Abstract
Introduction: The clinical use of 5-fluorouracil (5-FU), a routinely used chemotherapy medication, has a deleterious impact on the liver. Therefore, it is necessary to find a less harmful alternative to minimize liver damage. This study was designed to see how 5-fluorouracil nanogel influenced 5-FU-induced liver damage in rats. Methods: To induce liver damage, male albino rats were injected intraperitoneally with 5-FU (12.5 mg/kg) three doses/week for 1 month. The histopathological examination together with measuring the activities of serum alanine and aspartate aminotransferase enzymes (ALT and AST) were used to evaluate the severity of liver damage besides, hepatic oxidative stress and antioxidant markers were also measured. The hepatic gene expression of heme oxygenase-1 (HO-1), nuclear factor erythroid 2-related factor 2 (Nrf2) and its inhibitor Kelch-like ECH-associated protein-1(Keap-1) in addition to hepatic inflammatory mediators including tumor necrosis factor-α (TNF- α) and interleukins (IL-1β, IL-6) were detected. Results: 5-Fu nanogel effectively attenuated 5-FU-induced liver injury by improving the hepatic structure and function (ALT and AST) besides the suppression of the hepatic inflammatory mediators (TNF- α, IL-1β and IL-6). Additionally, 5-FU nanogel alleviated the impaired redox status and restored the antioxidant system via maintaining the cellular homeostasis Keap-1/Nrf2/HO-1 pathway. Conclusion: Consequently, 5-Fu nanogel exhibited lower liver toxicity compared to 5-FU, likely due to the alleviation of hepatic inflammation and the regulation of the cellular redox pathway.
Introduction
Effective treatments for cancer are desperately needed, as it is one of the leading causes of mortality worldwide. Chemotherapy is commonly used to treat different types of cancer, but it has the drawback of not being able to distinguish between healthy and cancerous cells, resulting in severe side effects. 1 5-fluorouracil (5-FU) is a chemotherapeutic medication used to treat specific kinds of tumors. 2 Its antitumor potential depends on triggering the death of the proliferated cells without distinguishing between healthy and tumor cells. During the anabolism of 5-FU three primary reactive metabolites were generated which are responsible for its cytotoxic effects in all tissues both malignant and healthy cells via hindering the action of the thymidylate synthase as well as synthesis of the nucleic acid. However, its catabolism occurs mainly in the liver associated with toxic metabolites disrupting hepatocyte structure and function and consequently hepatic injury. 3 Overproduction of reactive oxygen species (ROS) and release of inflammatory mediators are fundamental to the harmful effects of 5-FU, which are the main mechanisms of 5-FU-induced cytotoxicity. 4
5-FU toxicity varies across patients and can cause them to stop treatment on occasion. 3 Diarrhea, mucositis, dermatitis, bone marrow suppression, cardiotoxicity, reproductive organ toxicity, and toxicity to the liver and kidneys are all common and potentially life-threatening 5-FU adverse effects. Subsequently, a new paramount approach is required to improve its effectiveness as a chemotherapeutic drug, overcome its drawbacks and life-threatening complications, and diminish hepatotoxicity. Various drugs have been used to reduce the toxic effects of 5-FU in different organs while still maintaining its ability to fight cancer. 5 However, there is still no agreement on the best drug therapy for this purpose.
The use of nano-drug delivery systems has garnered significant interest as an effective method for delivering drugs. This advanced technique allows for targeted and organized delivery of drugs to tumors, reducing toxic side effects and improving cancer therapy. 6 The nano drug delivery system is a promising approach for controlled and targeted drug delivery to cancer, as it can mitigate toxicity and enhance effectiveness. 7 In this regard, a biodegradable nanogel with various biomedical applications can be used ideally as a drug delivery system. Polymers are either synthetic like Polyacrylic acid (PAA) or natural like gelatin, and can be used as drug carriers due to their biocompatibility, low toxicity, antigenicity and immunogenicity. 8 These polymers can be degraded in a nontoxic manner in living organisms and thus avoid organ accumulation and toxicity. 9 The PAA chains provide not only hydrophilic nature but also a large number of carboxyl groups after being bonded onto the nanoparticles, increasing the drug loading capacity of nanogels via electrostatic interactions by forming hydrogen bonds or other weak linkages within the polymeric network and interacting with the drug. Incorporating drugs into the nanogels is easy, spontaneous, and does not necessarily require any chemical reactions because the drug can be introduced to the nanogel network in subsequent steps when the nanogel swells with water or aqueous biological fluid. 10 Moreover, chemically crosslinked nanogels may release toxic monomers from the matrix during their expected chemical degradation. 11 Consequently, herein the polymers were crosslinked by gamma irradiation to produce non-toxic nanogel.
Accordingly, this study aimed to explore whether the toxicity of 5-FU nanogels to rat liver tissue was lower than that of 5-FU alone. Also, the study focused on comparing biochemical and histopathological parameters.
Materials and methods
Materials
All chemicals, including acrylic acid (AAc) and gelatin (G), were obtained from Sigma Aldrich (St. Louis, MO, USA).
Irradiation process
At the National Center for Radiation Research and Technology (NCRRT), Egyptian Atomic Energy Authority, a 60Co Gamma cell was used to irradiate polymer/monomer in an aqueous solution to synthesize a crosslinked nanogel with controlled properties (physical, chemical, and biological). The irradiation dose was 5 KGy and was carried out at a dose of 0.732 kGy/h.
Synthesis of poly (G/AAc)/5-FU nanogel by gamma irradiation
A gelatin/5-FU solution was prepared by dissolving 500 ppm of 5-FU and 0.5 g of gelatin in 5 mL of hot water. This solution was then mixed with 5 mL of ethanol and stirred at 1000 r/min for 45 min using a high-speed homogenizer. The resulting solution was labeled as “A.” Next, a solution of AAc monomers was prepared by dissolving 1.5 mL of AAc in 10 mL of 0.1 M hydrochloric acid solution. The AAc monomers and the gelatin/5-FU solution were mixed and exposed to 5 kGy gamma radiation to initiate the polymerization reaction. The suspension solution of gelatin-based p(AAc/AAm)/5-FU was then stored at 4°C.
Gelatin-based p(AAc/AAm)/5-fluorouracil characterization
For biological applications, the size and concentration of produced nanoparticles are crucial. The morphology of 5-FU PAAc nanogel was examined using transmission electron microscopy (TEM, JEOL; model JEM2100, Japan). Additionally, dynamic light scattering (DLS) analysis was performed on a sample of 5-FU PAAc NPs (5-FU nanogel) to determine the particle size distribution using the ZetaSizer Nano ZS particle analyzer (Malvern Instruments Limited).
The LD50 of 5-Fu nanogel
The LD50 is commonly used to assess the hazardous properties of chemicals. Following the method by Bass et al., 13 we evaluated the LD50 of 5-FU Nanogel in rats. We administered doses of 50–150 mg/kg b.w. intraperitoneally to determine the median LD50 of 5-FU Nanogel. After 24 h, we recorded the mortality and calculated it using the following formula:
Log LD50 = Log LD next below 50% + (Log increasing factor x proportionate distance)
Animals
Laboratory animals were cared for and used in accordance with methods authorized by the Institutional Animal Ethical Committee and in accordance with international standards for animal experimentation. The Institutional Animal Care and Use Committee Research Ethic Board (BUFVTM 04-04-22) also approved the project. Male rats weighing 100–120 g were procured from the Institutional animal home and housed in clean cages. They were subjected to a 12-h light/dark cycle, as well as unrestricted access to a commercial pellet meal and drinking water.
Experimental design
The rats from the experimental group were divided into three groups, each with 10 rats.
Control group
Rats were injected with saline intraperitoneally.
5-Fluorouracil (5-FU) group
Rats were injected intraperitoneally with 5-FU (12.5 mg/kg b.wt) three times/week for one month. 14
P(G/AAc)/5-FU nanogel (5-FU nanogel) group
Where rats got P(G/AAc)/5-FU nanogel (2.5 mg/kg b.wt) intraperitoneally three times per week for one month.
Biochemical measurements
To evaluate liver function, the activities of the transaminase enzymes aspartate (AST, EC 2.6.1.1) and alanine transaminase (ALT, EC 2.6.1.2) were measured in the serum according to the assay protocols outlined in the commercial kits obtained from Spectrum Diagnostic Company in Cairo, Egypt.
Evaluation of oxidative stress markers
In order to ascertain the impaired redox status, the extent of lipid peroxidation (MDA), as well as glutathione (GSH) content and superoxide dismutase (SOD) activity were detected in the hepatic tissues by commercial kit from Bio-diagnostic Company in Cairo, Egypt.
Quantitative real-time PCR (RT-PCR) analysis
Primer sequences.
A histopathological study of liver tissues was performed
Liver tissue specimens were first fixed in formalin saline solution (10%). After that, they were removed, cleaned, and dehydrated using ascending concentrations of alcohol then cleared by xylene and embedded in paraffin blocks that were sliced into sections of 4–6 µm thick. These sections were stained with hematoxylin-eosin (H&E) to evaluate the histopathological alterations in liver tissues under an electric light microscope. 16
Statistical analysis
Using the Statistical Program for Social Science (SPSS 20, SPSS Inc., USA), the obtained data were statistically analyzed by a one-way ANOVA test, followed by a post hoc test (LSD test) at
Results
Nanoparticle characterization
The use of biodegradable nanogels for drug delivery has been shown to improve stability, drug incorporation, and delivery, leading to better therapeutic effectiveness. Figure 1 shows the evaluation of the characteristics of 5-FU nanogel using TEM and DLS. The results from TEM analysis pointed out that the size of the P(G/AAc)/5-FU nanogel was approximately 100 nm with a good uniformity spherical shape. DLS analysis confirmed that the average size of the 5-Fu nanogel was 100 ± 3.6 nm, as shown in Figure 1. Additionally, Zeta potential analysis revealed a negative surface charge of –1.5 mV for the 5-FU nanogel. Characterization of 5-FU nanogel. (a): TEM, (b): DLS study of 5-FU nanogel size distribution.
Results of LD50 of gelatine-based P(G/AAc)/5-FU nanogel
Median lethal dose of.
Log LD50 = Log LD next below 50% + (Log increasing factor x proportionate distance). Increasing factor (approx.) = 1.077. Proportionate distance = 0.5. Log LD50 = Log (130) + (Log 1.077 × 0.5). LD50 = 124.5 mg/Kg body weight.
Effect of 5-FU nanogel and 5-FU on liver enzymes
The activities of ALT and AST were significantly higher in the 5-FU group by 8.6% and 7.66%, respectively, when compared to the control group. On the other hand, treatment with 5-Fu nanogel substantially decreased the activities of both ALT and AST (−11.6% and −8.6%), respectively, in comparison to the 5-FU group (Figure 2). Effect of 5-FU nanogel and 5-FU on the liver function enzymes alanine aminotransferase (ALT) and aspartate aminotransferase (AST). Values are displayed as the mean ± SEM. (a) Significantly different from the control at 
Effect of 5-FU nanogel and 5-FU on mRNA expression of hepatic inflammatory parameters in the liver tissue
The results presented in Figure 3 indicate that the expression of hepatic TNF-α and IL-1β, as well as IL-6 genes, was considerably increased by 54.28%, 81.4%, and 161.46%, respectively, in rats injected with 5-FU when compared to the control group. In contrast, treating rats with 5-FU nanogel markedly decreased the gene expression of these hepatic inflammatory markers (TNF-α, IL-1β, and IL-6) by −31.48, −36.16, and −83.9%, respectively, in comparison to the 5-FU group. Gene expression of hepatic inflammatory markers: tumor necrosis factor-alpha (TNF-α), interleukin-1β (IL-1β), and interleukin-6 (IL-6) in response to 5-FU nanogel and 5-FU. Values are displayed as the mean ± SEM. (a) Significantly different from the control at 
5-FU nanogel and 5-FU’s effect on the liver tissue mRNA expression of Nrf2, Keap-1, and HO 1
As shown in Figure 4, 5-FU remarkably upregulated the hepatic expression of Nrf2 and Keap-1 genes by 1.66 and 1.06 fold change, respectively, along with a notable decrease in the hepatic HO-1 gene transcript level by 0.8 fold change in the 5-FU group compared to the control group. Furthermore, rats that received 5-FU nanogel also exhibited changes in the hepatic gene expression of Nrf2, Keap-1 by 1.61 and 1.18 fold change and HO-1 by a 1.7 fold change compared to the 5-Fu group. Effect of 5-FU nanogel and 5-FU on the mRNA expression of Nrf2, KEAP1 and HO-1 in the liver tissue homogenate. Values are displayed as the mean ± SEM. (a) Significantly different from the control at 
5-FU nanogel and 5-FU’s effect on parameters of hepatic oxidative stress
In comparison to the control group, rats treated with 5-FU alone exhibited a marked increase in the levels of MDA by 46.5% accompanied with an obvious decrease in the levels of SOD and GSH (13.09% and 6.45%), respectively, in the liver (Figure 5). However, oxidative stress parameters improved significantly when 5-FU nanogel were administered; SOD and GSH (19.35% and 10.32%) levels increased, while MDA levels decreased by 36.2%. The impact of 5-FU nanogel and 5-FU on the parameters of hepatic oxidative stress: malondialdehyde (MDA), reduced glutathione (GSH) and, superoxide dismutase (SOD). Values are displayed as the mean ± SEM. (a) Significantly different from the control at 
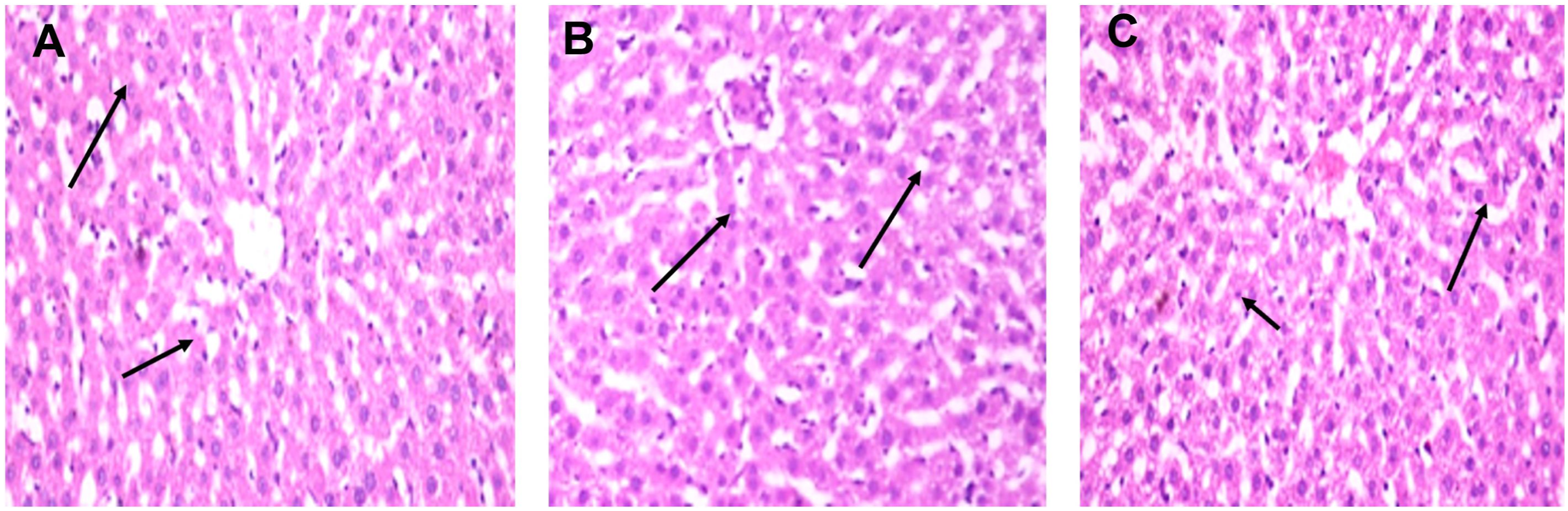
Histopathological examination
The liver tissue sections of both the control and 5-FU nanogel groups showed normal histological architecture of liver tissues consisting of hepatic lobules and hepatic cords organized around the central vein. The hepatocytes were polygonal in shape and connected in plates, with borders facing either the sinusoids or adjacent hepatocytes. This resulted in a grade 0 classification (Figures 6(a) and (b)). Meanwhile, the liver tissue section of 5-FU showed deposition of intracellular fat droplets in the outer zone and an increase in Kupffer cell hyperplasia. There was also dilation of hepatic sinusoids, resulting in a grade III classification (Figure 6(c)). Photomicrograph of liver tissue section showing: (a, b) normal histological structure of hepatic lobules arrow (c) few numbers of intracellular fat droplets in the peripheral zone arrow and few numbers of intracellular fat droplets in the peripheral zone with hyperplasia of Kupffer cells arrow (H&E × 200).
Discussion
The nanotechnology revolution has significant implications for medicine. Medical practitioners must consider how this revolution can introduce new nanotechnology-based methods to enhance therapy outcomes. One notable application is in managing different types of cancers, where nanotechnology can optimize the effectiveness of chemotherapeutic agents. Nanotechnology’s capabilities have gained global attention for improving various agents’ bioavailability and therapeutic potential. This is achieved by enhancing the targeted delivery of the active agents to cells and tissues, improving drug profiles, and distribution, and minimizing toxicity. 17
Treating tumors with the widely chemotherapeutic agent 5-FU is associated with significant toxicity and side effects, notably on the liver, which restricts its efficiency. This study compares the effects of 5-FU nanogel on liver tissue to conventional 5-FU. In this study, it was found that 5-Fu induced hepatotoxicity in rats by deteriorating the histological structure and impairing various biochemical parameters, redox status and inflammatory mediators. Parallel to the previous studies,3,18 the obtained results revealed that injection of 5-FU to rats triggered hepatic dysfunction and augmented the activities of the transaminase enzymes (ALT and AST) in the serum. Additionally, the histopathological examination showed degenerated hepatocytes and the presence of hyperplasia Kupffer cells besides the dilation of hepatic sinusoids. Loss of hepatic integrity is associated with alteration of the membrane permeability leading to the leakage of the hepatic enzymes into the blood circulation.19–21 This may be attributed to the interaction of the 5-FU and its reactive intermediates catabolites during their passage through the liver tissues. 3
Regarding mitochondrial dysfunction triggered by 5-FU, enormous amounts of ROS and free radicals were produced impairing tissues and redox status homeostasis which in turn leads to oxidative stress. Research indicates that oxidative stress plays a role in the organ toxicities caused by 5-FU. 22 Furthermore, their excessive accumulation of these detrimental radicals resulted in oxidative stress and damage of the liver as well as the cellular biomolecules (lipids, proteins, and nucleic acids) concomitant with cellular and tissue dysfunction. Herein, the results exhibited an obvious elevation in lipid peroxidation marker MDA coupled with a significant decline of the antioxidant markers GSH and SOD in the hepatic tissues of the rats intoxicated with 5-FU due to the excessive ROS production and depletion of the antioxidant defense system components.18,23 Consistent with previous findings, our investigation revealed that the activity of these antioxidant enzymes in the liver was significantly diminished after 5-FU treatment, while hepatic MDA levels increased.24,25
It was found that treatment with 5-FU nanogel markedly decreased the levels of lipid peroxidation (MDA) and restored the levels of the antioxidant both GSH and SOD. This may be due to the antioxidant effect of the nanogel which may be attributed to the presence of Gelatin in the components of nanogel. Gelatin is a natural biomaterial consisting of various amino acids (hydroxyproline, serine, arginine, lysine, and aspartic and glutamic acids) thus displaying various health and biological activities such as reducing oxidation. 26 It was reported that Glycine (34.71) is the major gelatin amino acid while the percentage of glutamic acid was 6.11. 27 Moreover, supplementation with serine or any component of GSH amino acids (glycine and glutamate) augments its synthesis in tissue therefore conserving hepatic GSH levels and attenuating oxidative damage. 28 Accordingly, gelatin may affect the redox status and antioxidants, by impeding oxidative stress and tissue disruption.
It has been suggested that 5-FU can directly harm the liver, leading to inflammation and tissue death. 29 Additionally, ROS can increase the levels of endotoxins in the liver and other organs, leading to neutrophils absorbing them and producing more ROS. 30 Pro-inflammatory cytokines and cellular signaling mechanisms are still being studied in the development of liver damage. 31 These pro-inflammatory cytokines have been linked to a considerable increase in serum IL-1ß, IL-6, and TNF- levels following 5-FU treatment in rats. Studies have shown that the administration of 5-FU in rats leads to an increase in serum levels of pro-inflammatory cytokines IL-1ß, IL-6, and TNF-α, which is in line with previous research.25,32
Neff-2 and its effectors are considered to be crucial defensive inputs among the myriad of oxidative stress sensors.33,34 The Nrf-2 pathways are critical in shielding cellular components from oxidative damage. 35 Through the transcriptional stimulation of HO-1, this route activates antioxidants, proteasomes, and drug transporters. 36 INRf-2 is retained in the cytoplasm by Keap1, also known as INrf-2, a cytosolic inhibitor of Nrf-2. Nrf-2 detaches from the INrf-2 complex, stabilizes, and enters the nucleus in response to oxidative stress; this initiates glutathione-dependent gene expression via the antioxidant response element (ARE). 37 Alternatively, Nrf-2 may stabilize, translocate into the nucleus, and evade Keap1 degradation in response to oxidative stress, thereby activating ARE thus increasing the production of different effectors such as HO-1 and SOD. This leads to an antioxidant reaction, which protects the liver from oxidative damage. As a result, the injection of 5-FU nanogel increases Nrf-2 expression, which activates antioxidant defense systems and lowers oxidative stress in the liver, providing structural protection.38,39 In harmony with our findings, Lai et al., reported that 5-FU nanogel caused the translocation of cytosolic Nrf-2 to the nucleus, where it bound to the antioxidant-response element. 40
Furthermore, parallel to our results, Zeng et al. 18 pointed out that the blockage of Nrf2 nuclear translocation by 5-FU was associated with diminished levels of its downstream antioxidant protein kinases HO-1. However, upon treatment with 5-FU nanogel, there was a significant increase in the expression of HO-1 in the hepatic tissue and genes that are downstream targets of Nrf-2. The nanogel also increased the expression of HO-1 mRNA in human vascular endothelial cells in a concentration- and time-dependent manner. Thus, it is thought that 5-FU nanogel boosted Nrf-2 expression in the liver, resulting in a stronger cellular defense mechanism that removes ROS and other detrimental compounds, restores oxidative and antioxidative equilibrium and safeguards the integrity of cell membranes as well as maintains the functionality of cells and organs 41 collectively, protects liver tissue from the detrimental effects of 5-FU-induced ROS accumulation. Notably, the limitations of this study are the sample size in addition to the unavailability to perform further analysis to explore the exact mechanism of action of the 5-FU nanogel.
Conclusion
In conclusion, the obtained results indicated that 5-FU nanogel alleviated 5-FU-induced liver toxicity by improving the impaired structure and function, maintaining the deranged redox balance, protecting the hepatic cells from oxidative damage in addition to regulating the Nrf2/Keap-1 pathway proving the lower hepatic toxicity of 5-FU nanogel. Consequently, our study may prove that 5-FU nanogel has hepatoprotective potential, likely due to its anti-inflammatory and antioxidant properties and incorporating 5-FU nanogel into cancer treatment may benefit the well-being of patients. Future research should focus on uncovering additional mechanisms of action for 5-FU nanogel, exploring the dose-dependent effects, and determining the optimal dosage for human usage.
Footnotes
Acknowledgements
In regard to the histopathological evaluation, we express our gratitude to Prof. Dr. Ahmed Osman, Professor of Pathology at Cairo University’s Faculty of Veterinary Medicine.
Author contributions
Methodology, Conceptualization, and Supervision by O.A.R.A.-Z. Methodology, formal analysis and interpretation of results, writing (review and editing) were done by F.S.M.M. W.E.M.B.: Inquiry, data gathering, and result interpretation; E.S.A.A.: Investigation and Writing—Preparation of the Original Draft. All authors endorsed the final version of the manuscript for publication following a review of the results.
Declaration of conflicting interests
The author(s) declared no potential conflicts of interest with respect to the research, authorship, and/or publication of this article.
Funding
The author(s) received no financial support for the research, authorship, and/or publication of this article.
