Abstract
Keywords
Primary Objective
Competency 2: Organ System Pathology; Topic: Female Reproductive—Disorders of Pregnancy (FDP); Learning Goal 1: Disorders of Pregnancy.
Patient Presentation
A 19-year-old woman presents with a 1-week history of left lower abdominal pain and vaginal spotting. She is sexually active, and her last menstrual period was 7 weeks ago. She does not use any contraception and has a history of gonorrhea diagnosed 2 years ago.
Diagnostic Findings, Part 1
The patient’s vital signs are normal. On physical examination, she appears uncomfortable and there is left adnexal tenderness, closed cervix, and scant blood in the vaginal vault. The remainder of the physical examination is noncontributory.
Questions/Discussion Points, Part 1
What Is the Differential Diagnosis of an Adnexal Mass in a Reproductive-Age Woman?
The differential diagnosis (see Table 1) includes functional cysts, endometriomas, tubo-ovarian abscesses, and neoplasms. Functional ovarian cysts, such as follicular cysts and corpus luteum cysts, are structures that form following normal ovarian function. Endometriomas are blood-containing cysts that are commonly associated with endometriosis. Tubo-ovarian abscesses are walled-off areas of infection associated with pelvic inflammatory disease. Neoplasms, such as germ cell tumors or yolk sac tumors, can also present as adnexal masses. 2
Differential Diagnosis of an Adnexal Mass in a Reproductive-Age Woman.
Diagnostic Findings, Part 2
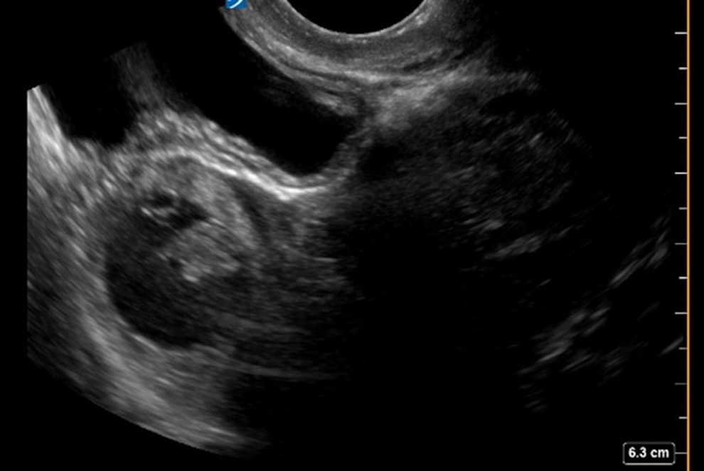
The patient had a positive urine pregnancy test and a serum βhCG resulted at 4979 mIU/mL (negative is <5 mIU/mL). The patient’s transvaginal ultrasound (TVUS) is shown in Figure 1.

Transvaginal ultrasound.
Questions/Discussion Points, Part 2
How Would You Describe the Findings of the Transvaginal Ultrasound?
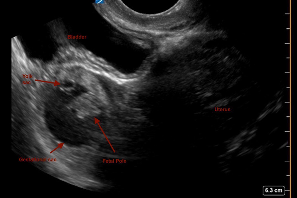
Transvaginal ultrasound of the uterus demonstrates an extrauterine gestational sac and yolk sac with a fetal pole in the left fallopian tube (Figure 2). No fetal cardiac activity was noted.

Transvaginal ultrasound (TVUS) showing ectopic pregnancy, characterized by presence of a yolk sac, gestational sac, and fetal pole in the left adnexa with an empty uterine cavity.
What Is Your Working Diagnosis?
The working diagnosis is an ectopic pregnancy. This is based on the patient’s clinical presentation, history of sexual activity without contraception, history of sexually transmitted illness, lack of menstrual period, elevated serum βhCG, and ultrasound finding of a definitive gestational sac, yolk sac, and fetal pole in the left adnexa, outside of the uterine cavity.
The results of the TVUS and βhCG levels in the right clinical setting are the most useful tools for diagnosing an abnormal or ectopic pregnancy. Once the βhCG crosses the discriminatory level of 3500 mIU/mL, a normal intrauterine pregnancy should be visible within the endometrial cavity. Diagnosis is made if a pregnancy is clearly identified in an ectopic location. If neither a clear ectopic nor clear intrauterine pregnancy are visualized, the provider must consider an early abortion or ectopic pregnancy. In these scenarios, βhCG levels are obtained 2 days after initial evaluation. In a normal pregnancy, βhCG is expected to at least double in 2 days. In an early abortion, βhCG decreases during repeat testing, while in an ectopic pregnancy, βhCG does not rise appropriately. 3 However, it has been noted that ectopic pregnancies do not follow a specific trend or curve when compared to the patterns seen with normal pregnancies or spontaneous abortions. 4 The ability to trend βhCG and observe a patient until a definitive diagnosis is made is based on the patient’s stability.
What Is the Clinical Presentation and Potential Outcomes for an Ectopic Pregnancy?
Ectopic pregnancies are defined as pregnancies occurring outside of the uterus. The presentation varies per patient, including absence of symptoms, but most women present for medical evaluation secondary to abdominal pain, vaginal bleeding, or amenorrhea between 6 and 8 weeks of gestation.5,6 The outcomes are also variable but usually fall within 3 categories: spontaneous abortion, tubal abortion, tubal rupture. The latter is the most concerning outcome. In this scenario, the patient presents with intractable abdominal pain and unstable vital signs secondary to internal hemorrhage. If not recognized and adequately treated, a ruptured ectopic pregnancy can result in hemorrhagic shock and death. Generally, there is an increased risk of ectopic rupture with higher βhCG levels and higher gestational ages, particularly greater than 1500 IU/mL and greater than 6 weeks, respectively.2,3,6,7
What Are Common Locations for an Ectopic Pregnancy and Risk Factors Associated With Them?
The most common location is the fallopian tube, with 98% of ectopic pregnancies found there. Most of these are within the ampulla (80%). 2 Other sites include the abdomen, uterine cesarean delivery scar, ovaries, or cervix. 5
Previous history of an ectopic pregnancy and previous tubal surgery or tubal sterilization are the strongest risk factors for a future episode. A woman with a history of a previous ectopic pregnancy has a 10% chance of recurrence after a single episode. Other risk factors include fallopian tube abnormalities, including scarring from pelvic inflammatory disease, other pelvic surgeries, assisted reproductive techniques, such as multiple embryo transfer and in vitro fertilization, and infertility.3,8 Of note, gonorrhea and chlamydia are 2 common sexually transmitted infections that result in inflammatory damage of the fallopian tubes, leading to scar formation and disruption of their architecture. This physical roadblock interferes with the migration of a fertilized ovum and predisposes women to a tubal pregnancy. 2
What Are the Medical/Surgical Options for Management of an Ectopic Pregnancy?
Management of an ectopic pregnancy is based on patient stability, characteristics of the ectopic mass, desire for future fertility, and understanding of risks and benefits of each therapeutic option. Possibilities include expectant management, medical management, and surgical management, with either a salpingectomy or salpingostomy.
Expectant management is defined as watchful waiting with no medical intervention. Patients qualifying for expectant management are those whom are asymptomatic, have no adnexal mass on imaging, and show signs of resolution, such as a plateaued or decreasing βhCG. Patients’ βhCG must be trended to observe a quantitative decrease. Alternative treatments must be implemented if patients become symptomatic or if βhCG levels rise.3,8
Medical treatment is with 50 mg methotrexate intramuscularly; there are no other medical alternatives or effective routes of administration for this medication. 3 To qualify for medical management, a patient must meet certain criteria: no methotrexate contraindications, including presence of an intrauterine pregnancy or a ruptured ectopic pregnancy, immunodeficiency, bone marrow abnormalities (severe anemia, leukopenia, thrombocytopenia), active pulmonary, renal, liver, or peptic ulcer disease, or currently breastfeeding. The patient must be hemodynamically stable and able to adhere to a strict follow-up surveillance schedule. Relative contraindications include presence of fetal heartbeat, high βhCG levels, or an ectopic mass greater than 4 cm. These have been shown to have an increased risk of treatment failure, especially in the case of a high presenting βhCG level. Currently, there are 3 available dosing schedules: single dose, 2 dose, and multiple fixed dose schedule. They differ by the simplicity of the schedule and side effect profile, but, for the most part, there have been no clinically significant differences found in relation to treatment success.3,8
In hemodynamically unstable patients, surgical management is the only treatment option. It is also the standard of care for those with a ruptured ectopic pregnancy, those who failed methotrexate trial, or those who meet absolute contraindication for methotrexate therapy. Laparoscopy is the least invasive method for surgical management; however, laparotomy is indicated in cases of severe instability, uncontrolled hemorrhage, or inadequate pelvic visualization. Salpingostomy involves the removal of the ectopic mass only, leaving the fallopian tube in place, thus attempting to preserve future fertility. If a salpingostomy is done, follow-up βhCG levels are required to ensure resolution. Salpingectomy is the removal of the affected fallopian tube. There is no consensus on success rates of a salpingectomy versus salpingostomy. Some reports state there is no difference in the frequency of future intrauterine pregnancies or risk of future ectopic ones, while others state the opposite. For this reason, ample discussion with the patient is recommended.3,8
If Salpingectomy Is Pursued, What Is the Histology and Morphology of an Ectopic Pregnancy?
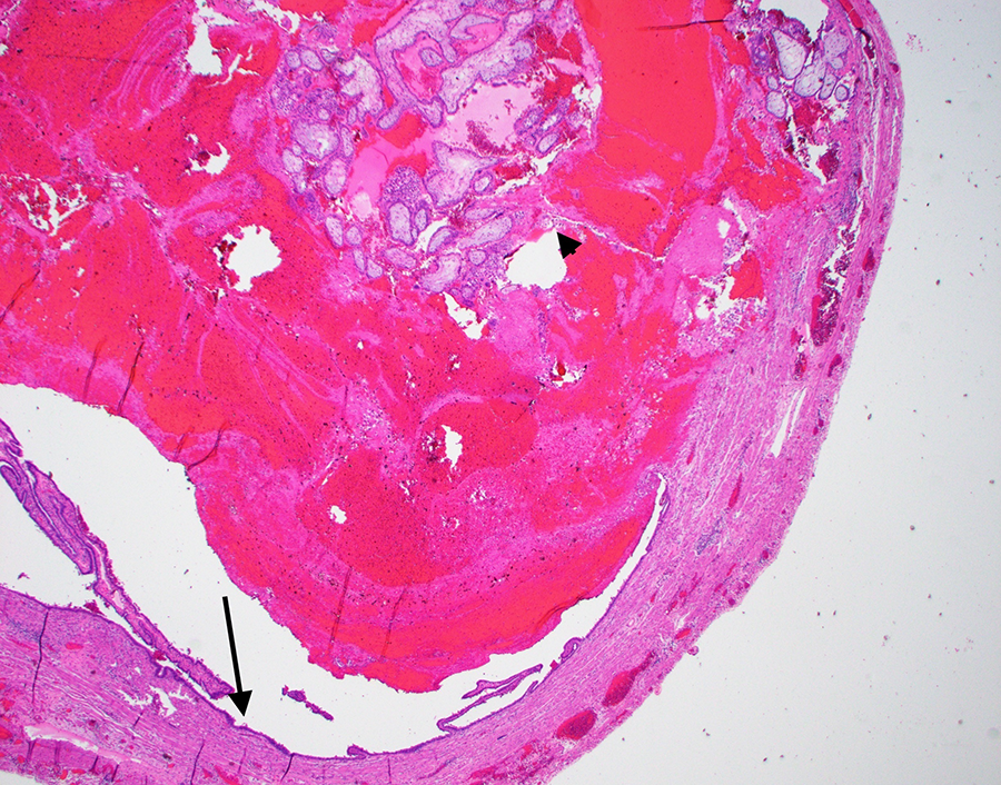
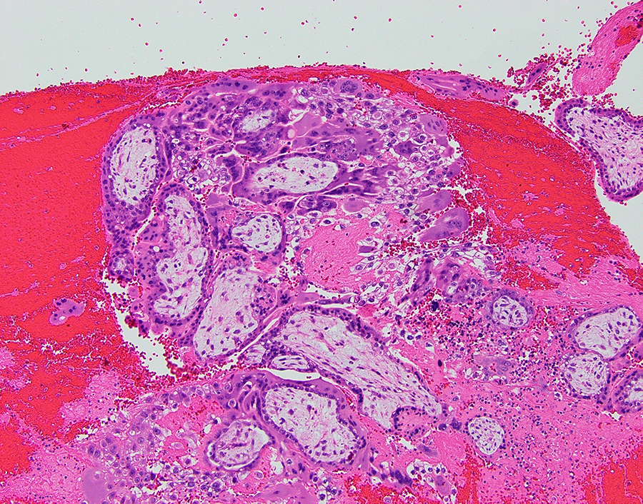
A tubal ectopic pregnancy can be grossly described as a distended fallopian tube with a thin wall, which may be ruptured, with dusky and dark serosa (Figure 3). Sectioning usually reveals hemorrhage with villous-appearing tissue. Fetal parts may be seen occasionally (Figure 4). On histology, chorionic villi associated with the fallopian tube is diagnostic of an ectopic pregnancy (Figures 5 and 6). Hemorrhage within the tubal lumen is often present.

Gross tubal ectopic pregnancy. Serosa is dusky red-purple with prominent vasculature and a small amount of adherent blood clot.

Gross tubal ectopic pregnancy. The dilated portion of the tube contains an intact fetus.

Cross section of fallopian tube diagnostic of an ectopic/tubal pregnancy. H&E-stained section at ×20. Note the fallopian tube epithelium (arrow) and luminal hemorrhage with chorionic villi (arrowhead).

Intraluminal immature chorionic villi with edematous stroma and surrounding trophoblasts. The presence of villi within the fallopian tube is diagnostic of a tubal (ectopic) pregnancy. H&E-stained section at ×100.
Teaching Points
Ectopic pregnancies are pregnancies that occur outside of the uterus, most commonly in the fallopian tube.
The clinical presentation varies but includes abdominal pain, bleeding, and amenorrhea.
The diagnosis involves a positive pregnancy βhCG test and a TVUS showing an empty uterine cavity with a clear ectopic pregnancy. If the ectopic pregnancy is not visualized, βhCG must be trended every 2 days. If it does not double, consideration of an ectopic in an unknown location or an abortion must be made.
The risk of a ruptured ectopic pregnancy increases with increased gestational age and βhCG levels. Rupture may result in hemorrhage and shock and can be lethal if not properly managed.
Management of an ectopic pregnancy is based mostly on patient stability. Options include watchful waiting, methotrexate, or surgical removal of the pregnancy via a salpingostomy or salpingectomy.
Grossly, a tubal ectopic pregnancy appears as a thin-walled fallopian tube with dusky and dark serosa containing a collection of hemorrhagic and villous tissue. Fetal parts may or may not be apparent.
Histologically, the presence of chorionic villi within the tubal epithelium is diagnostic of a tubal ectopic pregnancy.
Footnotes
Declaration of Conflicting Interests
The author(s) declared no potential conflicts of interest with respect to the research, authorship, and/or publication of this article.
Funding
The author(s) disclosed receipt of the following financial support for the research, authorship, and/or publication of this article: The article processing fee for this article was funded by an Open Access Award given by the Society of ‘67, which supports the mission of the Association of Pathology Chairs to produce the next generation of outstanding investigators and educational scholars in the field of pathology. This award helps to promote the publication of high-quality original scholarship in
