Abstract
Rheumatoid vasculitis is a rare extra-articular complication of rheumatoid arthritis. The most common manifestation is cutaneous; however, it can manifest in various organ systems and is associated with a high degree of morbidity and mortality. Diagnosis is challenging, and there are no validated diagnostic or classification criteria. Most cases should be confirmed with tissue biopsy when possible given the severity of disease and the extent of immunosuppression required to treat this condition. We report the case of a 54-year-old white woman with long-standing, uncontrolled, and seropositive rheumatoid arthritis with a history of elevated anticardiolipin IgG and IgM antibodies who presented with acute stenosis of her left femoral artery which ultimately required a left above-the-knee amputation. Histopathology revealed findings consistent with vasculitis and thrombosis, and subsequent imaging revealed multifocal arterial and venous thromboses. She was diagnosed with rheumatoid vasculitis and antiphospholipid antibody syndrome, and was treated with high-dose glucocorticoids, cyclophosphamide, and warfarin. Rheumatoid vasculitis is a rare but devastating complication of rheumatoid arthritis, and vigilance for this condition must be maintained, especially in patients with long-standing, seropositive disease.
Introduction
Rheumatoid arthritis (RA) is a chronic, systemic rheumatic disease that affects 0.5%–1% of people in Europe and North America. 1 The hallmark of RA is synovial inflammation. 2 However, RA can affect numerous systems outside of the joints. These extra-articular manifestations (ExRA) include cutaneous, pulmonary, ocular, cardiac, neurologic, hematologic, and vascular complications. One cohort-based study reported an ExRA incidence rate of 3.67 per 100 patient years. 3 Rheumatoid vasculitis (RV) is one of the most severe types of ExRA, with an estimated mortality of 50%–60% at 5 years. 4
The antiphospholipid antibody syndrome (APS) is a systemic autoimmune condition characterized by thrombotic and obstetric complications in patients with persistent antiphospholipid antibodies (aPL). 5 These antibodies are found with greater prevalence in certain systemic rheumatic conditions, particularly systemic lupus erythematosus. RA patients have a higher prevalence of these autoantibodies compared to the general population, and they are associated with thromboembolic complications. 6
We report the case of a patient with treatment-refractory RA leading to RV and concurrent APS which resulted in limb ischemia with vasculitic and multiple thrombotic events in arterial and venous vessels.
Case presentation
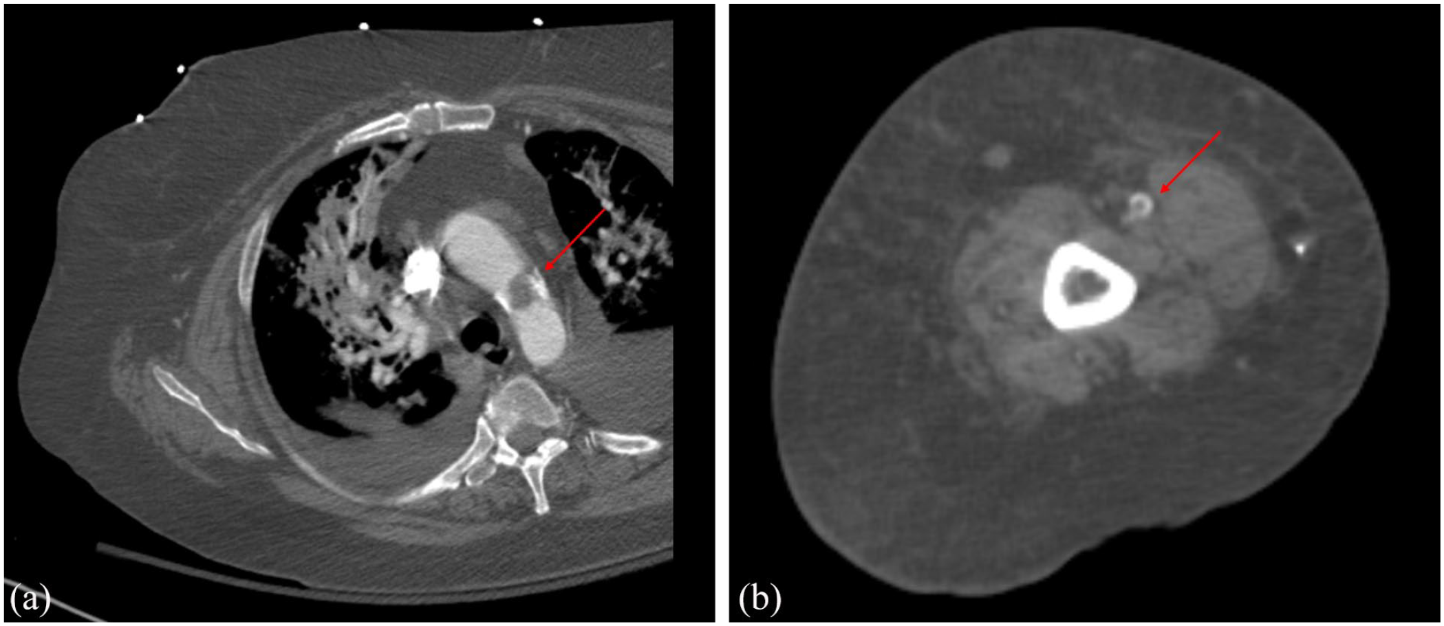
The patient is a 54-year-old white female with a medical history of seropositive RA, positive anticardiolipin IgG and IgM antibodies, and a remote pulmonary embolism treated with apixaban who presented with a 5-day history of left foot swelling, pain, paresthesia, and skin discoloration. A computed tomography (CT) angiogram showed focal stenosis of the left femoral artery. She underwent stenting and a bypass which was complicated by graft occlusion, and she required a subsequent left above-the-knee amputation (AKA). Three days after her left AKA, thrombi in her aortic arch (Figure 1(a)), right brachial artery (Figure 1(b)), right ulnar artery, left subclavian artery, and superior vena cava were discovered despite therapeutic anticoagulation with intravenous heparin.

Representative images from the CT angiography of the chest and the right upper extremity: (a) nonocclusive arterial thrombus within the midportion of the aortic arch and (b) partially occlusive thrombus within the right brachial artery.
Her RA had been poorly controlled since her diagnosis, which was more than 20 years prior. Prior to her admission, she had been taking methotrexate 20 mg subcutaneous per week, tocilizumab 162 mg subcutaneous per week, and prednisone 15 mg PO daily. She had previously experienced ExRA of episcleritis and rheumatoid nodulosis. Upon discussion with her outpatient rheumatologist, she was noted to have elevated titers of anticardiolipin IgG and IgM antibodies but was never given the diagnosis of APS. She was on indefinite anticoagulation with apixaban 5 mg twice daily for her remote pulmonary embolism history.
Examination revealed synovitis of bilateral proximal interphalangeal, metacarpophalangeal, and wrist joints. She was noted to have scattered nodulosis of her fingers and her elbows, acrocyanosis of the digits of her right hand, and scattered nailfold hemorrhages. Laboratory evaluation revealed a white blood count of 18,800/μL, hemoglobin of 8.9 g/dL, platelets of 656,000/μL, and a normal comprehensive metabolic panel. Additional testing revealed a c-reactive protein of 24.30 mg/dL (normal < 0.60 mg/dL), C4 level of 13 mg/dL (normal 16–47 mg/dL), C3 level of 134 mg/dL (normal 88–201 mg/dL), antineutrophilic cytoplasmic antibody testing with perinuclear staining (negative MPO and PR3 titers), anticardiolipin IgG and IgM with values both greater than the 99th percentile (done in our in-house laboratory), rheumatoid factor of >1060 IU/mL (normal < 12.4 IU/mL), and an anti-CCP antibody level of 243 units (normal < 19 units).
The pathology of the left knee revealed vasculitis of the deep muscular arteries and veins, as well as widespread inflammatory and non-inflammatory thrombi (Figure 2). With this information, the patient’s widespread thrombosis and threatened limbs were attributed to RV along with a hypercoagulable state conferred by APS. She was treated with methylprednisolone 1 g IV daily for 3 days and was started on prednisone 60 mg PO daily with a slow taper. In addition, she was treated with cyclophosphamide IV utilizing the dosing regimen from CYCLOPS trial. 7 Her anticoagulation was changed to warfarin. She established care in our clinic, and repeat anticardiolipin antibody levels were rechecked 4 months later. Her anticardiolipin IgG normalized, but her anticardiolipin IgM titer remained greater than the 99th percentile.

Pathology from left AKA. A small venule that is completely occluded by a non-inflammatory thrombus (white arrow). A vessel with complete destruction of the wall and lumen by acute inflammation, with a red arrow placed on what remains of the vessel wall. An associated small nerve is also seen (black arrowhead).
Discussion
RV typically occurs in patients with long-standing, seropositive RA. 4 There is a slight male predominance. It mostly affects small- to medium-sized vessels, but all vessel sizes can be involved. 8 There are no validated classification or diagnostic criteria; however, classification criteria proposed by Scott and Bacon remain one of the most cited. 9 RV can present extremely heterogeneously. The most common manifestation is cutaneous, but has been reported to affect the peripheral nervous system, eyes, heart, lungs, kidneys, and the gastrointestinal system. 8 Multiple studies have shown that while the overall incidence of RV is decreasing, the overall mortality related to RV, once diagnosed, has not changed significantly over the past several decades. 4 This emphasizes the importance of disease control and a high level of suspicion in high-risk patients for early intervention.
There are no randomized controlled trials (RCTs) to help guide treatment strategies in RV. Much of the treatment paradigm is based on the treatment for primary systemic vasculitides, particularly the ANCA-associated vasculitides. Treatment of severe disease typically involves high-dose glucocorticoids alongside a concurrent disease-modifying antirheumatic drug such as cyclophosphamide or rituximab. There are reports of agents such as azathioprine, methotrexate, mycophenolate mofetil, TNF inhibitors, abatacept, and tocilizumab being used for this indication as well.8,10 Given the high morbidity and mortality of RV even with these treatments, prevention through tight RA control and early recognition of RV remain the cornerstones of management.
The usage of direct oral anticoagulants (DOACs), which has increased for thromboembolic disease in the general population, remains controversial in patients with APS. The guidance from important groups in the field, such as the International Congress on Antiphospholipid Antibodies and the International Society on Thrombosis and Haemostasis, suggests that DOACs can be considered for the treatment of an initial venous thrombosis in a patient who is single- or double-positive for aPL. 11 However, these groups recommend against DOACs for patients with triple-positive aPL, arterial thrombosis, or recurrent venous thromboses. A recent meta-analysis of four important RCTs that compared DOACs with vitamin K antagonists (VKAs) was recently published. 12 The amount of recurrent venous thrombosis in the DOAC group was numerically higher than the VKA group, but the result was not statistically significant. However, the risk of recurrent arterial thrombosis was significantly higher in the DOAC group.
Conclusion
We report the case of a 54-year-old woman with severe, uncontrolled RA who developed arterial and venous thromboses in the setting of RV and aPL. The incidence of RV is decreasing, but it remains an important extra-articular manifestation of RA with a high morbidity and mortality. Vigilance for this condition must be maintained, especially in patients with long-standing, seropositive RA. Earlier detection of this condition may lead to earlier treatment and better outcomes.
Footnotes
Declaration of conflicting interests
The author(s) declared no potential conflicts of interest with respect to the research, authorship, and/or publication of this article.
Ethical approval
Our institution does not require ethical approval for reporting individual cases or case series.
Funding
The author(s) received no financial support for the research, authorship, and/or publication of this article.
Informed consent
Written informed consent was obtained from the patient(s) for their anonymized information to be published in this article.
