Abstract
Sarcomatoid renal cell carcinoma is an uncommon and aggressive renal tumor with rapid disease progression. A median survival time is only 4-9 months after diagnosis. Osteogenic differentiation is a rare feature of the tumor. Here, we present a case of renal cell carcinoma with sarcomatoid feature and osteoid differentiation, and papillary renal cell carcinoma metastasis in a 58 year-old African-American male. This is the first reported renal cell carcinoma case with the combination of sarcomatoid feature, osteoid differentiation, and papillary renal cell carcinoma metastasis.
Keywords
Introduction
Renal cell carcinoma (RCC) includes several distinct histologic subtypes. Sarcomatoid renal cell carcinoma (sRCC) is not a separate subtype and can occur with all subtypes. It is the common pathway of a transformation of different subtypes of RCC and usually aggressive and associated with a poor prognosis. Although sRCC represents only about 5% of RCCs, it can account for approximately 1 in 6 cases of advanced kidney cancer. 1 The neoplasm is histologically characterized by atypical spindle cells, high cellularity, and resembling malignant fibrous histiocytoma or fibrosarcoma. Occasionally, osteoid or chondroid differentiation can be seen.2-4
We describe a case of sRCC with osteoid differentiation and the metastasis in a hilar lymph node with papillary RCC (PRCC) with psammoma bodies, in a 58-year-old African American male. We believe this is the first reported RCC case with the combination of sarcomatoid feature, osteoid differentiation, and PRCC metastasis.
Clinical History
The patient was a 58-year-old African American male. He presented with worsening severe abdominal pain and a left renal mass. The patient had lost a tremendous amount of weight and also had gross hematuria. The computed tomography (CT) of the abdomen and pelvis with contrast showed a large mass (11.1 × 12.0 × 11.3 cm3) located at the superior pole of the left kidney. The mass demonstrated enhancing septations and enhancing nodular component. The findings were concerning for RCC. The radical left nephrectomy was performed after the embolization of the left kidney.
Case Report
Gross and microscopic findings
The left kidney was tan-red, distorted, and enlarged (960 grams, 17.9 × 14.2 × 8.6 cm3). There was a capsular disruption adjacent to the hilum posterior side (Figure 1), measuring 7.6 × 5.2 cm2. After the kidney was bisected, the cut surface showed a tan-pink, yellow, hemorrhagic, and friable tumor area. The tumor grossly extended to capsule, cortex, medulla, pelvis, and hilar lymph node. It occupied about 85% of the cut surface and measured 14 × 10.2 × 8.2 cm3 (Figure 2). Normal tissue was identified only in the lower pole of the kidney.

Capsular disruption adjacent to the hilum.

Tumor occupies about 85% of the cut surface of the bisected kidney.
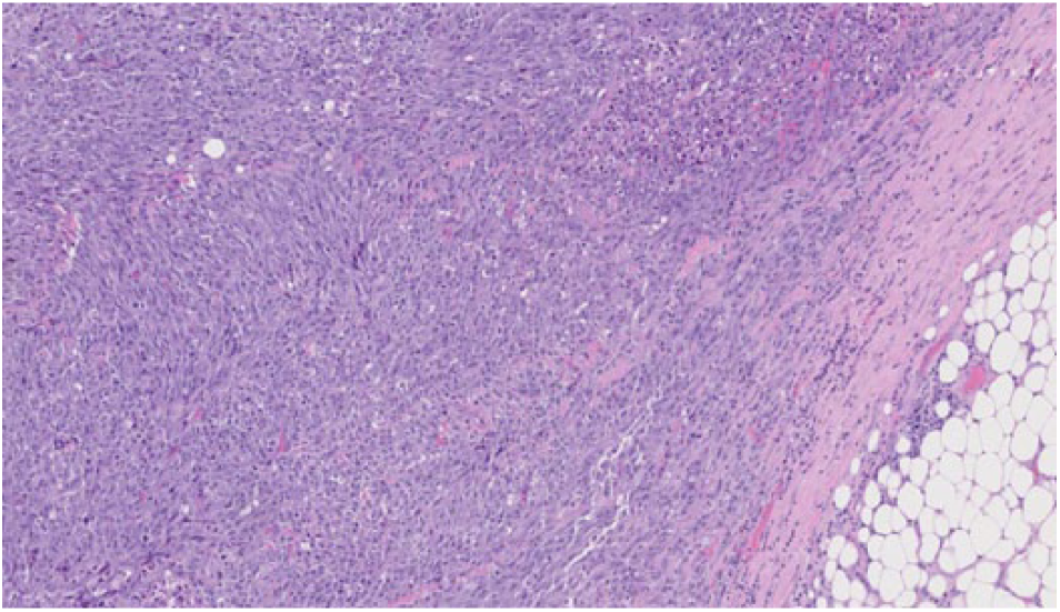
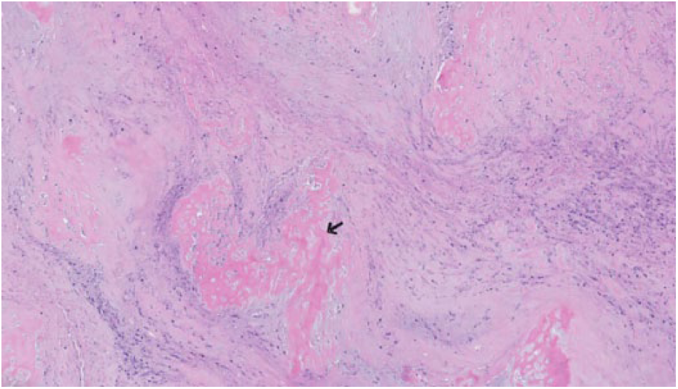
The microscopic examination of the kidney tumor revealed sheets of atypical spindle cells with abnormal mitotic figures, nuclear pleomorphism, and areas of necrosis compatible with sRCC (Figure 3) with osseous metaplasia (Figure 4). The tumor disrupted the renal capsule and extended to the posterior tissue resection edge. A hilar lymph node was positive for metastatic carcinoma. The metastatic tumor showed papillary architecture with abundant eosinophilic cytoplasm, high-grade nuclei, prominent nucleoli with necrosis, and psammoma bodies consistent with type 2 (eosinophilic) PRCC (Figure 5). The RCC tumor thrombus and venous and lymphatic invasion were identified. Ureterovascular margins were negative for malignancy. The adrenal gland, spleen, pancreas, and bowel were also negative for malignancy.

Sarcomatoid spindle cells.

Osseous metaplasia (arrow).

Papillary RCC with psammoma bodies.
Immunohistochemical stains showed that the sarcomatoid renal cell tumor was CK7 negative. Renal cell carcinoma marker (RCC Ma), CD10, and vimentin were positive and carbonic anhydrase IX (CAIX) was focally positive (Figures 6-10). The immunohistochemical stain findings were suggestive of clear cell RCC with sarcomatoid changes or pure sRCC, while the metastatic tumor in the hilar lymph node was positive for CK7, RCC Ma, CD10, and vimentin and focally positive for CAIX (Figures 5-9) which was more compatible with PRCC.

CK7 stain negative in sRCC (arrow) and positive in PRCC (circle).

RCC Ma stain positive in both sRCC (arrow) and PRCC (circle).

CD10 stain positive in sRCC (arrow) and focally positive in PRCC (circle).

CAIX stain focally positive in sRCC (arrow) and PRCC (circle).

Vimentin stain positive in sRCC (arrow) and PRCC (circle).
Discussion
Sarcomatoid renal cell carcinoma is an uncommon renal tumor, and osteogenic differentiation is a rare feature. Sarcomatoid renal cell carcinoma often has an aggressive clinical course characterized by rapid disease progression and a median survival time of only 4 to 9 months after diagnosis. The tumors are often large, with a mean size of 9 to 10 cm, and about 90% of cases have symptoms at presentation. The incidence of the metastatic disease is very high at the time of the presentation, with 45% to 84% having evidence of systemic disease.5-7 Metastases occur at similar locations as with other renal tumors, with the most common sites of the distant disease being the lungs, bone, nodes, liver, and brain. 7
In our case, the patient had severe abdominal pain, weight loss, and hematuria at presentation. The surgical specimens showed that the tumor was large and one lymph node was found to be positive for metastatic tumor. The progression of the disease was rapid. The patient died 2 months after the surgical procedure due to widespread metastasis on bilateral lungs, mediastinal, hilar lymph node, liver, pancreas, gastric, intestinal serosa, mesentery, and right adrenal gland.
A review of immunohistochemistry (IHC) staining of sRCCs by DeLong and colleagues 8 showed that the sarcomatoid component expresses cytokeratin AE1/AE3 and vimentin in 97% and 56% of cases, respectively. Immunohistochemistry for other epithelial and mesenchymal markers may distinguish sRCC from sarcoma. Classic markers that are frequently used in mesenchymal tissue and sarcomas, such as desmin and actin, are infrequently expressed in sRCCs. In our case, the sarcomatoid component completely replaced the original tumor. Sarcomatoid histology in a kidney mass is not considered as a distinct entity but more as a dedifferentiation process from the primary RCC. 9 The immunohistochemical stains with positive CD10, vimentin, and RCC Ma suggest that the original tumor could be clear cell carcinoma or pure sarcomatoid tumor. However, the metastatic tumor to the lymph node showed papillary features compatible with type 2 (eosinophilic) PRCC which raised the possibility that the original tumor was a PRCC that got completely dedifferentiated and transformed to sRCC.
Sarcomatoid renal cell carcinomas have spindle-like cells, high cellularity, and cellular atypia. The histologic patterns can be similar to fibrosarcoma or malignant fibrous histiocytoma; however, osteoid or chondroid differentiation has been described.2-4 These uniform patterns of sarcomatoid differentiation and the degree of pleomorphism do not appear to influence clinical behavior.3,5 Additional high-risk tumor characteristics such as necrosis and microvascular invasion are present in 90% and 30% of cases, respectively.2,5 In our case, the microscopic examination of the kidney revealed sRCC with osseous metaplasia, necrotic areas, and lymphovascular invasion.
In conclusion, sRCC is an uncommon renal tumor. The osteogenic differentiation is rare and has been reported in only a few of these tumors. 4 As the research on sRCC is limited, the progress in understanding and treatment of these tumors is minimal. 1 Recent molecular study of sRCC may contribute to forming effective treatment strategies. 10 Our case is a sRCC with osseous differentiation and papillary renal cell metastasis. We believe this is the first report with such a combination. Therefore, this case report is valuable for future research on this uncommon disease.
Footnotes
Declaration of Conflicting Interests:
The author(s) declared no potential conflicts of interest with respect to the research, authorship, and/or publication of this article.
Funding:
The author(s) received no financial support for the research, authorship, and/or publication of this article.
Author Contributions
GG diagnosed the case and conceived the case report. HZ contributed the data and was primarily responsible for preparing the drafts of the case report. NM and RS contributed the data. All authors approved the final version of the manuscript.
