Abstract
Renal cell carcinoma, the most common renal neoplasm, often goes undetected since it typically remains asymptomatic. In some cases, renal cell carcinoma invades the renal vein and infiltrates the inferior vena cava. Understanding of this natural history will enable sonographers to evaluate a patient further when a thrombus in the inferior vena cava or renal vein is visualized. This case report presents a renal cell carcinoma that was incidentally detected secondary to a thrombosed inferior vena cava and validates the importance of evaluating the kidneys in such cases.
Introduction
Renal cell carcinoma (RCC) is the most common renal neoplasm. 1 Although renal cell carcinoma may produce symptoms, it can often be asymptomatic and therefore go undetected, particularly early in its development. In 4% to 10% of RCC cases, there is tumor thrombus invasion into the renal vein and/or the inferior vena cava. 2 The following case report demonstrates the important role of sonography in detecting renal cell carcinoma and the importance of evaluating the kidneys when a thrombus is detected in the renal vein or inferior vena cava.
Case Report
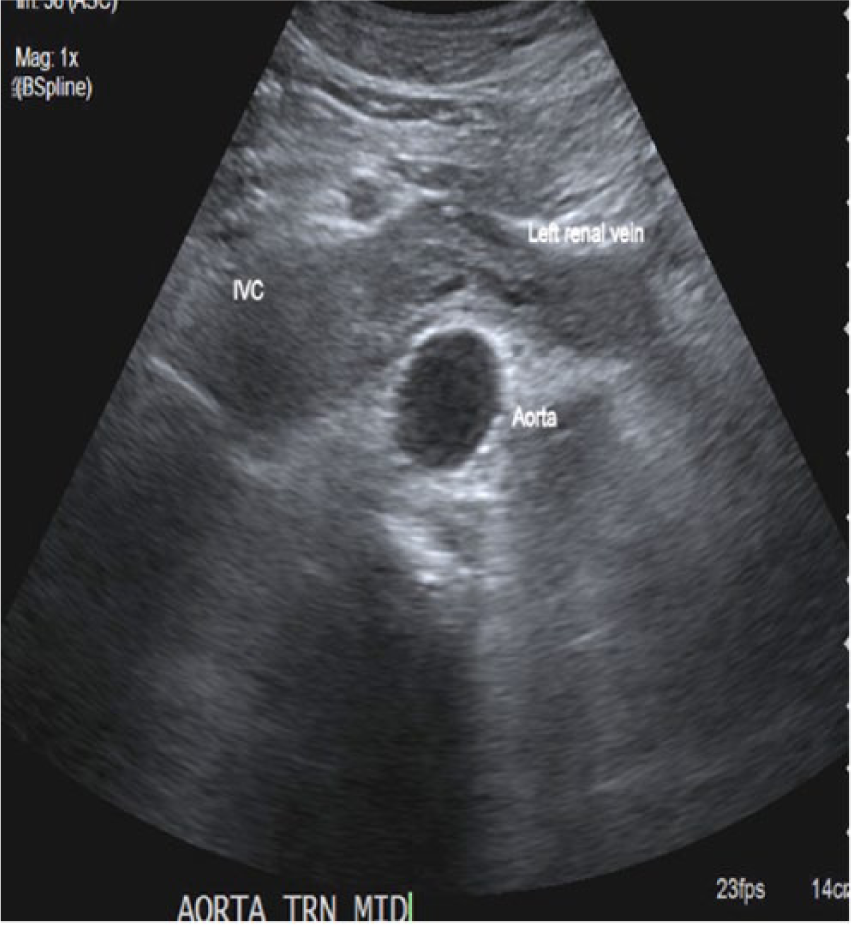
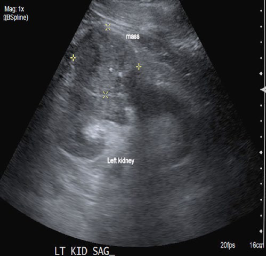
An elderly man in his early seventies was referred to the hospital as an outpatient to undergo an abdominal aortic aneurysm (AAA) screening. The patient had a history of smoking for 20 years. The sonographic examination was performed on an Acuson 2000 ultrasound system (Siemens, Washington, DC), with a curved array C5-2 probe (2-5 MHZ bandwidth). Sonographic findings showed no evidence of an AAA. Velocities and Doppler waveforms throughout the abdominal aorta were normal and showed no significant stenosis. During the examination, the sonographer observed echogenic material in the area of the inferior vena cava (IVC). Upon further examination, the IVC appeared to be thrombosed (Figures 1 and 2). Color Doppler imaging was used to confirm that the IVC was partially obstructed (Figure 3). A transverse view of the IVC and aorta also showed a thrombus in the left renal vein (Figure 4). This prompted the sonographer to extend the examination to the left kidney where a partially exophytic mass located on the anterior/superior portion of the left kidney was seen (Figures 5 and 6). The mass measured 5.43 cm long, 5.31 cm wide, and 4.30 cm anterior-posterior (AP) dimension. Color Doppler imaging showed significant vascularity within the mass (Figure 6). The findings were suspicious for renal cell carcinoma, and the patient shortly thereafter had additional testing with a computed tomography (CT) scan of the abdomen and pelvis with contrast. The CT scan confirmed a mass in the left kidney with direct tumor extension into the left renal vein. A thrombus was seen in the IVC both above and below the level of the renal veins. However, it could not be determined by imaging if the thrombus was related to bland thrombus rather than tumor thrombus. Also noted in the CT findings were prominent venous collaterals in the retroperitoneal region centrally and on the left. The patient had a complete left nephrectomy, and the placement of an IVC filter was also performed. The pathology report confirmed a 6.0 cm multifocal renal cell carcinoma with a large tumor extension into the left renal vein. The tissue histology using a hematoxylin and eosin stain showed a Fuhrman Grade 3 tumor, and the cancer was noted to be of a conventional clear cell type, which is the most common.

Transverse view of the abdominal aorta and inferior vena cava (IVC), showing the thrombus in the IVC.

Longitudinal view of the inferior vena cava showing the thrombus.

Longitudinal color Doppler image of the inferior vena cava showing the flow defect created by the thrombus.

Transverse view of the abdominal aorta showing thrombus in left renal vein extending into the inferior vena cava.

Longitudinal view of the left kidney. A partially exophytic mass is seen in the anterior/superior portion.

Longitudinal color Doppler image of the left kidney, which shows significant flow within the mass.

Cross-sectional computed tomography image showing the thrombus in the inferior vena cava (IVC) and the mass on left kidney.
Discussion
The impact of renal cell carcinoma is significant. It represents 2% to 3% of all adult malignancies and has become the seventh most common cancer in men and the ninth most common cancer in women. 3 Risk factors include cigarette smoking, obesity, hypertension, and persons with advanced kidney disease. There are hereditary risk factors as well, including von Hippel-Lindau disease, tuberous sclerosis, and papillary renal cell carcinoma. 4
Even with known risk factors, RCC often goes undetected. Common symptoms such as flank pain, hematuria, and a palpable abdominal mass are present in only 10% of all RCC cases. 5 Of all RCC cases, 48% to 66% are found incidently.5,6 Radiological imaging such as sonography, CT scan, and magnetic resonance imaging (MRI) become increasingly important in the detection of RCC. Compared to other imaging modalities, sonography may lead this group in the initial detection of RCC because of its widespread use for abdominal, pelvic, and retroperitoneal examinations. Patients are frequently referred by their primary care physicians for a sonographic examination, for a wide variety of indications and medical conditions; if any of these conditions warrant an abdominal sonogram, the opportunity to detect asymptomatic RCC exists.
Sonographically identifying RCC is not always easy. Renal cell carcinoma may appear with many different echogenicites. The majority of tumors are isoechoic (86%), 7 and a small number are hypoechoic. Smaller tumors (<3 cm) often appear hyperechoic, which makes it challenging to distinguish them from benign angiomyolipomas.1,7 Renal cell carcinoma may also contain cystic components as well as calcifications. To help distinguish a benign tumor from a malignant one, the use of color Doppler imaging can prove useful. In 92% of RCC cases, vessels within the tumor and/or the vascular ring produced by the mass effect (basket sign) can be visualized. 1
Another characteristic of RCC is invasion or extension into the renal vein and/or the inferior vena cava. This occurs in 4% to 10% of RCC cases. 2 Careful evaluation of the renal vein and inferior vena cava should always be considered when RCC is suspected. Similarly, if a thrombus in the IVC is initially visualized, the sonographer should evaluate the kidneys and surrounding organs. In addition to RCC, a thrombus within the IVC can also be caused by lower extremity deep vein thrombosis (DVT), pancreatic carcinoma, hepatic adenocarcinoma, adrenal carcinoma, Wilms tumor, and metastatic disease in the lymph nodes (directly from ovarian, cervical, or prostatic cancer). 8
Although there are some studies that indicate that involvement of the IVC may have an impact on survival rates, other studies claim that it has minimal impact. 2 Most studies show that the prognosis is dependent on whether RCC has metastasized. Five-year survival rates for patients diagnosed with RCC as well as a tumor thrombus within the IVC are 85.9% without metastasis and 63.3% with metastasis. Treatment options for RCC can vary. However, since chemotherapy and radiation are not effective in treating RCC, 5 radical nephrectomy of the affected kidney is almost always preferred. In some cases where the tumor measures less than 7 cm, partial nephrectomy may be considered.
Conclusion
With the increasing frequency of abdominal imaging in a variety of health care settings, sonographers have the opportunity and potential for incidental findings of life-threatening diseases such as renal cell carcinoma. It is important to recognize that RCC typically is asymptomatic and often has gone undetected for some time. Sonography can play a key role in the early detection of renal cell carcinoma when curative treatment can be given. Even when performing limited examinations, it is important for the sonographer to consider the possibilities of malignant disease if a thrombus is detected within the IVC. The case study presented provides a good example of this. While the original task for the sonographer was evaluation of the patient’s abdominal aorta, careful observation of associated findings and a high level of clinical suspicion led to the incidental finding of renal cell carcinoma, and this finding likely contributed to increased longevity of the patient.
Footnotes
Acknowledgements
The author would like to thank Sara J. Salvesen, RDMS, and the Diagnostic Medical Sonography Department at Mission Hospital, Mission Viejo, CA, for providing images for this article. Special thanks to Tim S. Gibbs, BSDMS, RT(r,f), RDMS, RVT, CTNM, and Cynthia Reber-Bonhall, BS, RDMS, RVT, for their guidance, support, and encouragement on submitting this article.
Declaration of Conflicting Interests
The author declared no potential conflicts of interest with respect to the research, authorship, and/or publication of this article.
Funding
The author received no financial support for the research, authorship, and/or publication of this article.
