Abstract
Primary Objective
Objective
Competency 2: Organ System Pathology; Topic: Nervous System: Central Nervous System (NSC); Learning Goal 1: CNS Neoplasia.
Patient Presentation
A 15-month-old female infant is brought to the emergency department by her parents given worsening left-sided hemiparesis, irritability, and poor appetite. The patient is a full-term infant and has had no previous significant medical history. She has been developing appropriately and has met all of her milestones. Per Mom, she noticed that the patient was limping approximately 2 days ago and started to favor using her right side. Yesterday, the family noticed that there was weakness in the left arm as well. The family denies any reported injury, trauma, or preceding illness.
Diagnostic Findings, Part 1
On physical examination, the infant appears well-developed, well-nourished, and in no acute distress. Her head is normocephalic and atraumatic. Pupils are equal, round, and reactive to light. She exhibits normal neck range of motion and no neck rigidity. Cardiovascular examination exhibits a normal rate and regular rhythm. Pulmonary examination demonstrates normal effort and breath sounds with no respiratory distress. Her abdomen is soft and nontender. Musculoskeletal examination shows no pain with passive range of motion of left shoulder, elbow, wrist, hand, hip, knee, ankle, or toes. Neurological examination demonstrates grossly normal visual fields, no facial asymmetry, and no sensory deficit. The patient has decreased strength and hypotonia of the left elbow, wrist, fingers, knee, ankle, and toes. She only minimally withdraws her left upper extremity and left lower extremity in response to a painful stimulus. There is normal bulk, strength, and tone in the right upper extremity and right lower extremity. The Glasgow coma scale (https://www.glasgowcomascale.org/) eye subscore is 4, verbal subscore is 5, and motor subscore is 6.
Questions/Discussion, Part 1
What Causes Acute Weakness in Children?
Weakness is a decreased ability to move muscles against resistance. There are many causes of weakness in children that can be divided into neurologic, infectious, endocrine, inflammatory, congenital, metabolic, or drug-induced. Based on the history, one can narrow down the differential. Acute onset is usually associated with infection or a neurologic cause. Subacute onset suggests an inflammatory, drug, or metabolic issue. Chronic progressive weakness is classically associated with genetic and metabolic myopathies.
Given the patient’s acute clinical presentation and progressive weakness, it is suggestive of a neurologic process. Infectious etiologies can also cause acute weakness but are usually associated with generalized muscle weakness and symptoms of infection including fever, chills, and fatigue. Since the weakness occurred over a couple of days, a metabolic and inflammatory issue should also be considered. Children are especially vulnerable to electrolyte imbalances given their small size and fast metabolism.
What Are the Central Nervous System Conditions/Diseases That Can Cause Weakness?
The cause can be anywhere in the motor system from the upper motor neuron down to the lower motor neuron and skeletal muscle. Hemispheric causes of weakness include intracranial hemorrhage, head trauma, stroke, and brain tumors. Damage at the level of the spinal cord may be the result of trauma, tumor, epidural abscess, or autoimmune disease causing transverse myelitis. Lower motor neuron damage in children can be the result of a genetic mutation (eg, spinal muscular atrophy) or infections (eg, poliovirus). Conditions affecting the peripheral nerve include Guillain-Barré syndrome, heavy metal poisoning, or other acquired peripheral neuropathy. The function of the neuromuscular junction may be impaired because of botulism, myasthenia gravis, organophosphate poisoning, tick paralysis, or congenial myasthenic syndromes. Conditions affecting the muscle include rhabdomyolysis and viral myositis.
How Should the Patient be Worked Up?
The patient should get neuroimaging either a computed tomography or magnetic resonance imaging (MRI) scan. A basic metabolic panel (BMP) should be ordered to rule out any electrolyte abnormalities. A creatinine kinase is useful in ruling out myositis. A complete blood count (CBC), C-reactive protein (CRP), and erythrocyte sedimentation rate (ESR) are useful in determining whether there may be an immune-mediated process causing the weakness.
Diagnostic Findings, Part 2
Describe the Radiologic Features in Figure 1
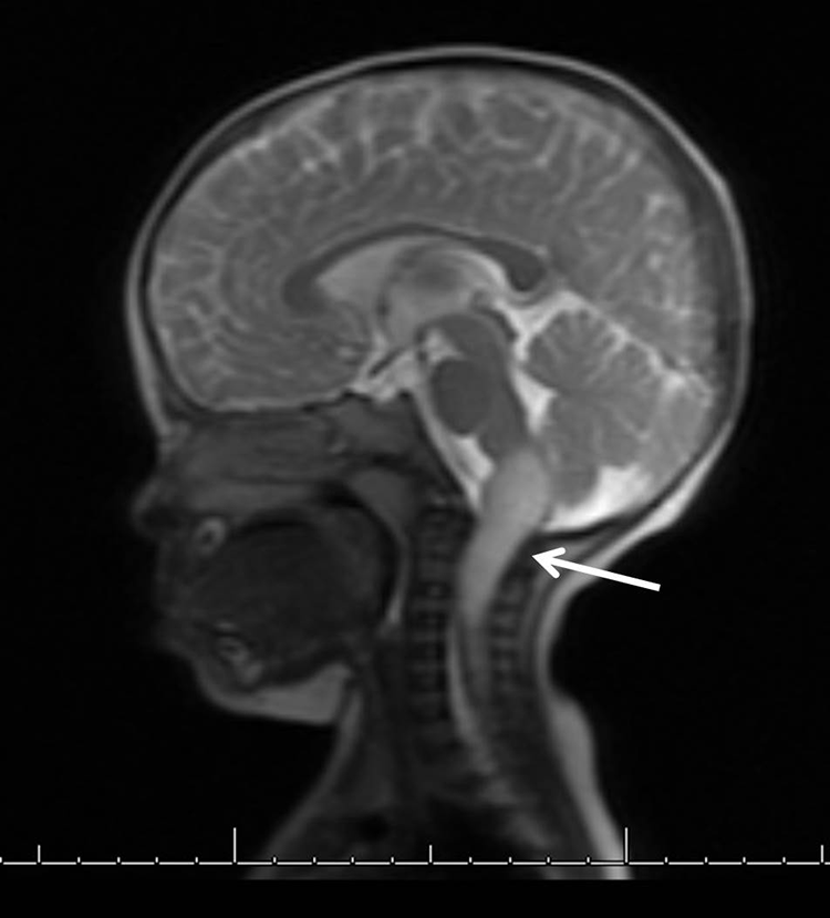
Chest X-ray, left lower extremity X-ray, and hip ultrasound are normal. A BMP, CBC, CRP, and ESR are normal. Computed tomography imaging of the head demonstrates an incompletely imaged expansile lesion involving the medulla/upper cervical spinal cord. Follow-up MRI of the brain confirms an intraparenchymal expansile mass (4.6 × 1.9 × 1.9 cm) with T2 hyperintensity and heterogeneous enhancement in the medulla extending inferiorly into the cervical cord to the upper C4 level (Figure 1). The imaging studies are negative for other lesions.

Sagittal T2 brain MRI with an intraparenchymal mass highlighted by the white arrow. MRI indicates magnetic resonance imaging.
Questions/Discussion, Part 2
What Is the Epidemiology of Brain Tumors in Childhood?
According to the Central Brain Tumor Registry, approximately 4000 brain tumors are reported in children and adolescents (0-19 years) in the United States (http://www.cbturs.org/). Data from the American Cancer Society in 2016 demonstrated that brain tumors accounts for about 26% of childhood cancers (0-14 years) and 20% of adolescent cancers (15-19 years), and it has become the leading cause of cancer-associated death among children and adolescents. 2
What Are the Common Primary Brain Tumors of Childhood?
Several brain tumor types can occur in childhood including astrocytomas, ependymomas, medulloblastomas and other embryonal tumors craniopharyngiomas, and germ cell tumors. Approximately 50% of brain tumors in children and adolescents are gliomas. Gliomas encompass a broad category of brain tumors that are derived from glial cells (ie, astrocytes, oligodendrocytes, and ependymal cells) of which astrocytomas are the most common. 2
Diagnostic Findings, Part 3
Describe the Histologic Features in Figures 2-4
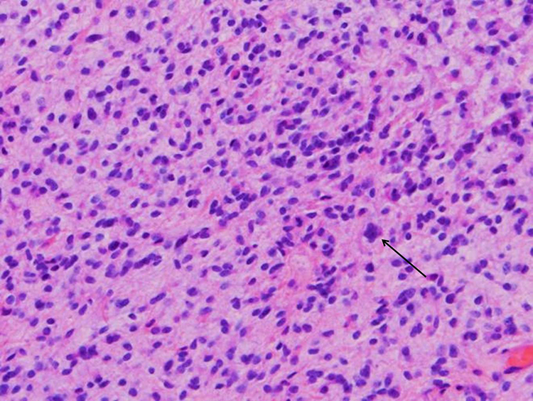
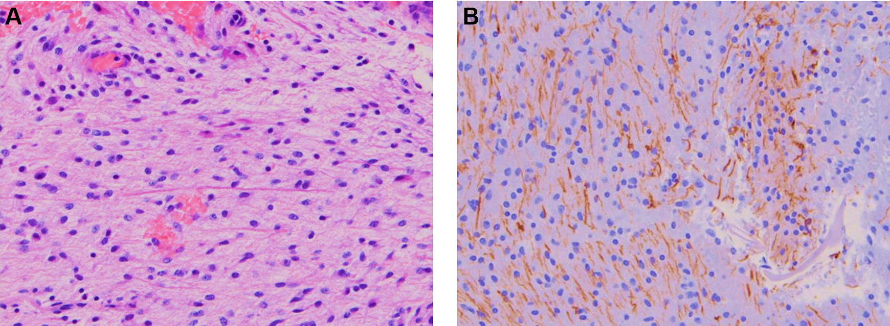
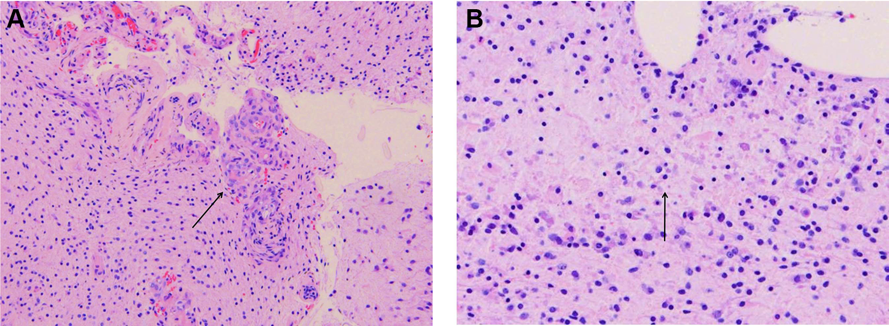
The patient underwent a suboccipital craniectomy and a biopsy of the lesion. Intraoperatively, no clear distinction between normal and lesional tissue was apparent. On the permanent section (hematoxylin and eosin stain), the lesion demonstrates areas of moderate-to-high cellularity with occasional mitotic figures. The neoplastic cells are bland and monomorphic with round to oval nuclei and no prominent nucleoli (Figure 2). In some areas, the lesional cells are growing around and entrapping neuronal processes, specifically targeted by an immunostain that highlights neurofilaments, highlighted in brown in the figure (Figure 3). Neurofilaments are an intermediate type of filament that are present in the cytoplasm of neurons. Focal areas of microvascular proliferation (thickened vascular walls secondary to endothelial cell hyperplasia and hypertrophy with formation of multiple lumina), thrombosed vascular lumina, and necrosis are present (Figure 4).

Areas of moderate to high cellularity with occasional mitotic figures (black arrow). Magnification = ×40.

(A) Areas where the lesional cells were growing around and entrapping neuronal process, which are (B) highlighted by the neurofilament stain. Magnification = ×40.

(A) Focal areas of vascular proliferation (black arrow) and (B) necrosis (black arrow). Magnification = ×40.
Questions/Discussion, Part 3
What Is the Most Likely Diagnosis?
The clinical, radiological, and histologic features are suggestive of an astrocytoma. There are several types of astrocytomas that vary in their histologic features and behavior, which affects the World Health Organization (WHO) grade they are assigned. World Health Organization grade I tumors (pilocytic astrocytoma) are slow growing lesions with low-grade histologic features that have a 90% 10-year survival. World Health Organization grade II (diffuse astrocytoma) and III (anaplastic astrocytoma) have an intermediate prognosis that has now been shown to largely depend on the underlying molecular signature of the lesion. World Health Organization grade IV (glioblastoma) lesions are the most aggressive and have a median survival time of 15 to 16 months. 3
In Light of the Histologic Findings, How Should the Tumor be Graded and Classified?
The histologic features of this case include both low-grade histologic findings with monomorphic and bland cells and high-grade histologic findings with vascular proliferation and necrosis. The latter high-grade findings can be seen in pilocytic astrocytoma but result in an unusual grading decision between a WHO grade I (ie, pilocytic astrocytoma) and a WHO grade IV lesion (ie, pediatric glioblastoma). Of note, the lesion does not exhibit classic Rosenthal fibers and eosinophilic granular bodies that are commonly seen in pilocytic astrocytomas. Rosenthal fibers are thick, elongated, eosinophilic bundles that are thought to be composed of intermediate filament proteins. Eosinophilic granular bodies are bright pink round bodies of variable size seen on hematoxylin and eosin stained slides.
How Does Immunohistochemistry Help Categorize Brain Tumors?
The WHO classification of central nervous system (CNS) tumors released in 2016 incorporated molecular criteria to complement the histological parameters.
4
Gliomas are now classified according to whether they have a mutation or not in isocitrate dehydrogenase (
Diagnostic Findings, Part 4
Molecular Testing by Immunohistochemistry, Fluorescence In Situ Hybridization, and Next Generation Sequencing Testing
Immunohistochemical stains with appropriate controls were performed on the biopsy from the patient. These demonstrated negative staining for mutant IDH1 and preserved normal expression of ATRX. Additional ancillary studies by fluorescence in situ hybridization (FISH) demonstrated a serine/threonine protein kinase B-raf (BRAF) rearrangement. Next generation sequencing-based studies confirmed the presence of a fusion between KIAA1549 and BRAF resulting in a 15-9 fusion transcript. No other pathogenic alterations were detected in the analyzed genes.
Questions/Discussion, Part 4
What Is the Normal Role of BRAF?
BRAF is an intracellular serine/threonine kinase involved in activation of the mitogen-activated kinase (MAP kinase) pathway. Activation of this pathway has been shown to have multiple effects including cell proliferation, tumorigenesis, and differentiation. Mutations in this pathway have been identified in ∼80% to 90% of pilocytic astrocytomas. 8
What Is the KIAA1549-BRAF Fusion Oncogene and What Is Its Clinical Significance?
Of the mutations identified in these tumors, the KIAA1549-BRAF fusion is the most common and is present in ∼70% of pilocytic astrocytomas. It has not been identified in high grade gliomas. 9 KIAA1549-BRAF is a fusion oncogene that arises secondary from a tandem duplication and reinsertion event. In the resultant fusion product, the N-terminal end of the KIAA1549 gene replaces the N-terminal regulatory region of BRAF. This event results in constitutive activation of the BRAF kinase domain and activation of the MAP kinase pathway. 9 Furthermore, patients with lesions that have the KIAA1549-BRAF fusion have an improved progression-free survival. 10
What Is the Final Pathologic Diagnosis?
This case presented an unusual diagnostic dilemma in that there was a mix of both low-grade and high-grade histologic features seen on permanent section. Additional ancillary studies by FISH demonstrated a BRAF fusion, which was further characterized on next generation sequencing as a KIAA1549-BRAF 15-9 fusion. Taken together, these findings favor a final diagnosis of pilocytic astrocytoma (with atypical features that are of no or uncertain significance).
Teaching Points
Brain tumors are the leading cause of cancer-associated death among children and adolescents.
Approximately 50% of brain tumors in children and adolescents are gliomas of which astrocytomas are the most common.
There are several types of astrocytomas that vary in their histologic features and behavior, which affects the WHO grade they are assigned: WHO grade I (pilocytic astrocytoma), WHO grade II (diffuse astrocytoma), WHO grade III (anaplastic astrocytoma), and WHO grade IV (glioblastoma).
∼80% to 90% of pilocytic astrocytomas are associated with a mutation in the MAP kinase pathway of which the KIAA1549-BRAF fusion is the most common.
The KIAA1549-BRAF fusion can be helpful in the diagnosis of pilocytic astrocytoma, and patients with lesions that have the KIAA1549-BRAF fusion have an improved progression-free survival.
Footnotes
Declaration of Conflicting Interests
The author(s) declared no potential conflicts of interest with respect to the research, authorship, and/or publication of this article.
Funding
The author(s) received no financial support for the research, authorship, and/or publication of this article.
