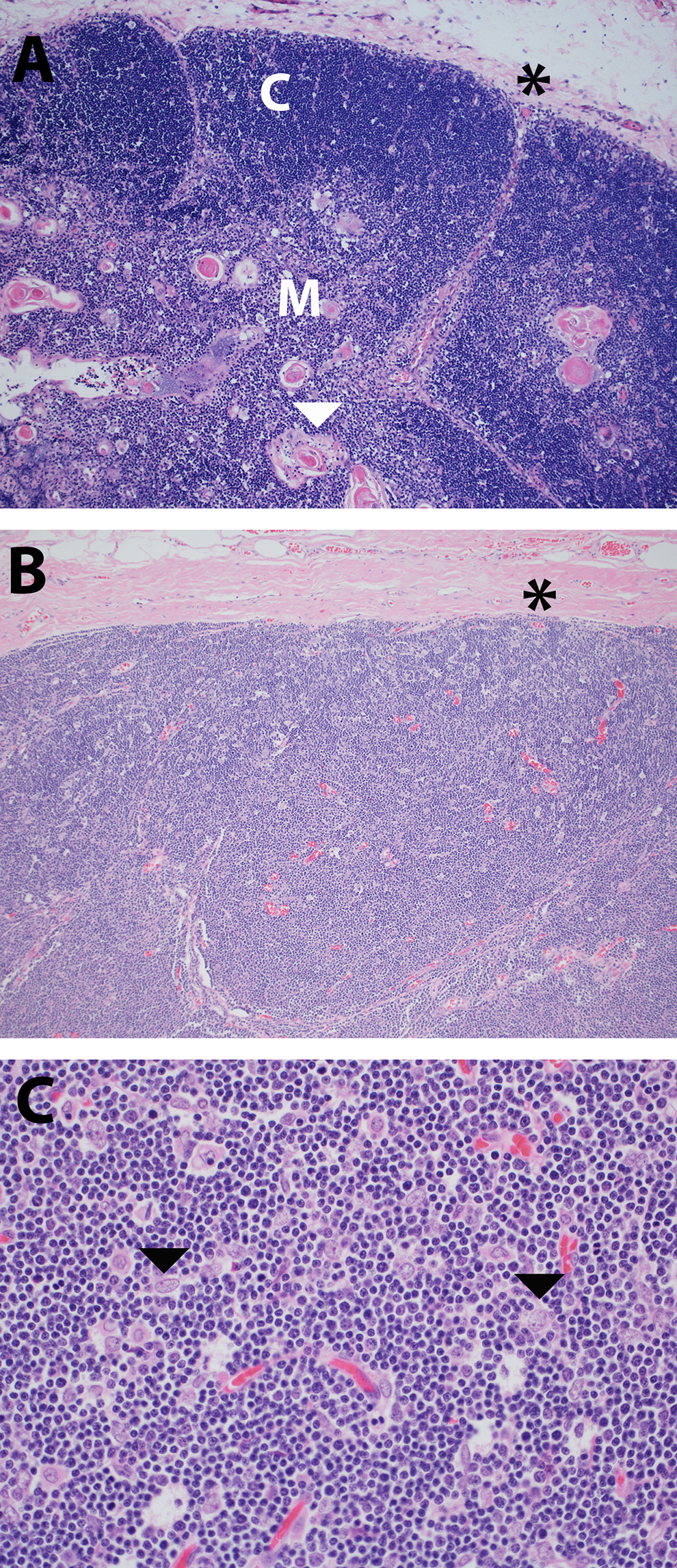
Based on the imaging characteristics and the patient’s desire to avoid additional procedures, she is taken to surgery for excision of the mass. The surgeon notes that the mass appears encapsulated and is not adherent to or invading surrounding structures. Representative histologic images are depicted in Figure 5B and C.

A, A normal pediatric thymus contains a well-demarcated cortex (C) under the capsule (asterisk) that appears darker. The medulla (M) appears lighter and contains Hassall corpuscles (arrowhead). Fatty replacement occurs with age, such that adipose tissue is the main component of the adult thymus (hematoxylin and eosin, original magnification ×100). B, The patient’s thymus is cellular (not predominantly composed of adipose tissue) and does not have a well-demarcated cortex and medulla. It appears as though the lesion is mostly composed of small cells. The capsule is indicated by an asterisk (hematoxylin and eosin, original magnification ×100). C, Higher power reveals numerous small lymphoid cells with intermixed larger, polygonal epithelial cells (arrowheads) (hematoxylin and eosin, original magnification ×400).
Questions/Discussion Points, Part 2
Describe the Normal Histologic Findings of the Thymus, Including Those Seen in Figure 5A, and Compare to the Findings in Figure 5B and C. Assuming That the Entire Lesion Has a Similar Appearance to Figure 5B and C, What Is the Most Likely Diagnosis?
The normal thymus is composed of 2 lobes that further subdivide into multiple lobules. Each lobule consists of an outer cortical layer that appears more basophilic and an inner medulla that appears more eosinophilic, as seen in Figure 5A. The thymus is primarily populated by immature T-cells (thymocytes) and thymic epithelial cells, with smaller populations of dendritic cells, macrophages, B lymphocytes, and myoid cells. A notable histologic landmark in the medulla of the thymus is Hassall corpuscles, which consist of keratinized medullary epithelial cells. As people age, much of the thymic tissue is replaced by adipose tissue.
Figure 5B appears different than the normal thymus, including that the prominent adipose tissue normally seen in adults is lacking. The capsule is intact, but a distinct cortex and medulla are not visible. Hassall corpuscles are absent. The higher power image in Figure 5C is dominated by immature lymphocytes with a minor population of scattered polygonal epithelial cells, the larger cells with eosinophilic cytoplasm.
The most likely diagnosis in this case is a thymoma. The neoplastic cells in thymomas are the thymic epithelial cells, although a variable amount of benign immature T lymphocytes may be intermixed depending on the type.
What Is the Typical Clinical Presentation of a Thymoma?
Thymomas usually arise in patients who are greater than 40 years old. Thymomas are uncommon in children or adolescents, although they do occur. Many thymomas behave in a benign fashion without invasiveness and are only discovered incidentally on imaging studies. Approximately 40% of thymomas are found due to mass effect on mediastinal structures: hoarseness from compression of the recurrent laryngeal nerve, shortness of breath, cough, or chest pain. Approximately another one-third are found during the process of evaluating patients with myasthenia gravis. Thymomas are also associated with several other autoimmune disorders such as pure red cell aplasia, pernicious anemia, Graves disease, and dermatomyositis-polymyositis. It is thought that because the thymus is the site of T cell maturation, thymomas and other thymic hyperplasias give rise to longer lived T cells that are self-tolerant. 3
Briefly Describe Myasthenia Gravis. What Other Paraneoplastic Syndromes Can Be Associated With Thymomas?
Thymomas can be associated with a multitude of autoimmune paraneoplastic syndromes having neuromuscular, central nervous system, hematologic, endocrine, and cutaneous consequences. The most common of these is myasthenia gravis, which affects 30% to 44% of patients. Myasthenia gravis is an autoimmune neuromuscular disorder caused by antibodies directed against postsynaptic acetylcholine receptors. Muscle weakness worsens with repetitive use, and small muscles (eg, ocular) are typically involved. 4
Other paraneoplastic syndromes that may occur in patients with thymomas are pure red cell aplasia, neuromyotonia, polymyositis, hypogammaglobinemia, Cushing syndrome, and alopecia areata. These manifestations are much less frequent and range between 1% and 20% of patients. 4
How Are Thymomas Classified?
Basic knowledge of the World Health Organization (WHO) classification system for thymomas is useful. The classification system is based on the appearance and amount of the epithelial cells and bystander lymphocytes (Figure 6). Type A thymomas consist of bland spindle-shaped epithelial cells with very few immature T-cells. Type AB thymomas contain similar spindle cell histology as type A but also contain immature T-cells. Types B1 and B2 thymomas both have bland polygonal epithelial cells, but they are differentiated by the amount of these cells and the immature T-lymphocytic infiltrate. In type B1, lymphocytes are numerous; but epithelial cells are fewer and do not show clustering (<3 contiguous epithelial cells). Clustering occurs in type B2, although immature T cells are still numerous. In type B3, the epithelial cells predominate and display atypia, with minimal or no lymphocytes. 5

Type A thymomas are composed of spindled epithelial cells with rare lymphocytes. Type AB thymomas also contain spindle-shaped epithelial cells but with the addition of many thymocytes as seen on the right side of the image. Type B1 and B2 thymomas contain polygonal epithelial cells and many thymocytes, with the epithelial cells showing clustering in type B2 (arrows) but not B1 (arrowheads). In type B3 thymomas, thymocytes are again sparse to absent, with sheets of somewhat atypical epithelial cells. (All images are hematoxylin and eosin, original magnification ×400).
Several details should be noted when considering the WHO histologic types. Thymomas not uncommonly show features of more than one type (“combined thymoma”), and immunohistochemical stains may sometimes help with the classification if uncertain. The histologic subtype correlates with likelihood of tumor invasion, which then correlates with outcome; type A thymomas are least likely to demonstrate invasion and type B3 most likely. However, thymomas of any histologic subtype may potentially demonstrate aggressive behavior. 6
As the tumor in this case consists mostly of immature T lymphocytes with noncontiguous (<3 touching) polygonal (not spindle) epithelial cells, it is most consistent with the diagnosis of a type B1 thymoma. The cells do not display atypia, and no invasion was identified.
Instead of histologic appearance, thymomas can also be classified based on the prognostic features of surgical stage (using the Masoaka staging system) and cytologic appearance. 3 Robbins and Cotran 3 describes 3 categories of thymomas: (1) not invasive and cytologically benign, (2) invasive or metastatic but cytologically benign, and (3) cytologically malignant (ie, thymic carcinoma). The different cell types are described with the terms medullary-type (spindle-shaped) and cortical-type (polygonal). Noninvasive thymomas, by definition, retain a capsule and are grossly described as firm gray-white masses. They can be as large as 15 to 20 cm and are usually composed of medullary-type cells or mixed medullary and cortical cells. Invasive thymomas extend through the thymic capsule and into surrounding structures. These are more frequently cortical-type. Thymic carcinomas appear cytologically malignant (most frequently squamous cell carcinomas), are also invasive, and can metastasize. 3
Describe the Staging System for Thymomas
Thymomas have traditionally been staged according to the Masaoka staging system, which has been modified and refined to its most recent form. This system places thymomas on a scale from I to IV based on the extent to which the tumor invades and involves the surrounding tissue at the time of surgical resection. Briefly, Stage I tumors are encapsulated, Stage II tumors invade the capsule, Stage III tumors invade neighboring organs, and Stage IV tumors are metastatic. The most recent American Joint Committee on Cancer (AJCC) staging system also emphasizes invasion of adjacent tissues, with tumors classified as T1 whether they are noninvasive or invade mediastinal pleura; T2 if they invade the pericardium; T3 if they invade lung, specific vessels, phrenic nerve, and/or the chest wall; and T4 if they invade the heart, esophagus, trachea, or aorta/arch vessels. Consideration of possible nodal and/or metastatic tumor is also included in the AJCC system. Tumor stage is the best prognostic factor. 6 If this patient’s tumor is encapsulated and does not invade the capsule, she has a stage I tumor.
What Are the Histologic Differences Between Thymomas and Mediastinal Lymphomas?
As noted previously, thymoma and lymphoma are common lesions identified in the anterior mediastinum. Several different types of lymphoma occur in the anterior mediastinum and can arise from and/or involve the thymus. Some of the more common types of mediastinal lymphomas include T-lymphoblastic lymphoma (T-LBL), primary mediastinal large B-cell lymphoma (PMBL), and classic Hodgkin lymphoma (CHL). The medium-sized to large atypical lymphoid cells of PMBL and Hodgkin and Reed-Sternberg cells of CHL make their distinction from thymoma less difficult, and immunostains can usually easily resolve any remaining doubt.
Superficially, the more difficult distinction is that between thymoma and T-LBL, as both contain immature T cells. However, the neoplastic lymphoblasts in T-LBL are a clonal population with an aberrant phenotype by flow cytometry and histology depicting sheets of atypical and immature-appearing lymphoid cells. In contrast, the non-neoplastic thymocytes in thymomas show the appropriate maturation spectrum of T cells by flow cytometry and do not display cytologic atypia. Spindled or polygonal epithelial cells are not intermixed. The prototypical patient with T-LBL is an adolescent male who may have detectable bone marrow (leukemic) involvement. 3
What Is the General Treatment Strategy for Thymomas?
The primary treatment modality for thymomas is surgical resection, with possible neoadjuvant (preoperative) chemotherapy given prior to surgery and/or postoperatively for stage III and IV tumors. Some patients may require postoperative radiation therapy based on the extent of disease and margin status and chemotherapy as well. 7
What Is the Prognosis of a Patient With a Thymoma?
The prognosis for a patient with a thymoma varies with the stage of the cancer as well as the extent of the resection. Many patients are Masaoka stage I or II, with 10-year survival rates after surgery of 90% and 70%, respectively, falling to 55% and 35% for stages III and IV. The rate of recurrence ranges from 3% to 43% and also correlates with stage. Some patients may live with recurrent disease for many years. 8 Recommended surveillance after low stage/grade thymoma such this patient’s is an annual chest CT for the first 5 years and further surveillance imaging every other year for the next 20. 9
Teaching Points
Thymomas are one cause of an anterior mediastinal mass, with the primary differential diagnosis based on location including lymphoma, germ cell tumors, and thyroid lesions.
Many thymomas are asymptomatic and found incidentally. However, some may cause mass effect or a paraneoplastic syndrome such as myasthenia gravis, pure red cell aplasia, or hypogammaglobulinemia among others.
Thymomas are neoplasms of thymic epithelial cells and also contain variable amounts of benign immature T cells (thymocytes). Thymomas can be histologically classified into several categories based on the appearance of the epithelial cells and relative amounts of epithelial and lymphoid cells.
In contrast, the neoplastic cells in mediastinal lymphomas are of lymphoid origin. Common types of mediastinal lymphoma include T-lymphoblastic lymphoma, primary mediastinal large B-cell lymphoma, and classic Hodgkin lymphoma.
Thymomas should be surgically resected to prevent local tumor spread. Chemotherapy and/or radiation may also be indicated.
Staging of thymomas is dependent on the presence and amount of tumor invasion. Tumor stage is a better predictor of behavior than histologic type.
Footnotes
Authors’ Note
The opinions expressed herein are those of the author and are not necessarily representative of those of the Uniformed Services University of the Health Sciences (USUHS), the Department of Defense (DOD), the US government, or the United States Army, Navy, or Air Force.
Declaration of Conflicting Interests
The author(s) declared no potential conflicts of interest with respect to the research, authorship, and/or publication of this article.
Funding
The author(s) received no financial support for the research, authorship, and/or publication of this article.
