Abstract
Steroid has recently been reported as a treatment for new coronavirus disease (COVID-19). The incidence of oropharyngeal candidiasis due to the inhaled steroid ciclesonide is lower than that due to other inhaled steroids. We report the first case of oral candidiasis with COVID-19 pneumonia using ciclesonide. A 75-year-old man was hospitalized for COVID-19 pneumonia. After admission, an oral combination of lopinavir/ritonavir was administered, and ciclesonide was inhaled for 7 days. On the 14th day of hospitalization, white plaque was found in his oral mucosa.
Introduction
Immune dysregulation caused by severe acute respiratory syndrome coronavirus 2 (SARS-CoV-2) has been suggested as a causative pathway for oral manifestations in coronavirus disease (COVID-19). 1 Multidrug therapy and invasive treatment may cause a decrease in immune function and worsen oral conditions, especially oropharyngeal candidiasis (OPC). 2 The inhaled steroid ciclesonide has recently been reported as a treatment for new COVID-19. 3 The incidence of OPC due to ciclesonide is lower than that due to other inhaled steroids; 4 however, there are no reports of OPC in patients with COVID-19 pneumonia using ciclesonide. We report a case of oral candidiasis caused by ciclesonide with COVID-19 pneumonia, according to CAse REport (CARE) guidelines, 4 and conduct a literature review.
Case report
The patient was a 75-year-old man patient with a medical history of atrial fibrillation taking warfarin. Fever and impaired consciousness were noted in mid-March 2020, and the patient was transferred to our hospital as an emergency. COVID-19 pneumonia was suspected due to a history of close contact with spouse who had COVID-19, increased fever and respiratory rate, decreased permeability of the right whole lung field on chest X-ray, and accumulation of pleural effusion. He was urgently admitted via the emergency department. A positive polymerase chain reaction test result for COVID-19 was confirmed, and a definitive diagnosis of COVID-19 pneumonia was made. After admission, an oral combination of lopinavir/ritonavir (800 mg/200 mg/ day, twice daily) was administered, and ciclesonide (800 µg/day, twice daily) was inhaled for 7 days. On the 7th day of hospitalization, aspiration pneumonia was observed. On the 14th day of hospitalization, white plaque began to appear in the oral cavity. At the first visit to our department on the 14th day, white plaque was found on both buccal mucosa and the back of the tongue, but there was no oral pain or dysgeusia.

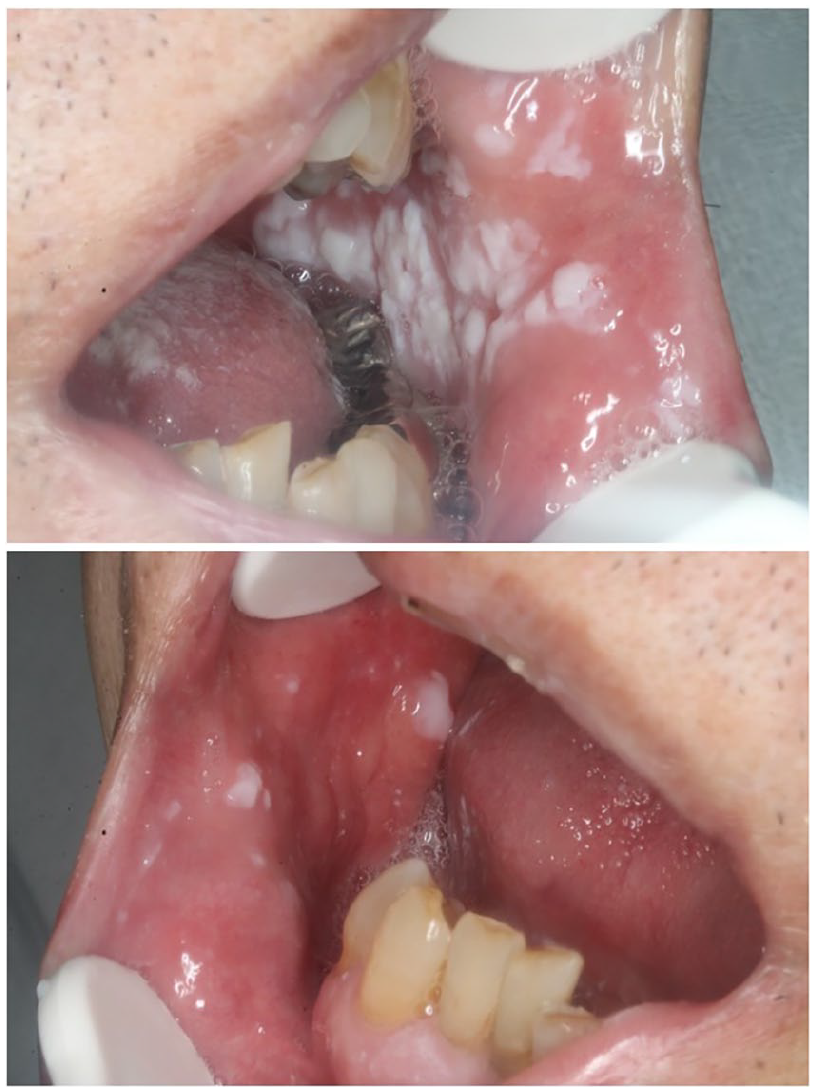
Oral candidiasis in a patient with COVID-19 14 days after admission. White plaque on the tongue and buccal mucosa is visible.

Oral candidiasis in a patient with COVID-19 (35 days after admission) after oral treatment. The white plaque on the oral mucosa is no longer visible.
Discussion
A literature review of oral candidiasis in COVID-19 patients was carried out from inception to August 2021. Inclusion criteria comprised cases diagnosed as oral candidiasis and COVID-19 patients, affecting the population aged more than 20 years. Two criteria were used: (1) clinical manifestations and associated systemic findings, and (2) delivered treatment in oral candidiasis. The following databases were assessed: PubMed (National Library of Medicine) and Web of Science (Thomson Reuters). The search was performed in August 2021 using the following keywords: [(COVID-19) AND (oral) AND (candidiasis)]. The electronic searches yielded 32 articles (PubMed = 20 and Web of Science = 12). Following the removal of 12 duplicates, inclusion and exclusion criteria were applied on 20 articles. In this mini-review, six articles were selected. And we also searched for related articles in the reference lists of these articles. Finally, we selected nine articles involved with 91 cases (Table 1).1,5–12 The included studies originated in seven countries: Iran (53 cases), Italy (28 cases), Czech Republic (4 cases), Greece (2 cases), Brazil (2 cases), Colombia (1 case), and Spain (1 case). There was no article that originated in Asia. Most cases had white membranous patches on the tongue dorsum as oral clinical manifestations. Most patients had burning sensation and/or pain in oral area. As the associated systemic findings, some of the patients were complicated by candidiasis in the esophagus and vagina. Topical antifungal agents were prescribed for oral candidiasis in COVID-19 patients. Nystatin, fluconazole, and miconazole were often used. This case had a history of atrial fibrillation and so it was unable to use azole antifungal drugs because he was taking anticoagulants (warfarin). Therefore, we chose amhotensin B as the antifungal agent.
Characteristics of COVID-19 patients with oral candidiasis in adult.
COVID-19: coronavirus disease; F: female; NA: not available; M: male.
Ciclesonide is an inhaled corticosteroid that is converted in the lungs to its active metabolite, desisobutyryl-ciclesonide, which produces a strong antiviral effect at the alveoli. It has been reported that the deposition and activation of ciclesonide in the oropharynx are low, and the incidence of local side effects is low.13–15 The incidence of oral candidiasis is considered to be the lowest among inhaled steroids.14–16 As in this case, elderly patients with COVID-19 pneumonia with underlying diseases may develop fungal infection due to the compromised status. According to a recent report, 17 the risk factor of COVID-19 patients with fungal co-infection, for example, oral candidiasis, was the prolonged use of antibiotics. Therefore, appropriate antimicrobial stewardship interventions specific for the COVID-19 pandemic are urgently required. 18
The most common fungal infection of the oral cavity is candidiasis. Other fungal infections include aspergillosis, cryptococcosis, histoplasmosis, and others. 19 Oral fungal infections are rare, but they are associated with discomfort, including dysgeusia, pain, and redness. Once a fungal infection is confirmed, it is easy to treat it accordingly. Intraoral monitoring and intervention by dental care workers are considered important for the prevention of infectious complications induced by corticosteroids.
Conclusion
Oral candidiasis associated with COVID-19 patients is not common but may occur due to immune dysregulation or prolonged use of antibiotics. Intervention by dental care workers from the early stage of onset may be effective in preventing complications. It is important to promote medical and dental cooperation to provide safe and secure medical care.
Footnotes
Author contributions
N.O., Y.I, A.T., T.I, M.K., and K.M. were responsible for the treatment and care of the patient. N.O., Y.I, A.T., T.I, M.K., and K.M. drafted the original manuscript. N.O. was involved in the conception of this report. All authors critically reviewed this report. A.M. contributed to the final drafting of the manuscript. All authors have read and approved the final manuscript.
Declaration of conflicting interests
The author(s) declared no potential conflicts of interest with respect to the research, authorship, and/or publication of this article.
Ethical approval
Our institution does not require ethical approval for reporting individual cases or case series.
Funding
The author(s) received no financial support for the research, authorship, and/or publication of this article.
Informed consent
Written informed consent was obtained from the patient for their anonymized information to be published in this article.
