Abstract
Musculoskeletal complications secondary to pancreatitis, including polyarthritis, panniculitis, and bone infarction (Pancreatitis Panniculitis Polyarthritis syndrome), are rare and under-recognized. We report a case of a 31-year-old man with alcohol use disorder who initially presented with acute pancreatitis. Two months later, he developed migratory polyarthritis and subcutaneous nodules. Radiographs revealed permeative bone lesions, and MRI demonstrated multiple bone infarcts. Subcutaneous biopsy confirmed panniculitis. His clinical course was complicated by infected pancreatic necrosis and splanchnic vein thromboses. Joint symptoms improved with aggressive treatment of pancreatitis. Early imaging evaluation is essential in patients with pancreatitis and musculoskeletal symptoms. Recognition of bone infarctions and panniculitis should prompt consideration of systemic pancreatic complications.
Introduction
Pancreatitis is a well-known complication of chronic alcohol use. In rare cases, systemic manifestations involving the skin, joints, and bone marrow occur, collectively referred to as PPP syndrome (pancreatitis, panniculitis, and polyarthritis). PPP syndrome carries high morbidity and mortality if not promptly recognized and treated. 1 The pathophysiology is believed to involve systemic release of pancreatic enzymes, particularly lipase, leading to fat necrosis in distant tissues. 2 It can be associated with both acute and chronic pancreatitis, as well as pancreatic carcinoma. In some cases, fistulas between pancreatic pseudocysts and large veins facilitate direct entry of enzymes into the circulation, exacerbating systemic damage. 2 Histologically, affected tissues reveal characteristic features including lobular panniculitis without vasculitis and “ghost adipocytes.” 3
Musculoskeletal manifestations are often misdiagnosed due to their nonspecific presentation. Imaging modalities such as radiography and MRI are pivotal in early diagnosis. We present a case of alcohol-induced pancreatitis with severe musculoskeletal complications, emphasizing the radiologic findings critical for early diagnosis and management.
Case presentation
A 31-year-old man with a history of alcohol use disorder presented with acute-onset epigastric abdominal pain and persistent vomiting. Laboratory evaluation showed elevated serum lipase (1170 U/L). A contrast-enhanced CT of the abdomen demonstrated acute pancreatitis with peripancreatic fluid and fat stranding. He was managed conservatively with intravenous fluids, bowel rest, and analgesia with resolution of the acute episode. Following the initial diagnosis of acute pancreatitis, the patient discontinued alcohol consumption and was advised to maintain strict abstinence.
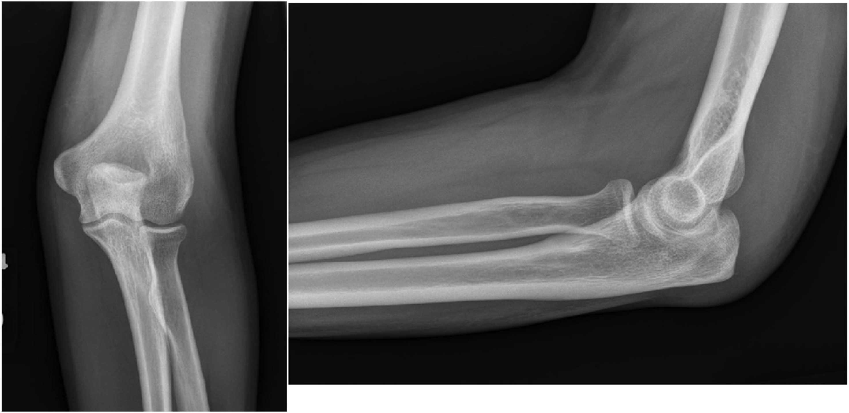
Two months later, he developed new-onset migratory polyarthritis involving the left elbow, bilateral ankles, knees, and small joints of both hands. At this time, the patient did not have any abdominal symptoms. Physical examination revealed joint swelling and tenderness. Radiographs of the right hand (Figure 1) and left elbow (Figure 2) obtained at this time demonstrated only soft tissue swelling, with no radiographic evidence of erosive or inflammatory arthritis, focal bone lesions, or bone infarction. MRI of the left elbow showed posterior subcutaneous and soft tissue edema with associated triceps muscle edema, a small joint effusion and mild bone marrow edema at the olecranon process (Figure 3). Synovial fluid aspirated from the left elbow showed mildly elevated white blood cell count (3000 cells/mm3), but Gram stain, culture, and crystal analysis were negative. Laboratory tests showed elevated ESR and CRP, normal serum uric acid, creatine kinase, and complement (C3 and C4) levels. Antinuclear antibody and rheumatoid factor were negative. Urine tests for Radiographs of the right hand demonstrating soft tissue swelling predominantly about the metacarpophalangeal joints. No osseous erosions, no focal lytic or sclerotic bone lesion. Radiographs of the left elbow demonstrating mild soft tissue swelling at the posterior elbow. No osseous abnormalities. Axial STIR MR images of the left elbow demonstrate subcutaneous edema, triceps muscle edema, small joint effusion and mild bone marrow edema at the olecranon process.


Presumed reactive arthritis was diagnosed, and a three-week prednisone taper was initiated, leading to partial symptom relief.
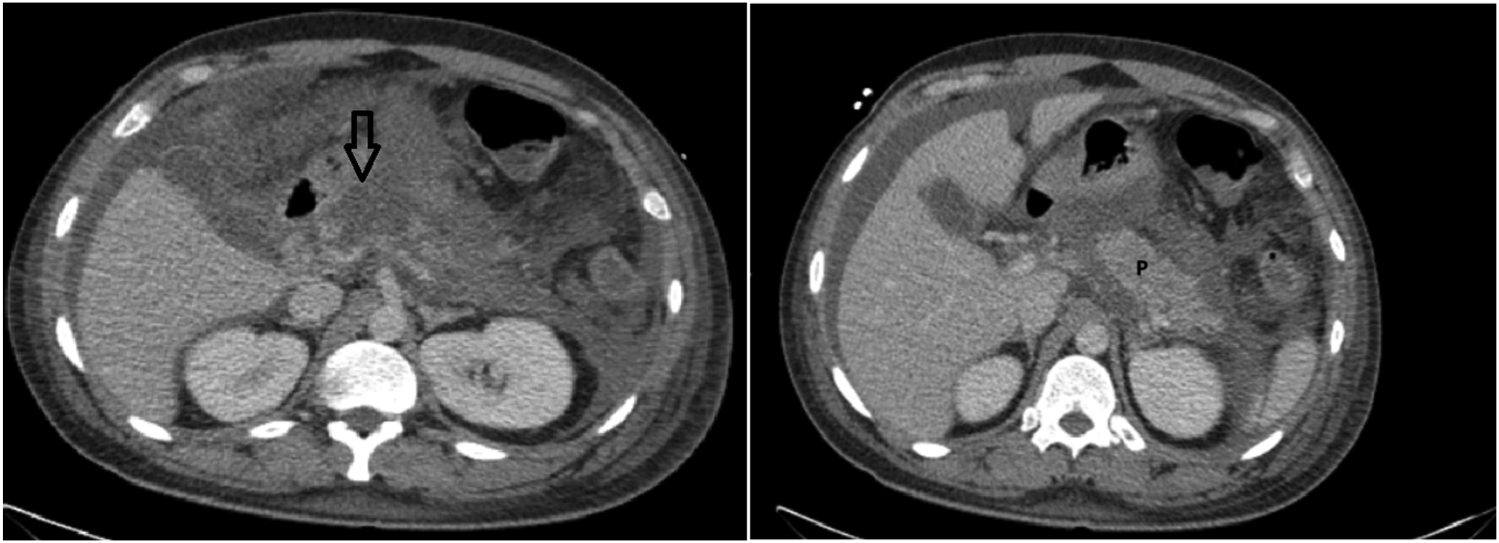
One month later, the patient was readmitted with recurrent abdominal pain, vomiting, fever, and worsening joint symptoms. Examination revealed multiple tender, erythematous subcutaneous nodules over both shins. Serum lipase was markedly elevated (15,000 U/L). Repeat CT of the abdomen revealed extensive pancreatic necrosis with peripancreatic fluid collections (Figure 4). Axial contrast–enhanced CT abdomen demonstrating pancreatic head necrosis (arrow), bulky pancreatic body (P), peripancreatic fluid and ascites.
A biopsy of a subcutaneous nodule demonstrated lobular panniculitis with neutrophilic infiltration, saponification, and ghost adipocytes, consistent with pancreatic panniculitis.
The patient underwent surgical pancreatic necrosectomy and drainage. Blood cultures grew
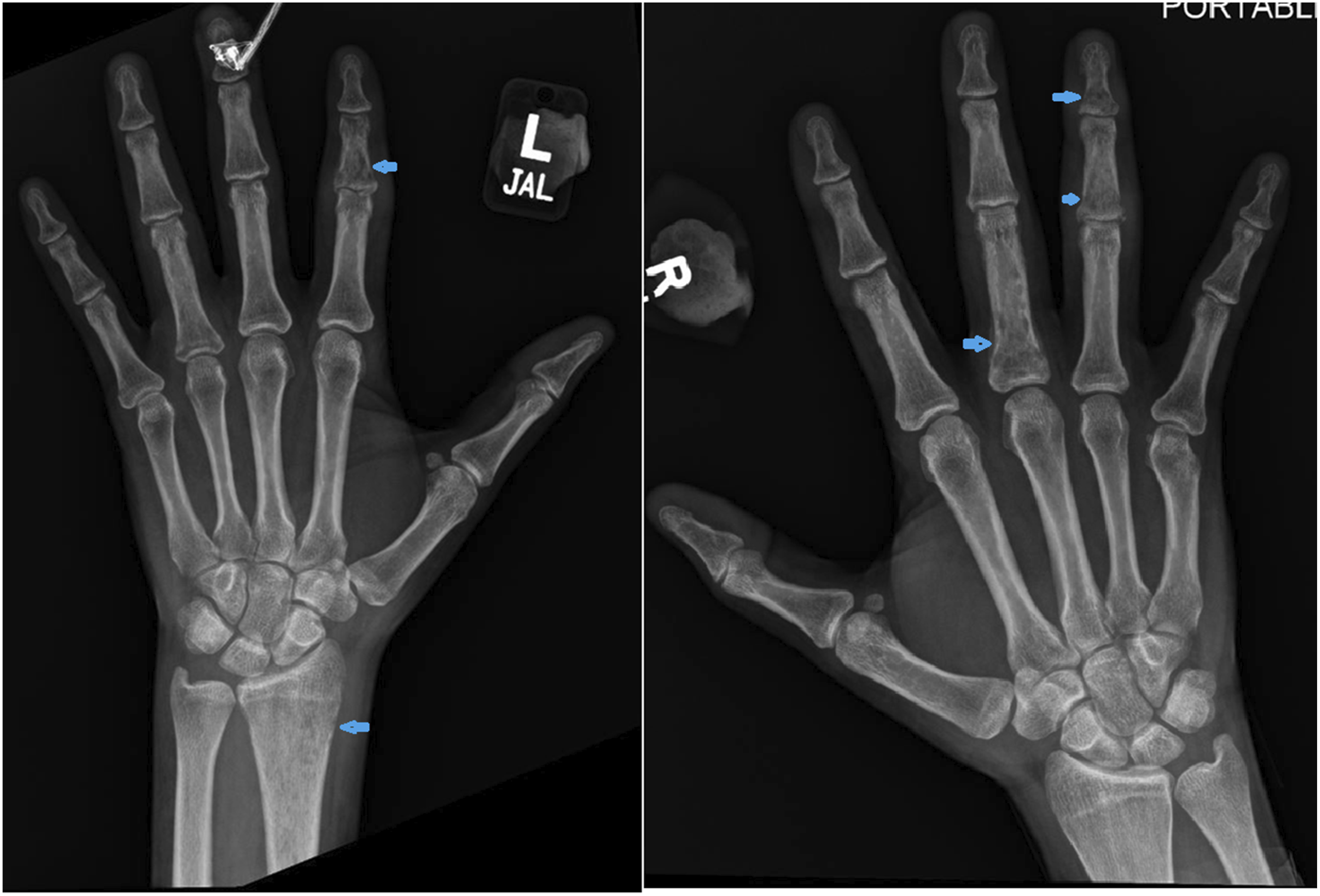
Radiographs of the hands revealed multifocal permeative lucencies involving the distal radius and multiple phalanges (Figure 5), raising concern for systemic arthropathy or osteomyelitis. MRI of the hands showed bone marrow signal abnormalities consistent with multiple bone infarcts (Figures 6–8). Radiographs of the hand showing permeative lytic lesions involving left distal radius and multiple phalanges (blue arrows). (a) Coronal T1W and (b) Coronal STIR MRI of the right hand reveals bone infarcts at the scaphoid and middle finger proximal phalanx. (a) Coronal T1W and (b) STIR MRI of the left hand demonstrates patchy T1 hypointense signal and STIR hyperintense signal abnormality at the distal radius representing ischemic changes. (a) Coronal T1W, (b) Coronal STIR, (c) Axial STIR, and (d) Post contrast T1FS of the left hand demonstrates bone infarct at the ring finger proximal phalanx, and soft tissue edema and enhancement.



Over a course of one month, with aggressive management of pancreatitis and infectious complications, his joint symptoms gradually improved. He was discharged in stable condition with follow-up arranged with gastroenterology, rheumatology, and hematology. For residual joint pain he was prescribed NSAIDs as needed.
Discussion
PPP syndrome is a rare but serious systemic complication of pancreatic disease. It represents a systemic manifestation of pancreatic enzyme release rather than a primary inflammatory or autoimmune process. Hematogenous dissemination of pancreatic enzymes, especially lipase, results in widespread fat necrosis involving subcutaneous tissue, bone marrow, and synovium. 2 Additional enzymes such as phospholipase A2 have also been implicated, contributing to adipocyte membrane destruction and subsequent inflammatory cascades. 4
Polyarthritis in PPP syndrome can mimic a variety of rheumatologic conditions including reactive arthritis, crystal arthropathy, or rheumatoid arthritis, leading to diagnostic delays. This is particularly common when articular symptoms precede abdominal complaints, shifting early diagnostic focus away from pancreatic pathology.1,4,5 The absence of crystals or organisms in synovial fluid, elevated inflammatory markers, and negative infectious workup helped exclude septic arthritis and crystal-induced arthritis in our patient. These findings support an enzyme-mediated mechanism rather than primary synovial inflammation.
Radiographically, bone infarctions may appear as permeative lytic lesions. In our case, multifocal lucencies raised concern for systemic disease. Such findings may mimic osteomyelitis, metastatic disease, or infiltrative marrow disorders, frequently prompting extensive diagnostic evaluation. 5 MRI is more sensitive, demonstrating bone marrow edema and infarcts at earlier stages. These imaging findings correlate with intraosseous fat necrosis resulting from pancreatic enzyme–induced lipolysis of fatty marrow. Recognition of these imaging patterns is essential to differentiate bone infarction from infections. The differential diagnosis for such imaging findings includes sarcoidosis; however, lack of pulmonary involvement and supportive histology favored PPP syndrome. Other marrow-infiltrative conditions such as hematologic malignancy or storage disorders can also be considered but lacked clinical or laboratory support in our case.
The patient’s clinical course was complicated by infected pancreatic necrosis and extensive splanchnic vein thromboses, highlighting the severity of systemic involvement. These complications underscore the profound inflammatory and prothrombotic state that may accompany uncontrolled pancreatic enzyme release. Notably, previous reports have emphasized that treating the underlying pancreatic disease results in resolution of panniculitis and arthritis, 6 which was consistent with the improvement observed in our patient. This reinforces that symptomatic treatment of joint or skin manifestations alone is often ineffective.
Improving outcomes in PPP syndrome relies on early recognition and prompt treatment of both pancreatic disease and systemic manifestations, supported by multidisciplinary collaboration across several subspecialties to address its diagnostic and therapeutic complexity. Given its association with pancreatic malignancy and reported high mortality rates, continued clinical vigilance and appropriate pancreatic surveillance are essential.
Conclusion
Musculoskeletal manifestations of pancreatitis, although rare, can be severe and debilitating. Awareness of PPP syndrome and its characteristic radiologic findings is crucial. Imaging studies, particularly MRI, play a pivotal role in early diagnosis. Timely recognition and management of underlying pancreatic disease are essential for optimal patient outcomes.
Footnotes
Ethical considerations
Institutional Review Board (IRB) approval was not required for this study, as it describes a single case report and does not constitute systematic research.
Consent to participate
Written informed consent for publication of clinical details and images was obtained from the patient.
Author Contributions
SK- acquisition of data, writing original draft, reviewing and editing; CS, GG, MC- conceptualization, reviewing and editing; MC- Validation. All authors approved the final version to be published.
Funding
The authors received no financial support for the research, authorship, and/or publication of this article.
Declaration of conflicting interests
The authors declared no potential conflicts of interest with respect to the research, authorship, and/or publication of this article.
