Abstract
During the past 20 years, investigations involving endocrine active substances (EAS) and reproductive toxicity have dominated the landscape of ecotoxicological research. This has occurred in concert with heightened awareness in the scientific community, general public, and governmental entities of the potential consequences of chemical perturbation in humans and wildlife. The exponential growth of experimentation in this field is fueled by our expanding knowledge into the complex nature of endocrine systems and the intricacy of their interactions with xenobiotic agents. Complicating factors include the ever-increasing number of novel receptors and alternate mechanistic pathways that have come to light, effects of chemical mixtures in the environment versus those of single EAS laboratory exposures, the challenge of differentiating endocrine disruption from direct cytotoxicity, and the potential for transgenerational effects. Although initially concerned with EAS effects chiefly in the thyroid glands and reproductive organs, it is now recognized that anthropomorphic substances may also adversely affect the nervous and immune systems via hormonal mechanisms and play substantial roles in metabolic diseases, such as type 2 diabetes and obesity.
Keywords
This article represents a combined synopsis of 7 lectures given originally at the Society of Toxicologic Pathology’s 38th Annual Symposium in Raleigh, North Carolina, in 2019, the theme of which was titled “Environmental Toxicologic Pathology and One Health.” The 6 invited expert presenters and 1 highly motivated student in this session explored a diverse variety of topics that provided an overview of the field as it currently stands, in addition to the latest cutting edge research. The following discussions encompassed known and potential effects of EAS in humans, nonhuman primates, rodents, and fish. Categories of EAS in the discussion included agonists and antagonists of estrogenic and androgenic pathways, among others. In addition to histomorphology, the authors demonstrated a variety of diagnostic approaches for investigating EAS effects, and developmental effects of EAS were highlighted. Regulatory implications for chemicals suspected of having endocrine activity were mentioned, and controversial aspects of EAS research were briefly explored. It was hoped that attendees left this session with an enhanced understanding and appreciation for endocrine and reproductive toxicity and the associated pathological consequences.
Antiandrogen Mixology: Cumulative Effects of Environmental Chemicals on Male Rat Reproductive Tract Development, by Justin Conley
Overview of Antiandrogenic Mixtures Research
Congenital defects of the male reproductive tract are some of the most commonly occurring malformations in humans.
1,2
Development and maintenance of male reproductive tissues is critically dependent on androgen receptor (AR) signaling
3
and malformations can be induced in laboratory animals by environmental chemicals and pharmaceuticals that disrupt AR signaling pathways. Chemicals can disrupt the AR pathway in the male fetus through several different molecular initiating events (MIEs) including direct antagonism of the AR and/or disruption of androgen steroidogenesis via several different molecular mechanisms.
4
For example, the herbicides linuron and prochloraz both inhibit cytochrome P450 enzymes that are critical for de novo synthesis of testosterone in the testis
5,6
and antagonize the AR
7,8
; whereas the fungicide vinclozolin and the pesticide procymidone are classic AR antagonists, but do not affect testosterone production.
9,10
Further, multiple phthalate esters reduce fetal rat testis testosterone production and expression of insulin-like hormone 3 (

Adverse outcome pathway (AOP) network for chemicals that disrupt fetal development of the male reproductive tract. The predominant pathways include reduction in androgen receptor (AR)-dependent gene/protein expression; however, additional pathways including insulin-like hormone 3 (Insl3), estrogen receptor, and aryl hydrocarbon receptor (AhR) are known to adversely affect male development. DHT indicates dihydrotestosterone; HMG-CoA, 3-hydroxy-3-methyl-glutaryl coenzyme A; MIE, molecular initiating event.
Human chemical exposures are highly variable both spatially/geographically and temporally. Our understanding of coexposures is limited to the specific target analytes within various biomonitoring studies. Perhaps, the best example is the Centers for Disease Control National Health and Nutrition Examination Survey, which is one of the most extensive contaminant biomonitoring efforts in the world, yet it is currently limited to analyzing only 308 of the tens of thousands of chemicals in industrial use. 13 There is extensive evidence, however, that many of the persistent organic pollutants (including polychlorinated biphenyls [PCBs], brominated flame retardants, polyfluorinated compounds, dioxins, and furans) and rapidly metabolized but ubiquitously occurring compounds (including bisphenols and phthalates) are detected in nearly all individuals, 14 –16 including pregnant women. 17 –21 Chemical mixture exposure is particularly important when considering the potential toxicity associated with in utero exposures due to the high sensitivity of the embryo and fetus to developmental perturbations. As described above, a variety of environmental chemicals can perturb AR signaling and lead to adverse effects on male reproductive development, thus research in the L.E. Gray Lab at the US EPA has conducted mixtures-based studies under the overarching hypothesis that “antiandrogenic” chemicals act cumulatively to produce adverse effects via multiple different mechanisms of toxicity.
Mixtures-based studies in our group have utilized the Adverse Outcome Pathway (AOP) framework 22,23 as a conceptual and organizational model for defining MIEs, key events (KEs), and adverse outcomes (AOs) for chemicals that disrupt fetal male reproductive programming. 24,25 Historically, grouping chemicals that are “toxicologically similar” has narrowly focused on specific chemical classes (eg, organophosphates) or on specific MIEs (eg, estrogen receptor activation). However, a narrow approach may exclude compounds from such groupings that are biologically relevant. Adverse Outcome Pathways that share 1 or more critical KEs and/or the ultimate AOs can be combined into an AOP network that forms the basis for identifying chemicals that are broadly toxicologically similar and adversely affect a common signaling pathway. 26 Antiandrogen mixture studies in the Gray Lab have steadily evolved from simple, binary mixtures with a common MIE, 27,28 to binary mixtures with diverse MIEs, 29 –32 to multiple (ie, >3) compounds with a common MIE, 33,34 to highly complex mixtures with multiple compounds spanning multiple MIEs. 24,32,35 The individual AOPs related to the various compounds in these mixtures studies overlap at multiple KE and AO points within the AOP network (Figure 1); however, the most prevalent KE is reduction of AR-dependent RNA/protein expression. Similar, independent antiandrogen mixtures studies have been conducted by other research groups, which have produced results supportive of our mixtures studies. 36 –40
Study Design and Approaches for Antiandrogen Mixtures Assessment
The Sprague-Dawley (SD) rat is the principle model species used because it is advantageous for conducting reproductive and developmental toxicity studies due to high fertility, large litter sizes, genetic stability, and low incidence rate of spontaneous malformations. 41 Studies utilize 2 different protocols for assessing either fetal or postnatal effects from in utero exposure. In both protocols, timed-pregnant rats are dosed via oral gavage during the masculinizing window of gestation (gestation days [GDs] 14-18). The Fetal Testis Screen protocol collects testes from late-term (GD 18) fetal males for determination of ex vivo testosterone production and gene expression analysis. 11,42 In postnatal studies, dams give birth and in-life measurements include pup anogenital distance on postnatal day (PND) 2, nipple/areolae retention on PND13, and markers of pubertal onset. Each of these end points are indicators of disruption of AR signaling during development and are associated with permanent, adverse effects on male reproductive tissues. 43 Male offsprings are maintained until adulthood (≥120 days) and necropsied to examine external genital malformations (eg, hypospadias), internal malformations (eg, epididymal agenesis, testicular atrophy, undescended testes), and weights of reproductive tissues (glans penis, ventral prostate, seminal vesicles, testes, epididymides, levator ani–bulbocavernosus, and bulbourethral glands). Both testes and the right epididymis are evaluated for histopathological lesions and sperm counts are conducted on the left epididymis.
Mixture experiments in our group primarily utilize a fixed ratio dilution approach, whereby the dose of any one chemical relative to the other chemicals is fixed and the entire mixture is diluted with vehicle to produce a range of mixture exposure doses. The individual chemical doses within the mixture are based on the individual chemical potencies for producing adverse male reproductive effects (ie, chemicals with greater potency are present at a lower dose relative to the less potent chemicals). For example, in our most recent experiment, we selected the lowest published lowest-observed-adverse-effect-level (LOAEL) for any effect on male reproductive tissues from relevant studies (ie, in rats with oral maternal dosing that included the masculinizing window of gestation). 24 The top dose contained each chemical at one-fifth of the LOAEL for male reproductive effects, followed by a 50% dilution series down to each chemical at 1/80th of the LOAEL (5 total doses corresponding to 1/5, 1/10, 1/20, 1/40, and 1/80th of the individual LOAEL).
Assessing the accuracy of established mixtures models for predicting cumulative effects of exposure is a central component of our mixtures toxicity experiments. Component-based mixture models include dose addition (DA), response addition (RA; ie, independent action), and integrated addition (a combination of DA and RA). 44 Deviations from mixture model predictions is a determining factor for assessing interactive effects, including synergy and antagonism. 45 It is important to note that mixture model predictions can only be estimated for effects in which the experimenter has accurate estimates of the potency (eg, median effective dose) and the slope of the dose–response curve for the same effect for each individual chemical in the mixture. Often, this data requirement is a limiting factor in populating mixture models. Mixture experiments with multiple antiandrogens covering a broad range of MIEs within the AOP network have consistently demonstrated the accuracy of the DA model for predicting effects. This holds true although the chemicals in the mixture operate via dissimilar mechanisms and would traditionally be considered toxicologically independent. Overall, these studies suggest that male fetuses may be at increased risk due to cumulative exposure of pregnant women to multiple “antiandrogenic” chemicals, even when individual doses are below known levels of concern.
Reproductive Consequences in Adult Female Mice Following Developmental Estrogen Exposure: An Estrogen Receptor α-Mediated Estrogen Response, by Wendy N. Jefferson, Alisa A. Suen and Carmen J. Williams
Background: Diethylstilbestrol as a Model for Adverse Impact on the Developing Reproductive System
Developmental exposure to estrogenic chemicals causes reproductive tract abnormalities, infertility, and cancer. A well-characterized developmental exposure that occurred from the 1940 to 1970 involved the administration of the potent synthetic estrogen, diethylstilbestrol (DES), to pregnant women for the prevention of miscarriage. Female offspring exposed to DES in utero presented with defects in reproductive tract structure (eg, T-shaped uterus) and developed vaginal clear cell adenocarcinomas at a young age. 46 A mouse model was established to elucidate the mechanisms by which developmental estrogenic chemical exposure adversely impact the female reproductive tract. Several phenotypes in this animal model replicate findings in humans. Mice exposed prenatally to DES develop a high incidence of reproductive tract malformations and a low incidence of uterine adenocarcinomas. 47 However, mice exposed neonatally to DES exhibit extensive alterations in gene expression and cellular differentiation of the female reproductive tract that lead to infertility and a high incidence of uterine adenocarcinomas later in life. 48 These studies definitively show that exposure to estrogenic chemicals during critical periods of reproductive tract development causes long-term adverse consequences.
Environmental Estrogens Cause Adverse Effects on the Developing Reproductive System Similar to DES
Mice lacking expression of the estrogen receptor are resistant to DES-induced effects, highlighting the role of estrogen receptor α (ERα) in mediating a phenotypic response. 49 Additionally, increasing doses of DES result in increasing cancer incidence, indicating that cancer development is highly dependent on estrogenic activity (Figure 2A). 50 As a result, this neonatal exposure model has been employed to determine the effects of other weaker environmental estrogenic chemicals. Chemicals with estrogenic activity come from diverse man-made and natural environmental sources, including plastics (bisphenol A;[BPA]), pharmaceuticals (ethinyl estradiol[EE]), surfactants (nonylphenol), and plants (genistein [GEN]). When used in place of DES in the developmental exposure mouse model, many of these chemicals cause similar AOs on the female reproductive tract including cancer (Figure 2B; adapted from Newbold et al, 50 ), suggesting that DES is not unique in its ability to disrupt reproductive tract differentiation and function.

Diethylstilbestrol (DES) as a model for weaker environmental estrogens. Mice were treated on neonatal days 1 to 5 with increasing doses of DES (panel A) or environmental chemicals (panel B) and uterine adenocarcinoma incidence determined at 12 months of age.
Impact of Soy Infant Formula Exposure in Humans
One of the most well-characterized environmentally relevant chemicals is GEN because of the high levels of this compound in soy products, most notably soy-based infant formulas. Human infants exposure to approximately 6 to 10 mg/kg/d results in serum circulating levels of GEN around 1 to 10 μM. 51 This level is 10-fold higher than for human adults that consume vegetarian diets. 52 The length of study time required to understand long-term reproductive consequences and cancer outcomes of GEN exposure has limited human epidemiology studies. However, a few retrospective studies reported extended menstrual cycles, more pain associated with cycles, and increased fibroid (benign tumors of the uterine myometrium; uterine leiomyomas) size in women who consumed soy formula as infants compared to those who did not. 53,54 Prospective studies of infants fed soy formulas versus cow milk-based formulas showed evidence of estrogenization of the vaginal epithelium (cornification) as well as reduced uterine involution after birth, which suggests that consumption of soy-based infant formulas elicits estrogenic activity. 55 Follow-up molecular studies of this cohort showed alterations in DNA methylation patterns in the vaginal epithelial cells in the soy formula group versus cow formula group, suggesting the potential for altered epigenetics. 56 More studies of reproductive end points in women who consumed soy-based infant formulas are warranted.
Developmental Exposure to GEN at Environmentally Relevant Doses Causes Adverse Effects on the Mouse Female Reproductive Tract
Neonatal exposure of mice to GEN (50 mg/kg/d) results in serum circulating levels similar to human infants consuming soy-based infant formulas. 51,57 In this model, GEN-exposed females are completely infertile for several reasons, including adverse impacts on the hypothalamic–pituitary–gonadal (HPG) axis that result in reduced or absent ovulation and altered ovarian development with the appearance of multioocyte follicles. 58 Despite the impact on ovarian development, embryos derived from GEN-exposed mice develop normally when transferred to control mice and give rise to viable pups. 59 In addition, GEN-exposed mice exhibit a molecular and phenotypic posteriorization of the oviduct where the upper portions of the reproductive tract express genes that are normally only expressed in the lower part of the reproductive tract. 60 This posterization impacts function of the oviduct and reduces the number of embryos that survive until transit into the uterus for implantation. Applying artificial reproductive technologies, such as superovulation and mating or embryo transfer, still cannot overcome the infertility phenotype. If an embryo makes it to the uterus, there are substantial problems with embryo growth following implantation and as a consequence embryos do not survive past 10 days of pregnancy. 61 These defects suggest that GEN has significant negative impacts on normal development of the reproductive system, which strongly supports further investigation in humans exposed to high quantities of this environmental estrogen.
Sine Oculis Homeobox Transcription Factor 1 as a Biomarker of Developmental Exposure to Estrogenic Chemicals
One of the genes that is most highly differentially expressed in the reproductive tract following neonatal estrogenic chemical exposure is sine oculis homeobox transcription factor 1 (

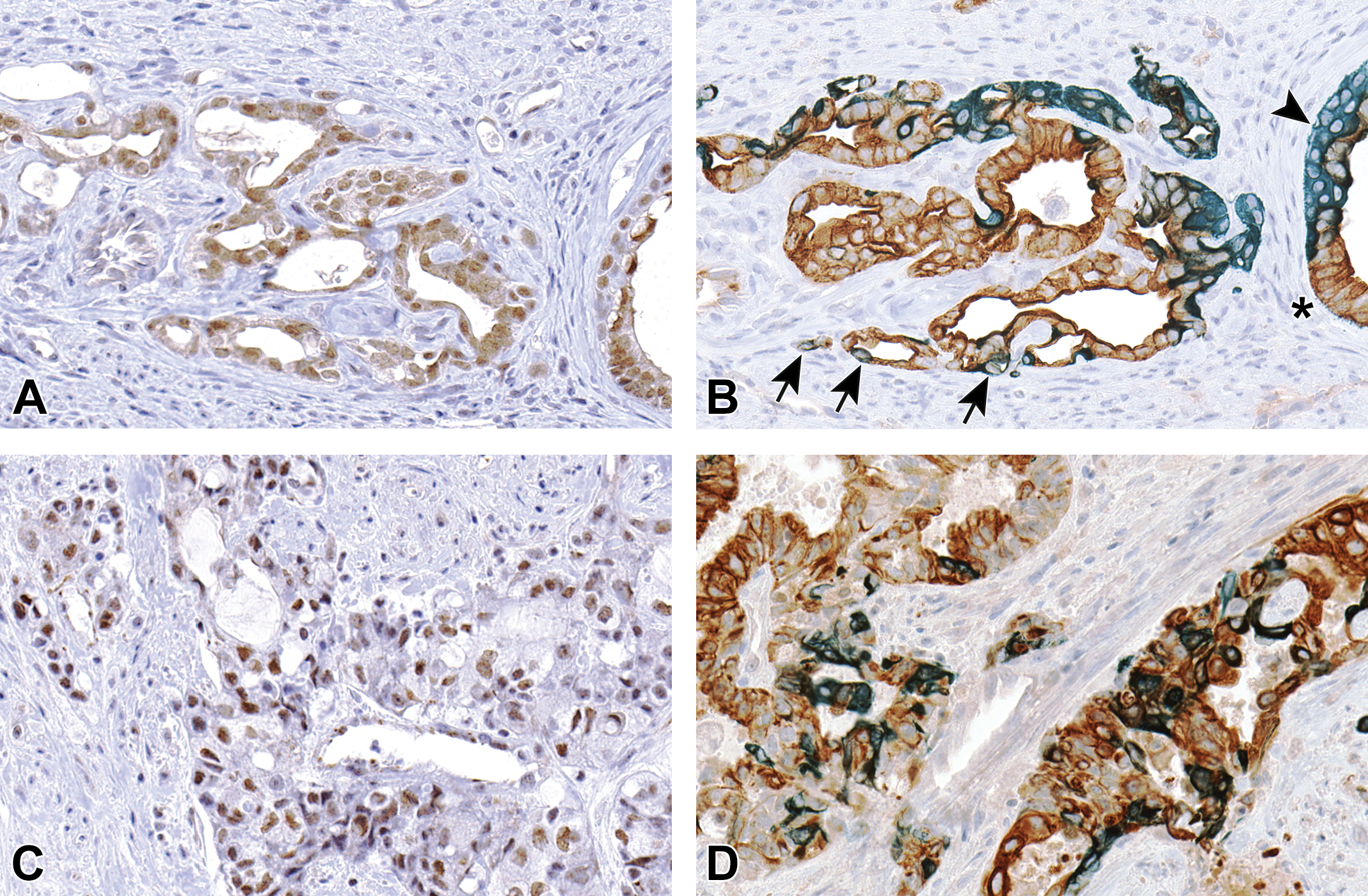
Aberrant cell types in mouse and human uterine carcinoma. A and B, Uterine adenocarcinoma lesion from an 18-month-old mouse that was neonatally exposed to GEN. Abnormal cells uniformly express Six1 (panel A) and have luminal (CK18, brown, asterisk), basal (CK14, teal, arrowhead), or mixed (CK14/CK18 coexpression, forest green, arrows) features based on morphology and dual CK14/CK18 labeling (panel B). Images show serial sections. C and D, Human uterine carcinoma with Six1 expression (panel C) and cells coexpressing CK14 and CK18 embedded within the neoplastic lesion (panel D). Images shows cells within the same region, but are not serial sections. All slides were immunostained for Six1 or doubled immunostained for CK14 and CK18. Original objective ×40. CK indicates cytokeratin; GEN, genistein; Six1, sine oculis homeobox transcription factor 1.
Persistent Epigenetic Modifications at the Six1 Locus
To elucidate the mechanisms underlying permanent changes in Six1 expression, we first took a gene-targeted approach. Histone modifications that are associated with gene repression, histone H3 lysine 27 trimethylation (H3K27me3) or gene activation (H3K4me3, H3K9 acetylation [ac] and H4K5ac) were assessed across the
Diethylstilbestrol Alterations in the Uterine Epigenetic Landscape Are ERα Dependent
To expand the single gene finding, we took a global epigenomic approach by integrating multiple data sets from neonatal control and DES-exposed uteri. RNA sequence showed 4498 differentially expressed genes (DEGs) between control and DES-exposed uteri on PND5 (>1.5 fold). 65 There were <10% of DEGs that had differential H3K27me3 and <20% had differential H3K4me3 associated with the transcription start site (TSS), suggesting that these 2 marks do not substantially contribute to gene expression differences. In contrast, over 50% of DEGs have differential H3K27ac at the TSS, suggesting this mark likely plays a role in gene expression differences. The most striking finding of this study was the excessive accumulation of H3K27ac in DES exposure uteri at enhancers near DEGs (±100 kb). 65 Mice with conditional deletion of ERα in the uterus were refractory to 88% of DES-induced DEGs. In addition, DES-induced H3K27ac at enhancers was no longer observed, showing that both gene expression and enhancer activity require ERα. These data demonstrate that DES-induced gene expression changes and enhancer activation are dependent on ERα.
Summary and Conclusions
Developmental exposures to estrogenic chemicals during critical periods of reproductive tract differentiation cause adverse effects, including altered differentiation, infertility, and cancer. The mechanisms underlying these permanent changes are currently not understood, although there have been studies focused on this in recent years (for review, see 66 ). Epigenetic changes, including DNA methylation and histone modification that impact chromatin architecture, are potential mechanisms that contribute to these persistent changes in gene expression. 65,66,67,68 Studies examining these epigenetic signatures during the time of exposure and later in adulthood long after cessation of exposure will help elucidate how these chemicals cause their effects. Application to other weaker environmental chemicals will expand our understanding of how this class of chemicals exerts their permanent effects.
Assigning Molecular and Physiological Mechanisms to the Pathology of the Endocrine Disrupting Chemical BPA: Cardiac Pathology and the CLARITY-BPA Study, by Scott Belcher
The endocrine disrupting activities of BPA are extremely well characterized, yet there remains regulatory uncertainty surrounding the potential for BPA to have harmful human health effects. Much of this uncertainty is the result of controversies surrounding the results from hypothesis-driven BPA research studies and the value of those results for assessing human health risks. To address these uncertainties, an interagency collaboration between the National Institute of Environmental Health Sciences’ National Toxicology Program and the US Food and Drug Administration created the
Key aspects of the CLARITY-BPA study design, including the doses selected for analysis, were agreed upon by the consortium, with the aim of being most useful for all aspects of the study. The overriding focus of the study design was to address the central regulatory issues of whether chronic BPA exposure results in harmful effects below current LOAEL. There were 5 BPA dose groups included in the study, with a lowest dose (2.5 μg/kg/d) approaching estimated human dietary exposure levels and a high dose (25,000 μg/kg/d) exceeding the 5,000 μg/kg/d no-observed-adverse-effect-level (NOAEL) for systemic toxicity. 71 Along with a vehicle-treated control group (aqueous 0.3% carboxymethylcellulose), there were also two 17α-EE dose groups (0.05 and 0.5 μg/kg/d) included as comparative controls for effects of an orally bioavailable estrogen. Because many effects of BPA could be developmental, a separate BPA-exposed cohort (or “study arm”) of animals dosed only until the time of weaning was also included (Figure 4).

The CLARITY-BPA study design. The CLARITY-BPA study design is shown graphically with dosing initiated at GD6 through PND21 (stop-dose) or continuously until the indicated time of sacrifice (sac) and tissue collection. CLARITY-BPA indicates Consortium Linking Academic and Regulatory Insights on BPA Toxicity; GD, gestational day; LV, left ventricle; PND, postnatal day; Sac, sacrifice/necropsy.
Effects of Estrogens and BPA on the Heart
The heart of both males and females expresses estrogen receptors. 72 Estrogens (ie, 17β-estradiol) control heart function and vascular tone through direct actions on cardiac and vascular tissues and by regulating autonomic nervous system activity. The beneficial and harmful impacts of fluctuating levels of natural estrogens and endocrine disrupting chemicals (EDC; eg, BPA) are regulated developmentally and sex specifically and thus differ in both males and females. 73 –77 Prior work by the Belcher Lab demonstrated that subnanomolar concentrations of BPA and 17β-estradiol sex specifically alter rapid estrogen signaling in cultured adult rodent cardiomyocytes. 73 Those effects of BPA were female specific and mediated through an ERα- and ERβ-dependent mechanism that altered intracellular Ca2+ reuptake, modified excitation–contraction coupling, and increased arrhythmia frequencies in females. 75
To evaluate potential adverse effects of oral BPA exposure, follow-up in vivo studies evaluated the effects of continuous lifelong dietary BPA or 17α-EE exposure in CD-1 mice. 74,75 –81 This study design included 5 doses of BPA that spanned 5 orders of magnitude from approximately 4 μg/kg body weight/d to approximately 50,000 μg/kg body weight/d with a 10-fold dose interval. Three doses of 17α-EE (0.02, 0.2, and 0.15 μg/kg body weight/d) were also included as a positive control for estrogen effects. Results of those studies demonstrated significant and, most often, sex-specific effects of BPA on a variety of reproductive, metabolic, immune, and cardiovascular-related end points. 74,78 –81 In the heart, minor exposure-related increases in heart weight, left ventricular (LV) wall thickness, and modest changes in collagen content in the extracellular matrix of hearts in males exposed to 430 and 4400 μg BPA/kg body weight/d were detected. By contrast, there were modest decreases in LV wall thickness and decreases in collagen in hearts of females at the lowest BPA dose (5 μg/kg body weight/d). In females, BPA exposure resulted in a marked increase in sensitivity of the heart to ischemic damage and hypertrophy due to decreased collagen extracellular matrix and modified cardiac fat metabolism. Cardiac transcriptome analysis revealed that BPA exposure caused sex-specific changes in expression of components of the extracellular matrix and in dysregulation of fatty acid metabolism and glycolytic metabolism in females. The effects of BPA exposure on cardiac gene expression were consistent with the observed histological changes in the collagen extracellular matrix and pathological remodeling observed in BPA-exposed female hearts. 74
Based on those previously published studies that suggested that chronic BPA exposures could result in adverse effects on the heart in CD-1 mice, 74 the goal of the presented CLARITY-BPA study analysis was to determine whether BPA also had adverse effects on cardiac morphometric and histopathology end points indicative of cardiac pathology in the National Center for Toxicological Research (NCTR)-SD rat heart. There was no evidence of BPA or EE having gross effects on cardiac hypertrophy in either males or females. Although similar to what was observed in mouse heart, a significant decrease in heart weight and heart weight normalized to body weight was observed in females exposed to 2.5 µg/kg body weight, although alterations in LV wall thickness were not observed. 74,82 Exposure-related changes in collagen accumulation were limited to the highest EE dose group with increased collagen accumulation in PND21 males; decreased collagen content was observed in hearts of females treated with 25,000 µg/kg body weight BPA and 0.5 µg/kg body weight EE at PND90 and 6 months, respectively.
The lack of overt morphology phenotypes in the BPA or EE-exposed hearts was not surprising since pathology associated with the majority of cardiac insults typically becomes evident only after adverse cardiovascular events, such as cardiac ischemia or myocardial infarction. 74,76 For experimental studies with rodents, it is well accepted that an intervention resulting in increased β-adrenergic stress, ischemic injury, or genetic manipulations is necessary to reveal cardiac fibrosis, hypertrophy, or phenotypes indicative of overt cardiac pathology. 83 Such manipulations were not possible in the CLARITY-BPA study and may limit any interpretations resulting from negative data. Additionally, compared to control mice, the hearts of control NCTR-SD rats had relatively higher levels of collagen due to known species-specific differences in the proportions of myocytes and fibroblasts present in murine and rat hearts. 84
Progressive cardiac myopathy (PCM) is a common background lesion in some rat strains that is suspected to arise from localized microvascular dysfunction. 85 –89 The common occurrence of PCM lesions in SD rats has presented challenges for analyzing cardiotoxicity in regulatory toxicology studies of chemicals and pharmaceuticals. 85 –89 Previous studies had not analyzed PCM lesions in hearts of young animals. In the CLARITY-BPA study, an increased incidence of early PCM lesions was detected in the hearts of most control and exposed animals analyzed at PND21. 82 Consistent with PCM found in adults, the lesion incidence and severity was greater in control males than in females. In BPA- or EE-treated females at PND21, cardiomyopathy incidence was increased compared to control females and a significant increase in severity was found for 2.5, 250, or 25,000 μg BPA/kg body weight/d and both EE groups. In a male exposed to 250 μg BPA/kg body weight/d and a female from each of the 2 lowest BPA dose groups (2.5 and 25 μg/kg body weight/d), a diffuse degeneration phenotype defined by extensive pathology involving 80% or more of the myocardium was observed. 82 This diffuse degenerative phenotype, involving extensive lesions of the myocardium, and of moderate-to-severe grades, is an accepted indication of exposure-related cardiotoxicity. 85
At PND90 and 6 months, cardiomyopathy in both males and females was observed in 100% of control samples from both the stop dose and the continuous dose arms of the CLARITY-BPA study. 82 At PND90, the diffuse degeneration phenotype was again observed in both males and females from the continuous (males: BPA 25, 250, 25 000; EE 0.5 μg/kg/d; females: BPA 2.5, 25; EE 0.05, 0.5 μg/kg/d) and stop dose (males: BPA 250, 25 000; EE 0.05, 0.5 μg/kg/d; females 250 μg/kg/d) exposure groups. This exposure-related increase in incidence of PCM represents and exacerbation of by BPA and EE through an estrogen-like mode of action. Further, the increases in PCM observed in females at PND21, and the notable increase in myocardial degeneration at PND90 suggests that both BPA and EE impact cardiovascular health, resulting in an early onset of vascular dysfunction and progression of cardiomyopathy. 82 These findings are clear indicators of exposure-related cardiotoxicity in the 2.5 μg/kg/d BPA group resulting from increases in adverse vascular events, findings that support an NOAEL for BPA of <2.5 μg/kg/d for effects in the heart.
It is also notable that largest observed morphometric effects in the CLARITY-BPA study were observed in vehicle control animals when treatment duration (“stop dose” vs “continuous dose”) was compared. Significant decreases in body weight and increases of cardiac collagen accumulation resulted in vehicle control male animals due to experimental differences in the study designs. 82 Specifically, at PND90, mean body weight of stop dose control males was 9.5% greater than in the continuously exposed control group; at 6 months, mean body weight of stop dose control males was 9.1% greater than continuously exposed controls. Those observed differences in body weights between continuously dosed males and males dosed only until weaning at PND21 indicate that there were effects of postweaning dosing procedures and/or exposure to the CMC vehicle. The sex-specific decreased weight of males dosed daily with vehicle by gavage is consistent with previous studies, showing that prolonged postnatal stress in males decreases weight gain over time and that female SD rats are resistant to these effects of stress. 90,91
In conclusion, BPA was found to have multiple effects on the heart, with adverse effects observed at lowest doses examined. Occurrence of effects at 2.5 μg/kg/d dose group, without effects at the highest does groups, was suggestive of nonmonotonic impacts that have been defined in a variety of in vivo and in vitro model systems. Based on increased severity and incidence of PCM and the diffuse cardiac degeneration phenotypes, the NOAEL for BPA in the CLARITY-BPA study was <2.5 μg/kg/d, with impacts typically observed more often and at lower doses in females.
Combined Exposure to Low Doses of 3 Antiandrogens in Wistar Rats: Investigations and Results, by Sibylle Groeters
The current investigation examines whether combined exposure to 3 antiandrogens (flutamide, prochloraz, and vinclozolin) results in interference with endocrine homeostasis when applied at very low-dose levels and whether the results of combined exposure are more pronounced than to the individual compounds. A pre–postnatal in vivo study design was chosen with more parameters than regulatory testing protocols require (additional end points addressing hormone levels, morphology, and histopathological examinations). Dose levels were chosen to represent the LOAEL, the NOAEL, and the acceptable daily intake for each individual substance. Antiandrogenic changes were observable at the effect level (LOAEL), but not at lower exposures. Nipple/areola counts appeared to be a sensitive measure of effect, in addition to male sex organ weights at sexual maturation, and finally gross findings. The results indicate the absence of evidence for effects at low- or very low-dose levels. No (adverse) effects were seen at the NOAEL dose. A nonmonotonic dose–response relationship was not evident. Combined exposure at LOAEL resulted in enhanced responses for anogenital index, number of areolas/nipples, delayed preputial separation, and reduced ventral prostate weight in comparison to the individual compounds (https://www.ncbi.nlm.nih.gov/pmc/articles/PMC5719133/).
Endogenous and Exogenous Effects on the Reproductive System of Macaques, by J. Mark Cline
Nonhuman primates are similar to humans with respect to reproductive pathophysiology, including maturation, HPG axis regulation of reproductive function, hormone metabolism, and responses to estrogens, progestogens, androgens, and other hormonally active agents. They have distinctive species-typical background patterns of pathology, for example, endometriosis, ovarian teratomas and epithelial plaques in females, and testicular fibrosis, testicular atrophy, and prostatic basal cell adenomas in males. Papillomavirus-induced changes in the genital epithelium are common in both males and females. Interindividual variation is high, so good baseline characterization is necessary, and study designs may need to focus on change from baseline. Immaturity often presents challenges to interpretation. Reproductive function may be profoundly disrupted by social stressors. An integrative approach to reproductive system assessments is more informative than histopathology alone and ideally should include baseline confirmation of age and reproductive life stage, in-life assessments of reproductive parameters, serum hormone measurements, and a thorough and consistent gross pathology protocol. This presentation reviews normal anatomy, physiology, and common background findings in macaques, and patterns of response to hormonal and endocrine-disrupting agents.
Females
The internal anatomy and function of the female reproductive system in female macaques is remarkably similar to that of humans. Cynomolgus macaques (
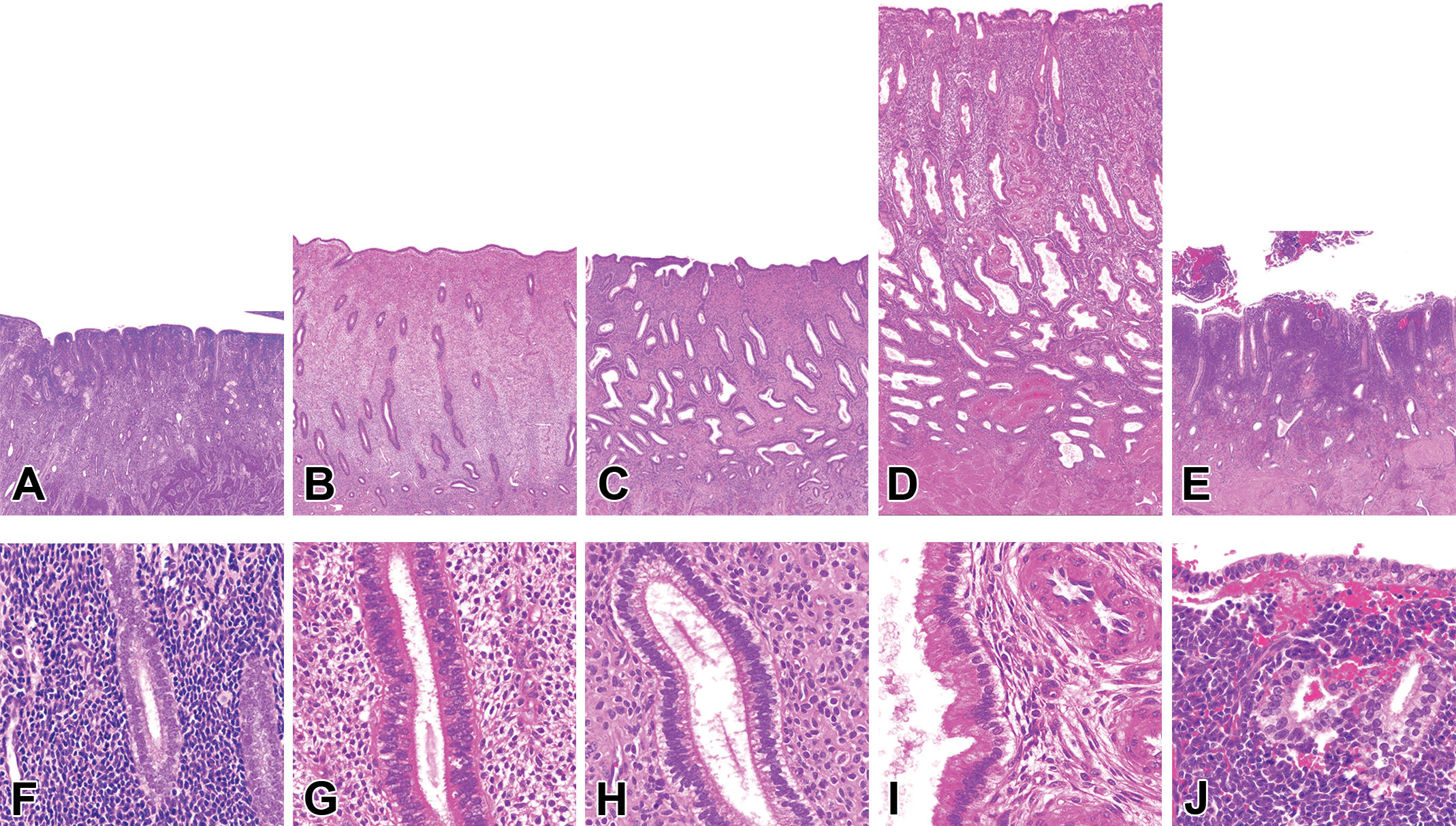
The normal menstrual cycle of the cynomolgus monkey has been described in depth. 96,97 Photomicrographs of the major features of the normal endometrial cycle are shown in Figure 5.

Normal endometrial histology of the cynomolgus monkey. A and F, Atrophic endometrium, with sparse straight glands, cuboidal glandular epithelium, and compact stroma. B and G, Follicular-phase endometrium, with pseudostratified glandular epithelium, and straight to slightly coiled glands in an edematous stroma. C and H, Periovulatory endometrium, with distinct subnuclear vacuoles. D and I, Luteal-phase endometrium, with saw-toothed glands and prominent spiral arteries. E and J, Menstrual phase, with compact stroma, sloughing, hemorrhage, and apoptosis.
Variations in the menstrual cycle
Features of the normal menstrual cycle in cynomolgus macaques have been published in detail.
96
–98
Immature animals may produce ovarian estrogens in a cyclic pattern without ovulation or with reduced postovulatory progesterone production, and a corresponding loss or reduction in normal endometrial cyclic features. Furthermore, macaques are not domesticated; most animals under study are only a few generations from the wild and thus their reproductive function reflects their native biology. Macaque species usually studied, such as
“Hormonal portraits” in the female reproductive system
Hormonal class effects are distinctive in the female reproductive tract and show characteristic patterns of change across different organs in the same animal. A few key class effects are summarized in Table 1 and Figure 6.
“Hormonal Portraits” in the Female Reproductive Tract.
Abbreviations: ER, estrogen receptor; PR, progesterone receptor B.

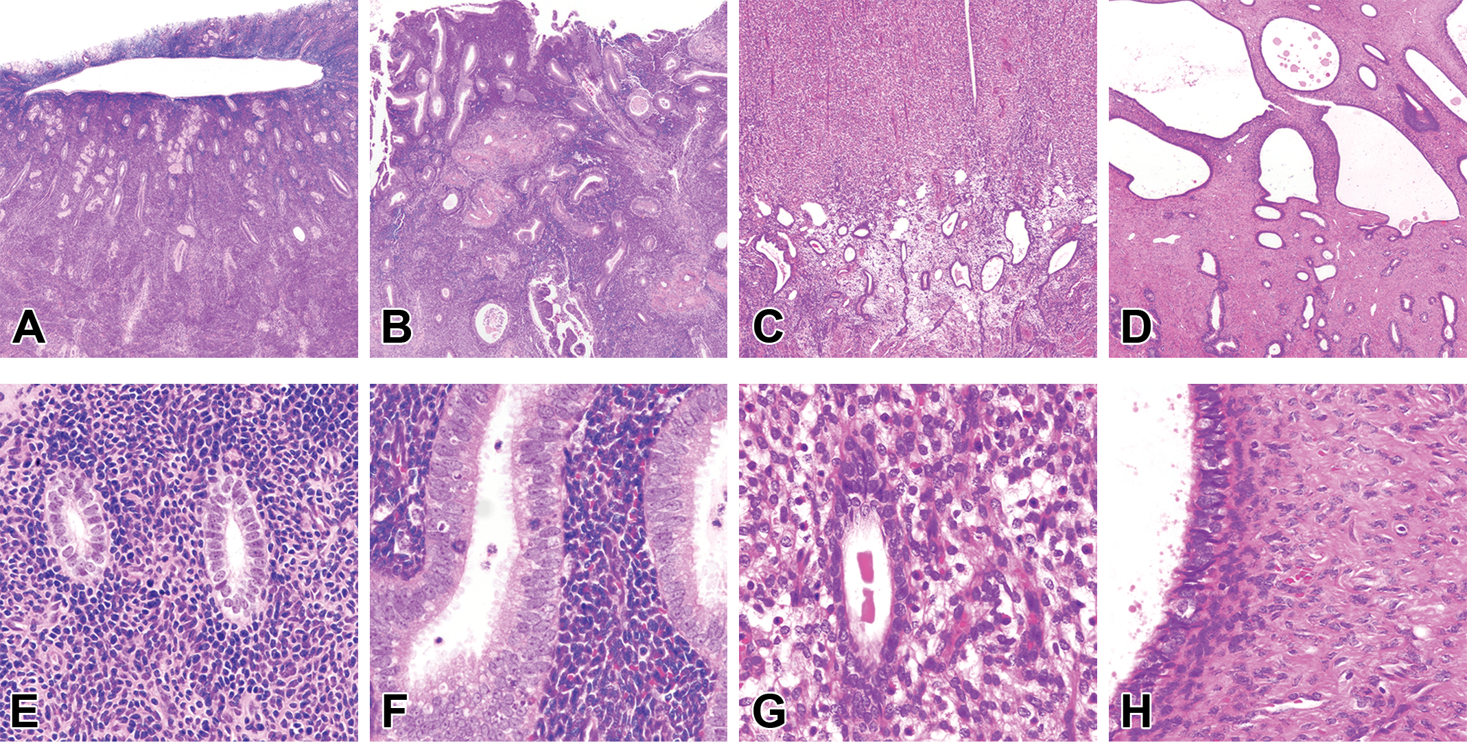
Histologic changes characteristic of estrogens, progestogens, and selective estrogens in the endometrium of cynomolgus monkeys. A and E, Ovariectomy-induced endometrial atrophy. B and F, Estrogen-induced irregular endometrial glandular hyperplasia. C and G, Estrogen- + progestogen-induced glandular atrophy, stromal hyperplasia, and infiltration by endometrial granular leukocytes. D and H, Stromal fibrosis and cystic change induced by a selective estrogen (tamoxifen).
Estrogens reliably induce proliferation in the superficial (functionalis) zone of the endometrium, often leading to endometrial hyperplasia. Hyperplasia includes glandular epithelial pseudostratification, epithelial mitoses, and may include cystic change, complex gland formation (back-to-back glands), and atypia. The corresponding estrogen-induced changes in the vagina and cervix are keratinization and squamous metaplasia, respectively. If these changes were seen in an untreated intact animal, the expectation would be that an estrogen-secreting ovarian follicle or follicles would be the dominant structure on the ovary. Similarly, endometrial stromal hyperplasia or hemorrhage, or mucous secretion by the cervix, would be associated with the presence of a corpus luteum as the dominant ovarian structure. These changes are recapitulated by exogenous hormone exposures.
Progestogens given in combination with estrogens induce a shift in proliferation from the endometrial glands to the stroma; endometrial stromal cells become plump, stromal mitoses are seen, stromal vasculature becomes prominent, and the stroma is infiltrated by endometrial leukocytes (specialized γ/δ T cells with eccentric clusters of eosinophilic intracytoplasmic granules). Interestingly, progestogens alone have no morphologic effect on the female reproductive tract of macaques in the complete absence of an estrogen. Progesterone receptors are induced by estrogen exposure, so progestogenic effects generally do not occur unless an estrogen is present to set the stage. Progesterone receptor B (the mediator of classic progesterone activity) can be used as a biomarker indicating the presence of an estrogenic signal, whereas progestogens downregulate their own receptor. 105
Selective estrogen receptor modulators (SERMs) may also produce distinctive patterns in the endometrium. For example, tamoxifen and related compounds may induce endometrial thickening with cystic change and fibrosis, 94,99,100 without the increase in glandular proliferation seen in typical estrogen-induced endometrial hyperplasia. In combination, the gene expression profile of the SERM predominates. 102 Other SERMs such as bazedoxifene lack any stimulatory effect on the endometrium but have profound estrogen antagonistic effects both morphologically and in patterns of gene expression. 106
Soy isoflavones are weak estrogens, roughly one-ten-thousandth the potency of estradiol in the mouse uterotrophic assay, 107 but they may reach micromolar concentrations in serum after consumption of soy products, which in comparison to the picomolar physiologic concentration of estradiol can result in ER-mediated effects. Empirically, studies of ovariectomized cynomolgus monkeys given high doses of isoflavones did not show an estrogen agonist effect on the uterus, even at concentrations over 6 micromolar 103,104 ; however, much lower dietary-obtainable concentrations of isoflavones antagonized the effect of low-dose estradiol, with a corresponding reduction in serum estradiol concentrations, indicating that estradiol synthesis or metabolism may be the mechanism of action. 103,104,108 Commercially available “monkey chow” has variable and potentially high concentrations of soy isoflavones 109 and therefore an isoflavone-free diet should be used whenever possible.
Selected background lesions
Background pathology of macaques has been extensively reviewed, and the reader is referred to these works for descriptions of common lesions, such as endometriosis. 94,95,110 Selected background lesions that may present challenges in study interpretation are included here.
Ectopic ovarian tissue is common in macaques and may be located on the uterine surface, uterine ligaments, or, retroperitoneally, adjacent to the ureters. In studies involving ovariectomy for control of hormonal influences, this tissue may become activated, resulting in unexpected estrogenic or progestogenic effects. 94
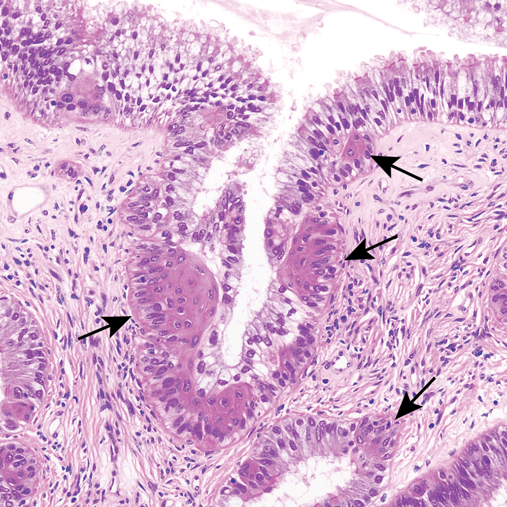
The epithelial plaque response is a relatively common and perplexing finding in the macaque endometrium (Figure 7). This non-neoplastic proliferative epithelial lesion occurs on facing surfaces of a luteal-phase endometrium and can be confused with endometrial or trophoblastic neoplasia. It is inducible by physical stimulation of the endometrial surface under the influence of a progestogen. 111 Although it has been termed a “deciduoma,” it is epithelial and thus not analogous to the rodent pseudodecidual response, which consists of hypertrophic and hyperplasic endometrial stroma with a lesser epithelial element. The lesion is best studied in the rhesus macaque 111 but is reported in cynomolgus macaques as well. 112

The epithelial plaque response in the endometrium of a cynomolgus monkey (reprinted with permission from Cline et al 74 ). This lesion occurs in the luteal phase of thecycle and is an incidental finding. A, a plaque of endometrial surfaceepithelium covering most of the luminal surface, with “saw-toothed”luteal-phase endometrial glands in the deeper endometrium. B, highermagnification of epithelial plaque cells, showing large round to polygonalcells with clear cytoplasm surrounding a blood vessel. C, immunohistochemicalstaining for cleaved caspase 3, indicating apoptosis.
Squamous metaplasia of the endocervix is common in peripubertal animals because they have follicular development without a mature luteinizing hormone (LH) peak response, ovulation, and formation of the progesterone-producing corpus luteum. In this estrogen-dominant state without the mucous differentiation caused by progesterone, islands of stratified squamous epithelium form under the normal columnar mucous epithelium of the endocervix (Figure 8). 113

Squamous metaplasia of the endocervix in a cynomolgus monkey. This benign lesion is induced by physiologic or pharmacologic estrogens. Arrows indicate nests of squamous cells beneath the normal pseudostratified columnar ciliated epithelium of the endocervix.
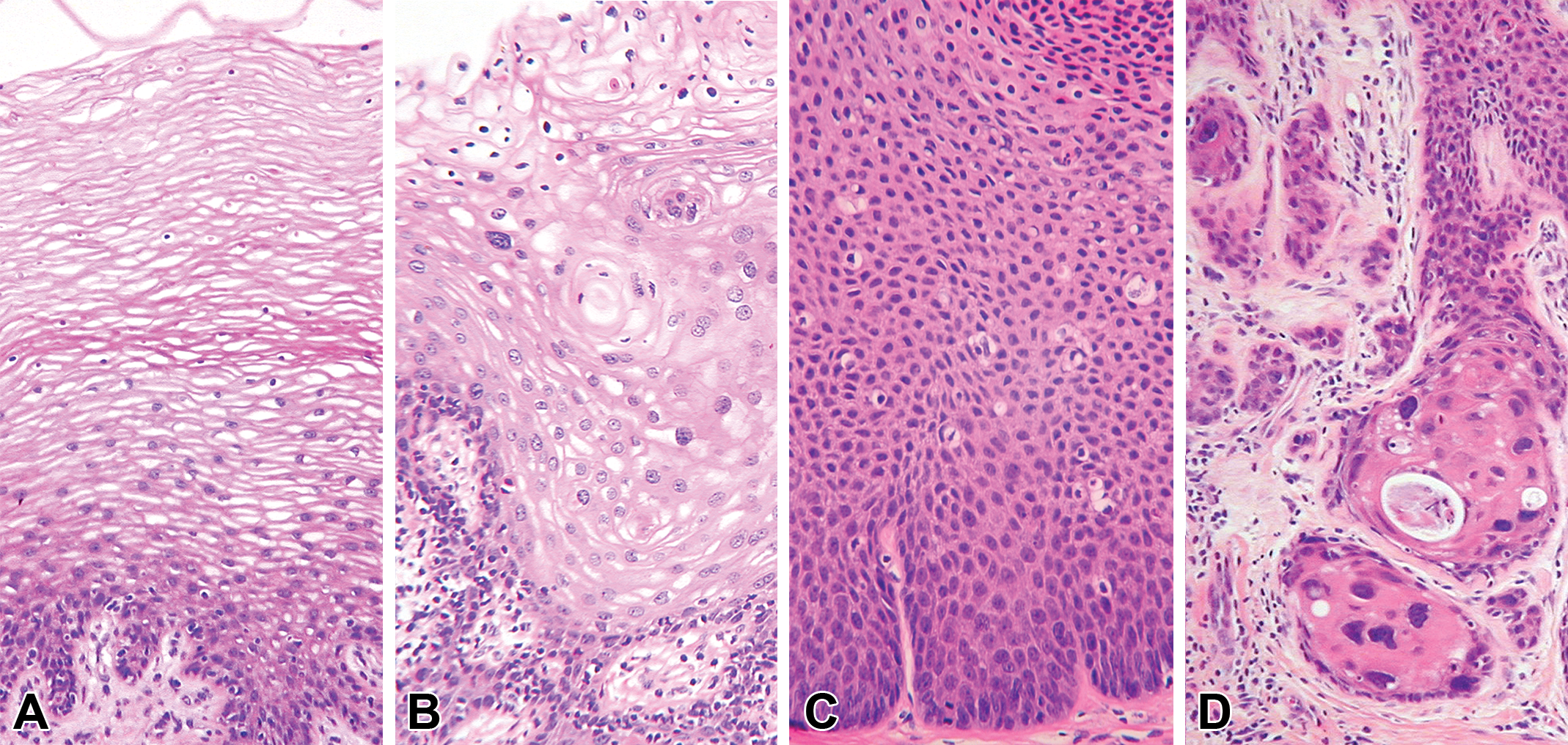
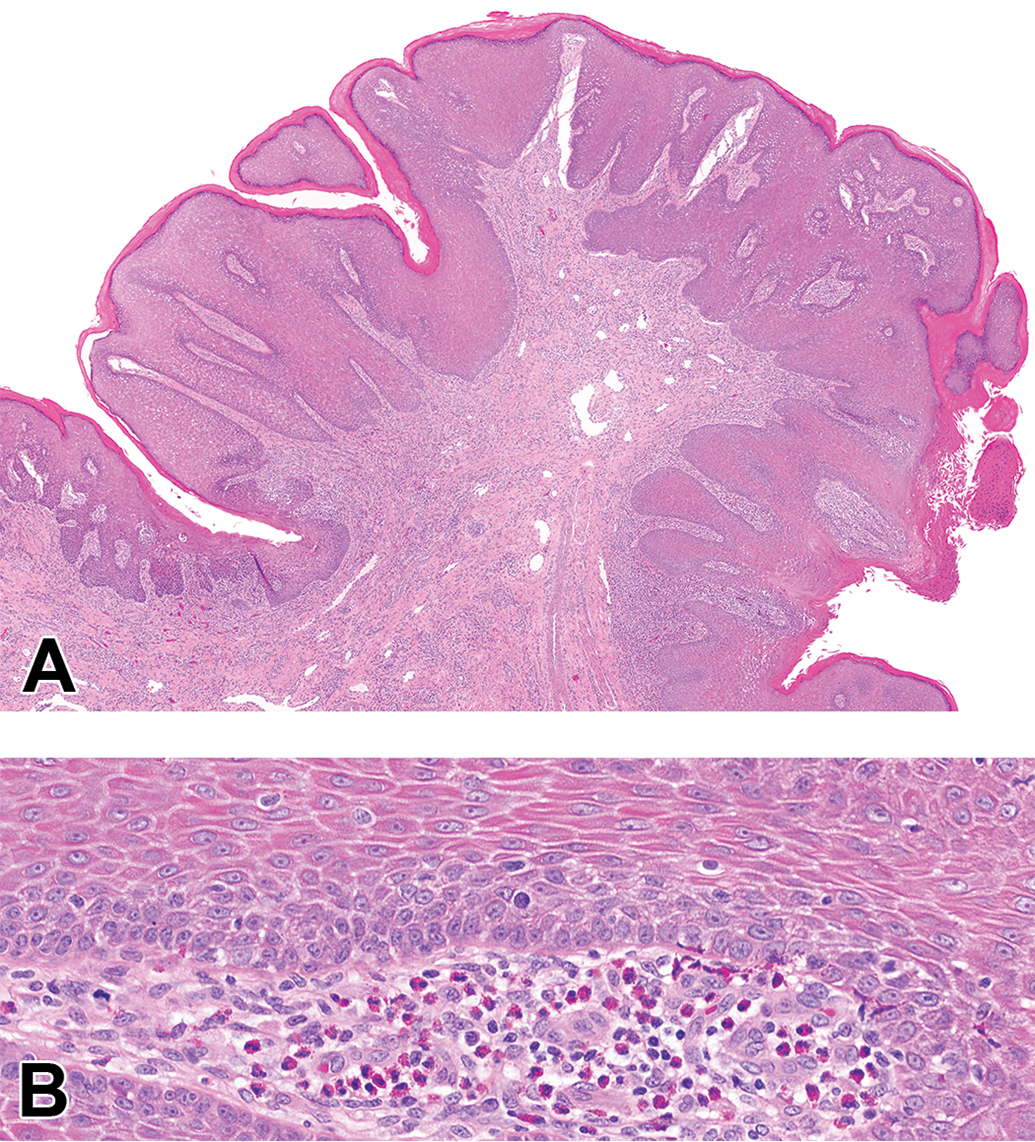
Proliferative lesions of the cervix and vagina most often occur near the squamocolumnar junction or transition zone of the cervix and are usually associated with papillomavirus infection. 114 Lesions are focal or multifocal and may be warty and exophytic, plaque-like, or endophytic. Histologically, lesions consist of varying mixtures of basal cell hyperplasia, koilocytic change, anisokaryosis, and atypia (Figure 9). Papillomavirus lesions may progress to invasive squamous cell carcinoma. 113 In addition to papillomavirus-associated lesions, a condylomatous lesion of the external genitalia has been identified in cynomolgus macaques of Mauritian origin; this lesion is not associated with papillomavirus infection and lacks dysplasia and atypia. Distinguishing hallmarks of this entity are exophytic growth, regular hyperplasia of the stratified squamous mucosa, and eosinophilic inflammation of the mucosa and superficial submucosa (Figure 10). 115

Papillomavirus-induced lesions of the vagina and cervix in cynomolgus monkeys. A, Normal, (B) epithelial atypia, (C) basal hyperplasia, and (D) atypia bordering on squamous cell carcinoma.

Condylomatous lesion of the genital mucosa in a cynomolgus monkey, consisting of regular hyperplasia without atypia, and not associated with papillomavirus infection
Practical advice for assessment of female macaques
Assessment of reproductive pathophysiology in female macaques is best accomplished using an integrative approach that includes in-life assessments. The strategic approaches outlined below and recommendations from the recent literature 116 should be considered. For example,
In vivo: Confirmation of maturity by an endogenous metric, for example, adult dentition and documentation of a regular pattern of menstrual bleeding Planning for seasonality if studying Daily vaginal swabs to assess menstrual bleeding patterns Abdominal/pelvic ultrasound to assess reproductive abnormalities and to measure the size of the uterus and the thickness of the endometrium Use of an isoflavone-free diet Regular biweekly blood (serum) banking to allow hormonal confirmation of menstrual cyclicity retrospectively if necessary Colposcopy for examination of the vagina and cervix
At postmortem:
Collect serum for hormone analysis
Gross photography of the ovaries (one structure on one ovary will be dominant)
Organ weights: Ovaries, uterus (separate from cervix at the isthmus), adrenals, and pituitary
Trimming(see also
116,117
): Ovaries and uterine tubes along their long/flat axis Uterus axially across the short axis Cervix sagitally
Histologic interpretation: Assess and record maturity and cycle stage Use immunohistochemistry to assess location and degree of proliferative responses (KI67) and estrogen responses (PR).
Males
Reproductive anatomy of male macaques is similar to that of human males, with some anatomic differences including the presence of distinct cranial and caudal prostatic lobes, with the posterior lobe most resembling the human prostate. The histology of the normal spermatogenic cycle has been reviewed. 118
Reproductive immaturity in male macaques is common among young animals obtained for study, making prestudy assessment of the reproductive function essential for studies where a reproductive effect is anticipated. Testicular volume >10 mL provides a reasonable landmark for likely adult histology. Testicular size can be measured by ultrasound or using calipers. The more definitive landmark of sperm production in an ejaculate has recently been recommended as a screening criterion. 116
Hormonal portraits
Estrogens produce squamous metaplasia in the distal prostatic ducts of castrated macaques 119 and relative hyperplasia of the prostatic stroma.
Soy isoflavones given for 31 months did not produce adverse effects on testicular size, sperm counts, prostatic weight, prostatic histology or morphometry, or serum hormones (estradiol, testosterone, or androstenedione) in adult male cynomolgus macaques, 120 although treatment did reduce atherosclerosis 121 and increased aggressive behavior. 122
Selected lesions
Testicular atrophy occurs seasonally in rhesus macaques and after exposure to toxins, stressors, and irradiation. Both male and female rhesus monkeys are at peak reproductive function in the fall and winter. Males have reductions in testicular size and sperm counts during the summer months (Figure 11).

Seasonal testicular atrophy in rhesus macaques. A, Normal testis, winter. B, Testicular atrophy, summer. C, Normal epididymis, winter. D, Hypospermia, summer.
Testicular fibrous atrophy in juvenile cynomolgus monkeys has recently been described; this lesion consists of mature fibrous connective tissue within the testicular parenchyma, separating and effacing normal tubular architecture. 123 The cause of this lesion is unknown.
Prostatic basal cell hyperplasias and adenomas are a common finding in aging rhesus and cynomolgus macaques. 120,124,125 These lesions are distinctly different from the morphology of prostatic intraepithelial neoplasia and invasive prostate cancer in men, consisting as they do of well-differentiated and circumscribed intraglandular proliferations of small uniform epithelial cells (Figure 12) that stain positively for the basal cell marker p63.

Prostatic basal cell hyperplasia in a cynomolgus monkey. Hyperplastic glands are on the lower leftside of the image and consist of basophilic, multilayered to solid, small,polygonal cells with scant cytoplasm filling the glands, in contrast to thesingle-layered, simple columnar epithelium of adjacent normal glands.
Practical advice for assessment of male macaques
As for females, an integrative approach is recommended.
In vivo: Confirmation of maturity by an endogenous metric, for example, adult dentition, testicular size greater than 10 mL, and ejaculated sperm Planning for seasonality if studying Pelvic and scrotal ultrasound to assess the testes, prostates, and seminal vesicles Collect/bank serum to measure serum testosterone
At postmortem:
Collect serum for hormone analysis
Collection/counting of epididymal sperm
Organ weights: Testes, prostate (cranial and caudal lobes), seminal vesicles, epidymides, adrenals, and pituitary
Trimming (see also
116
): Testes: Trim in the anterior half of the testis to include rete testis Epididymides: At a minimum, trim the tail; ideally, the head, body, and tail Prostate: Cross-section of the caudal prostate Seminal vesicle: Cross-section of each gland
Histologic interpretation: Assess maturity by the presence of spermatozoa in the tail of the epididymis and tubules Assess the presence of appropriate spermatogenic precursor associations.
118
Update on Intersex and Endocrine-Induced Reproductive Abnormalities in Fish, by Mac Law
It is widely recognized that water quality is an economic driver. 126 Clean water is essential for human and livestock health, and for business development, factories, schools, and agriculture. Accordingly, the World Health Organization and the United Nations have made significant investments in water management and have set goals to improve water quality in water-scarce countries. These investments will pay off. 126 As veterinarians, we are all too often caught on both sides of the same fence, with responsibilities toward the productivity of livestock producers and their concentrated feeding operations, as well as helping to ensure the health of ecosystems and thus human and wildlife health.
Water quality is under considerable threat of contamination because it acts as the final “sink” for not only unintentional release of chemicals such as run-off of agricultural herbicides but also from considerable intentional release of chemicals from municipal sewage treatment plants. 127,128 In some rivers, more than 50% of their flow can be contributed by effluents from these municipal sources; such releases may only get worse with greater population density. Recent studies have raised great concern over one class of aquatic contaminants, endocrine active compounds (EACs). While only relatively recently have EACs been linked to reproductive abnormalities in wildlife, 93 research in this field has expanded exponentially since then. 129 This brief review highlights some of these recent studies, several of which have reported stunning findings. In addition, salient findings from our recent work in North Carolina on intersex in male fish are summarized.
Perturbation of the endocrine system by EACs may adversely affect the health and reproductive success of individuals and populations, 130 by disrupting the synthesis, storage, release, metabolism, transport, binding action, and elimination of endogenous hormones. 131 Classes of EACs that often enter aquatic ecosystems include PCBs, current use pesticides, organochlorine pesticides (OCPs), polycyclic aromatic hydrocarbons (PAHs), pharmaceuticals, BPA, and heavy metals—forming chemical mixtures with potential additive or synergistic effects. 132,133 Of particular concern are the persistent organic pollutants, including the PCBs and OCPs, known to have “legacy effects” on biota. 134
Of these EACs, estrogenic chemicals have received the most attention because of their links to altered sex ratios, reduced fecundity, production of vitellogenin in male fish, intersex condition, and collapse of fish populations. 130,135 Intersex, the presence of female oocytes within a predominantly male gonad, 136 has been the most well-correlated effect of estrogenic EACs and has been proposed as a biomarker of endocrine disruption from environmental contaminants. Intersex in fish is a global issue, with major reports from Europe to North America, and is likely underinvestigated in poorly developed countries. A recent study by fish health experts from the US Geological Survey involving 9 American river basins reported intersex prevalence was highest in the Southeastern United States. 132 The Yadkin-Pee Dee basin in North and South Carolina is of particular concern, with some sites showing 80% intersex prevalence in largemouth bass. The age class of sampled fish showed a significant effect, with intersex most common in developing male bass in the 1- to 3-year age class. 132 Different fish species develop at different rates; thus, the labile period may range from newly hatched larvae in salmonids to juveniles in seabass. 132,137 Endocrine active compounds in treated sewage and agriculture-related compounds were correlated with greater intersex prevalence in male smallmouth bass as well. 137,138
Several studies point to pulp and paper mill effluents as major causes of endocrine disruption in fish. Intersex was reported in male rainbow trout exposed to pulp and paper mill effluents in Chile. 139 Pollock et al 140 reported intersex and vitellogenin (an egg yolk precursor) induction in male walleye in the Wabigoon River, Ontario, Canada. As is the case in many of these systems, the picture was complicated by municipal wastewater discharge (which may contain pharmaceuticals, among other contaminants) as well as periods of hypoxia. Experimentally, zebrafish exposed to Swedish pulp mill effluent showed both estrogenic effects, as increased vitellogenin in males, and androgenic effects, manifest as increased production of male fish. 141
In another experimental study, male fathead minnows were exposed to effluent from the Boulder, Colorado, wastewater treatment plant (WWTP) within a mobile, flow-through exposure laboratory. 142 Both primary (sperm abundance) and secondary (nuptial tubercles and dorsal fat pads) sex characteristics were demasculinized within 14 days of exposure to 50% and 100% effluent concentrations, respectively. Male rainbow darter in the Grand River, Ontario, downstream from 2 WWTPs had up to 80% intersex condition as well as significantly increased messenger RNA (mRNA) for genes associated with oogenesis and decreased mRNA for genes associated with spermatid development. 143
One of the most stunning reports concerns the effects of a pharmaceutical, metformin. 144 Metformin is a widely prescribed antidiabetic drug, due to its efficacy as an insulin sensitizer. It is thought to be the most deposited pharmaceutical into the aquatic environment, by mass, with an estimated 6 tons/yr released by some WWTPs. Although it is structurally dissimilar from hormones, metformin exposures at concentrations found in WWTP effluent caused intersex in male fathead minnows and notably reduced fecundity for treated fathead minnow pairs. Hinck et al’s study 132 also demonstrated that the life stage of exposure is critical. Importantly, the US Environmental Protection Agency currently uses certain in vitro and in silico assays to screen for potential EACs, which rely on binding of test compounds to hormone receptors and structural similarities to estrogen mimics. 145 Thus, metformin would likely not be detected by such assays.
Our intersex studies in North Carolina river systems began with mapping out sources of EACs across the state using a geographic information system approach.
146
Once the various land uses were defined and categorized, statewide assessments were begun to correlate the intersex condition in male North Carolina fishes with the presence of EACs of various classes.
130,133
Collection sites were initially selected as follows: 8 point sources, defined by direct discharge into water; 9 nonpoint sources with indirect diffusion into water; and 3 reference sites, with no apparent discharge upstream (Figure 13). Fish were obtained using backpack or boat-mounted electrofishing (pulsed direct current). Up to 10 male black bass (

Study site map, state of North Carolina. Collection sites were selected as follows: 8 point sources (red), defined by direct discharge into water; 9 nonpoint sources (yellow), with indirect diffusion into water; and 3 reference sites (blue), with no apparent discharge upstream. Up to 10 male black bass (
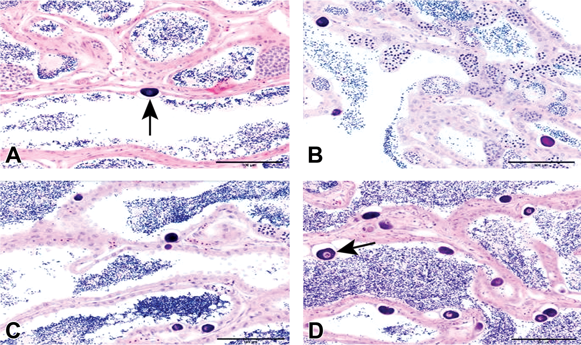
Testes were analyzed for the presence of oocytes and scored for intersex severity, using the method developed by Dr Vicki Blazer of the US Geological Survey Leetown Science Center. 138 Whenever possible, 5 cross sections of testis were examined from each fish for testicular oocytes. However, testes from the smaller fish were sometimes embedded longitudinally, and only 3 sections were available for analysis. Oocytes observed within the seminiferous tubules were predominantly in the previtellogenic, chromatin nucleolus stage and were scored at ×10 objective magnification from 1 to 4, with 4 being the most severe (Figure 14). A severity rank of 1 had a single oocyte observed. For severity rank 2, more than 1 oocyte was observed per field of view, but oocytes were not closely associated. Severity rank 3 had 2 to 5 closely associated oocytes. With severity rank 4, clusters of more than 5 closely associated oocytes were noted.

Representative cross-sections of testis from each fish were scored for intersex severity, using the method developed by Blazer et al. 138 Oocytes observed within the seminiferous tubules were predominantly in the previtellogenic, chromatin nucleolus stage (arrows). A, Severity rank 1, single oocyte observed at ×10 objective magnification. B, Severity rank 2, more than 1 oocyte per field of view, but oocytes not closely associated. C, Severity rank 3, 2 to 5 closely associated oocytes. D, Severity rank 4, clusters of more than 5 closely associated oocytes. Hematoxylin and eosin staining.
Table 2 shows the overall percent prevalence of intersex in our initial, statewide assessment, followed by the intersex prevalence in the study focused on the Yadkin-Pee Dee River basin. The black basses, especially largemouth bass (
Overall Percent Prevalence of Intersex in Our Initial North Carolina Statewide Assessment, Followed by Intersex Prevalence in the Study Focused on the Yadkin-Pee Dee River Basin.a
a The black basses, especially largemouth bass (
Our North Carolina studies also included contaminant analyses in fish tissue, water, sediment, and passive sampling devices (PSDs) that adsorb compounds over a prescribed time interval.
133
The nonselective PSDs developed by Dr Damian Shea’s Lab at North Carolina state use a mixed polymer phase in bead form to simulate body exposure to both hydrophobic and hydrophilic compounds. In general, mean black bass and catfish tissue contaminant concentrations were higher than those in sunfish, most likely because the sunfishes occupy a lower trophic position in the food web. In the Yadkin-Pee Dee River basin of North Carolina and South Carolina, principle component analysis identified waterborne PAHs as the contaminants most correlated with intersex occurrence and severity in both
Finally, it is not all doom and gloom. Case in point: Rainbow darter in the Grand River in southern Ontario downstream of WWTPs had intersex prevalence ranging from 70% to 100%. However, suggested upgrades were made in the treatment plants, including conversion from carbonaceous to a nitrifying activated sludge treatment process. This resulted in improved effluent quality with regard to nutrients, pharmaceuticals, and estrogenicity and, astonishingly, a reduction to less than 10% intersex postupgrade. 147
Perinatal Di-(2-ethylhexyl) Phthalate Exacerbates Anaphylaxis in Male Mouse Offspring, by Emily Mackey
This work, which was conducted at the laboratory of Dr Adam Moeser at Michigan State University, stems from the discovery of a sexually dimorphic mast cell phenotype and associated disease pathophysiology. 148 Previously published data have demonstrated that adult female mice exhibited greater serum histamine and more severe mast cell–associated pathophysiology in response to immunoglobulin E (IgE)-mediated anaphylaxis and restraint stress models of mast cell activation, compared with males. 148 Worsened severity of mast cell disease in female mice, rats, and pigs coincided with an increased capacity of female mast cells to synthesize, store, and release immune mediators compared to male mast cells. 148,149 These findings correlated with epidemiologic evidence in humans that mast cell–associated immune disorders, including allergy, irritable bowel syndrome, and autoimmune disorders, exhibit a sex bias with females at increased risk. Although adult sex hormones may explain some differences in mast cell–associated disease, the fact that sex bias in mast cell disease prevalence and severity occur in children prior to puberty challenges this concept. Further, recent data from the Moeser Laboratory demonstrate sex differences in mouse mast cells prior to puberty, which suggests a mechanism independent of adult sex hormones. Current research in the Moeser Laboratory is designed to address a critical gap in knowledge in the field regarding the developmental origins of sex differences in mast cell–associated immune diseases by investigating the role of perinatal androgens, a key early life component of sexual differentiation, in the development of sex differences in mast cells.
A focus on the influence of perinatal androgens on shaping mast cell responses prompted an investigation of the potential effects of early life stage exposure to environmental EDC with antiandrogenic properties on the immune development and health of the offspring. Phthalates are environmentally ubiquitous endocrine active chemicals that have established antiandrogenic effects, and human in utero exposure to phthalates is known to reduce fetal serum testosterone- and androgen-dependent outcomes. 150,151 Further, early life exposure to phthalates is increasingly linked to the development of allergic disorders in children. 152 However, the association between the antiandrogenic nature of phthalates and the increased prevalence of allergic disease has not been established. Recent findings have demonstrated that perinatal di-(2-ethylhexyl) phthalate exposure exacerbates mast cell–dependent IgE-mediated anaphylaxis in adulthood, specifically in male offspring. These results demonstrate the interaction of early life environmental EDC exposure and mast cell–associated immune disease in a sex-specific manner and provide new insight on the impact of phthalate exposure on the immune system during a critical early life period.
Footnotes
Acknowledgments
The author of the section of this manuscript titled, “Update on Intersex and Endocrine-Induced Reproductive Abnormalities in Fish” thanks graduate students Crystal Lee Pow, Casey Grieshaber, and Tiffany Penland. The author also acknowledged NC State University Coinvestigators Derek Aday, Greg Cope, Seth Kullman, Tom Kwak, and Jim Rice, as well as NCSU CVM Histology Laboratory.
Declaration of Conflicting Interests
The author(s) declared no potential conflicts of interest with respect to the research, authorship, and/or publication of this article.
Funding
The author of the section of this manuscript titled, “Update on Intersex and Endocrine-Induced Reproductive Abnormalities in Fish” disclosed receipt of the following financial support for the research, authorship, and/or publication of this article: This work is supported by NC Wildlife Resources Commission. The section of this manuscript titled, “Antiandrogen Mixology: Cumulative Effects of Environmental Chemicals on Male Rat Reproductive Tract Development” has been subjected to review by the US EPA National Health and Environmental Effects Research Laboratory and approved for publication, but the views expressed do not necessarily reflect the views or policy of the US EPA. The authors of the section titled, “Reproductive Consequences in Adult Female Mice Following Developmental Estrogen Exposure: An Estrogen Receptor α-Mediated Estrogen Response” acknowledge their research was supported [in part] by the Intramural Research Program of the NIH, National Institute of Environmental Health Sciences.
