Abstract
Keywords
Primary Objective
Competency 2: Organ System Pathology. Topic: Endocrine (EN). Learning Goal 5: Endocrine Neoplasms.
Patient Presentation
The patient is a 32-year-old woman gravida 0 who presents to clinic with bilateral, spontaneous, milky, nonbloody nipple discharge for 9 months. The amount of nipple discharge has been stable and needs padding in her bra. There is no breast tenderness or visible breast changes. In addition, she has not menstruated for 9 months. Her menses began at age 13 and have been regular, occurring approximately every 27 days. The patient is not currently sexually active. Her past medical history is noncontributory. She is not on any medications or specific diet. She denies any headache, vision changes, cold intolerance, or weight change.
Diagnostic Findings, Part 1
Vital signs are normal. The thyroid gland is not enlarged. No masses are palpable upon examination of the breasts. The pelvic examination is normal. A neurologic examination demonstrates normal memory, eye movements, hearing, vision, gait, sensation, and strength.
Questions/Discussion Points, Part 1
Based on the Clinical Presentation, What Are the Most Likely Underlying Etiologies?
In a young adult woman presenting with amenorrhea, the initial work-up must exclude pregnancy. The most common clinical conditions that can present with galactorrhea and amenorrhea are hypothyroidism, medication side effects (eg, dopamine antagonists), and pituitary adenoma. 2
Based on the Clinical Presentation, What Additional Studies Should Be Ordered?
A urine pregnancy test (beta human chorionic gonadotropin) should be ordered first. In addition, order a serum prolactin. Galactorrhea could happen in the setting of increased prolactin. High prolactin would suppress gonadotropin-releasing hormone, which would suppress luteinizing hormone (LH) and follicle-stimulating hormone (FSH). Check thyroid-stimulating hormone (TSH) levels because untreated primary hypothyroidism can raise thyrotropin-releasing hormone levels, thereby raising prolactin. Magnetic resonance imaging (MRI) is the most sensitive test to detect a pituitary gland lesion 2 but should be ordered after the aforementioned tests.
Diagnostic Findings, Part 2
Prolactin is 600 ng/mL (normal is less than 25 ng/mL). The pregnancy test is negative. The TSH level is in the normal range. LH and estradiol levels are lower than normal.
An MRI demonstrates a hypodense lesion in the anterior portion of the sella measuring approximately 9 mm in greatest diameter on coronal imaging (Figure 1).

Magnetic resonance imaging (MRI) of a lesion in the sella turcica. This sagittal image of the brain shows a hypodense lesion (arrow) that is centered in the sella turcica.
Questions/Discussion Points, Part 2
What Are the Most Common Manifestations of Hyperprolactinemia?
The most common manifestations are galactorrhea (with variable incidence), amenorrhea and infertility in women, and gynecomastia and impotence in men.
What Is the Most Likely Diagnosis in This Patient?
This is most likely a microadenoma of the pituitary gland. Identification of a hypodense lesion in the anterior portion of the sella indicates pituitary gland involvement. Lesions in the pituitary gland could originate in the sella or metastasize from other organs. Metastasis usually involves the posterior part of the pituitary gland. 3 A pituitary gland lesion in the setting of very high prolactin levels suggests a pituitary adenoma. A microadenoma is a pituitary adenoma that is less than 10 mm in size, and a macroadenoma is a tumor that is greater than 10 mm in size.
What Are Some Potential Complications of Macroadenomas?
If pituitary adenomas grow large enough, they may compress the optic chiasm, leading to bitemporal hemianopsia. A pituitary adenoma may undergo hemorrhage or infarction, leading to headache, visual changes, and sudden loss of secretion of pituitary hormones. This process is called pituitary apoplexy.
What Would Be the Next Step Based on Laboratory and Imaging Findings?
Dopamine agonist therapy, such as cabergoline or bromocriptine, is the most appropriate management to lower the prolactin level and help shrink the tumor tissue. Cabergoline generally has less adverse effects than bromocriptine and is more effective in treating the symptoms. 4
Diagnostic Findings, Part 3
The patient is treated with cabergoline and returns to the office one month later complaining of persistent constipation and fatigue. She asks for an alternative to dopamine agonists and is referred to a neurosurgeon. Surgery is generally recommended in patients with failure to achieve a normal prolactin level on maximally tolerated doses of dopamine agonist therapy and failure to reduce 50% of tumor size. 5 The patient decides to undergo surgery. The neurosurgeon resects the entire tumor via a transsphenoidal approach, noting during the surgery that the tumor is well-encapsulated and does not invade adjacent structures such as the sphenoid sinus.
Questions/Discussion Points, Part 3
Compare the Histologic Findings of a Normal Anterior Pituitary Gland With Those of the Resected Tumor
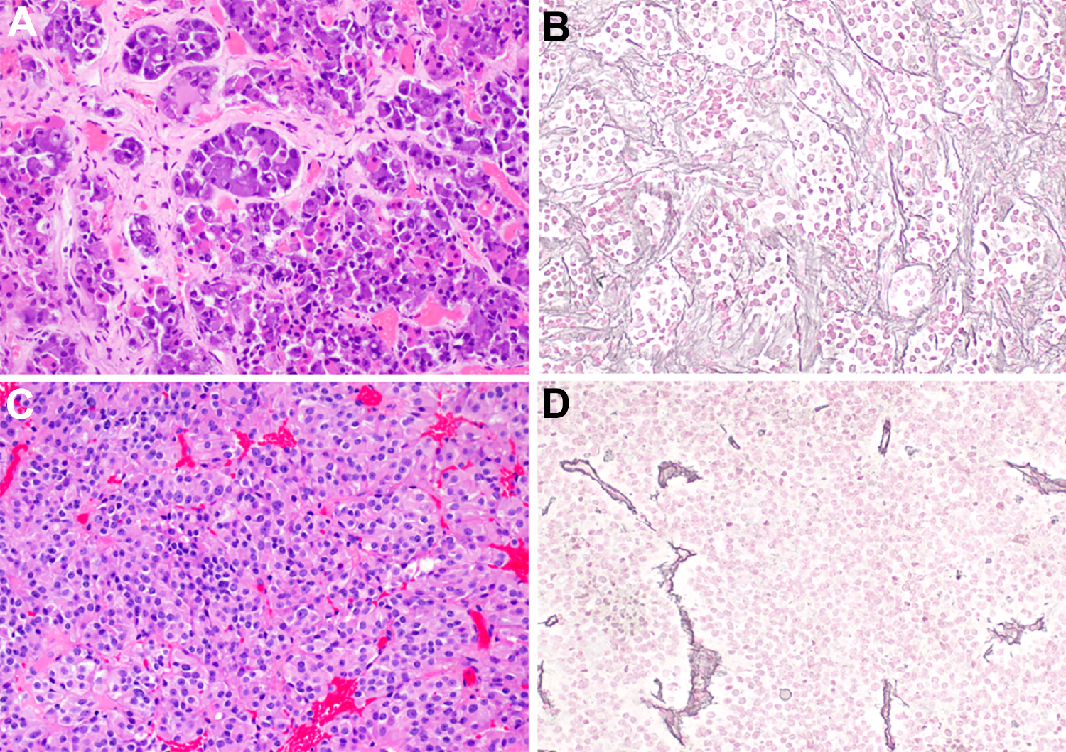
The anterior pituitary gland (Figure 2A and B), or adenohypophysis, consists of variably sized lobules and cords of endocrine cells with different staining properties when stained with dyes such as hematoxylin and eosin. Although acidophils have pink/red cytoplasm and basophils have blue/purple cytoplasm, chromophobes have cytoplasm that does not stain well (Figure 2A). These secretory cells are surrounded by fibrovascular tissue that can be highlighted with a reticulin stain (Figure 2B). The resected tumor (Figure 2C and D) is arranged in sheets of monomorphic cells with round to oval nuclei (Figure 2C). The loss of the normal lobular architecture of the anterior pituitary gland is demonstrated with the fragmented reticulin staining pattern (Figure 2D).

Histologic features of normal adenohypophysis and a pituitary adenoma. (A) A hematoxylin and eosin–stained section of normal anterior pituitary shows nests with acidophils, basophils, and chromophobes. (B) A reticulin special stain highlights the abundant connective tissue that surrounds the nests of endocrine cells. (C) A representative hematoxylin and eosin–stained section shows a neoplasm arranged in variably sized sheets and nests of mildly pleomorphic cells with amphophilic cytoplasm, round to oval nuclei, and stippled chromatin. (D) The reticulin connective tissue network is nearly absent in the pituitary adenoma. Magnifications, ×200.
Which Hormone Immunostains Should Be Performed on the Resection Specimen? What Results Are Expected?
Prolactin, LH, FSH, TSH, growth hormone (GH), and adrenocorticotropic hormone (ACTH) are all adenohypophyseal hormones that should be examined. Results of the prolactin stain are shown in Figure 3A. As expected, staining is strongly and diffusely positive. FSH, LH, ACTH, GH, and TSH stains are negative in the tumor cells (not shown).

Histopathologic features of a lactotroph adenoma. (A) The tumor strongly expresses prolactin. (B) Tumor cell nuclei are strongly positive for PIT1, a transcription factor found in lactotrophs, somatotrophs, and thyrotrophs. (C) The vast majority of tumor cells are negative for SF1, a transcription factor found in gonadotrophs. (D) The tumor cells are negative for TPIT, a transcription factor found in corticotrophs. Magnifications, ×200.
Based on the Pathologic Findings, What Is the Diagnosis?
The diagnosis is prolactinoma (lactotroph adenoma). Prolactinoma is the most common functioning pituitary adenoma (40% of all pituitary adenomas). 6 Pituitary adenomas are tumors of the anterior lobe of the pituitary gland and are the second most common central nervous tumors. 7 They result in a variety of endocrinopathies (Table 1). It has been suggested that pituitary adenomas should be called pituitary neuroendocrine tumors to reflect their cell of origin and their varied biological behaviors. 8 A functional classification of pituitary adenoma, based on the predominant cell type and hormone produced, includes lactotroph adenoma (prolactinoma), somatotroph adenoma, thyrotroph adenoma, corticotroph adenoma, and gonadotroph adenoma (Table 2). The 2017 World Health Organization classification system recognizes the role of cell lineage-specific transcription factors in defining the subtypes of pituitary adenoma. 9 These transcription factors include PIT1, SF1, and TPIT and can be assessed using immunohistochemistry (Figure 3B-D). Details of this classification are beyond the scope of this case.
Endocrinopathies Resulting From Pituitary Adenoma.
Immunoprofiles of the Functional Pituitary Adenoma Subtypes.
Are All Pituitary Adenomas Functional?
No. Approximately 35% of pituitary adenomas are clinically nonfunctional; that is, without evidence of hormone hypersecretion. They could be completely asymptomatic and identified incidentally in an imaging study. Alternatively, nonfunctioning adenomas may have nonspecific symptoms such as vision abnormalities due to mass effect. A patient with a nonfunctional pituitary adenoma may even develop panhypopituitarism due to compression of normal pituitary cells. 10
Which Syndromes Include Pituitary Adenoma as a Common Manifestation?
Most pituitary adenomas are sporadic. However, they may be found in patients with multiple endocrine neoplasia (MEN) 1 syndrome, Carney complex, McCune-Albright syndrome, and familial isolated pituitary adenoma syndrome. In addition to pituitary adenomas, patients with MEN1 are at increased risk for tumors of the parathyroid and pancreas. The triad of polyostotic fibrous dysplasia, café-au-lait spots, and precocious puberty is also seen in patients with McCune-Albright syndrome. Carney complex can include atrial myxomas, skin hyperpigmentation, and psammomatous melanotic schwannoma. Familial isolated pituitary adenoma is very rare and genetically heterogeneous (the most commonly affected loci are
Diagnostic Findings, Part 4
The patient returns to the office and asks whether the tumor will recur and new treatment options if recurrence occurs.
Question/Discussion Points, Part 4
Which Clinical Features May Predict Recurrence of a Pituitary Adenoma?
Macroadenoma, subtotal resection of the tumor, higher preoperative prolactin levels, and male gender have been shown to correlate with recurrence of hyperprolactinemia. Prolactin levels should be evaluated 6 months postoperatively. High rates of recurrence do occur (approximately 33%), and distant recurrence (after 13 years) may occur. 12
What Are New Treatment Methods for Pituitary Adenoma Based on Precision Medicine?
Peptide receptor radionuclide therapy, vascular endothelial growth factor receptor-targeted therapy, tyrosine kinase inhibitors, mammalian target of rapamycin inhibitors, and immune checkpoint inhibitors have been used recently especially in aggressive pituitary adenomas with a high Ki-67 proliferation index. These treatment options may play a more prominent role in therapy in the future. 13
Teaching Points
Pituitary adenoma is the second most common central nervous system tumor.
Pituitary adenomas are neuroendocrine tumors with varied clinical phenotypes, depending upon the hormone that is produced. The clinically functional tumors are usually microadenomas, described as tumors that are less than 10 mm in size.
Prolactinoma is the most common pituitary adenoma.
The most common clinical symptoms of prolactinoma are galactorrhea, amenorrhea, and infertility in women and impotence and gynecomastia in men.
Prolactinoma usually responds well to cabergoline and bromocriptine. Dopamine agonist resistance or side effects can be indicators for surgery.
The gold standard for diagnosis of pituitary adenoma is resection.
In a pituitary adenoma, there is a loss of the normal lobular architecture of the anterior pituitary, often resulting in sheets and large nests of monomorphic cells with stippled chromatin. Hormone and transcription factor immunostains are important tools for classifying pituitary adenomas.
Footnotes
Declaration of Conflicting Interests
The authors declared no potential conflicts of interest with respect to the research, authorship, and/or publication of this article.
Funding
The author(s) received no financial support for the research, authorship, and/or publication of this article.
